Urinary Cytology

General

Normal urothelium

Transitional cells

Columnar cells

Ureteral cells

Squamous epithelial cells

Prostatic cells

Seminal cesicle cells

Histiocytes

Melamed-Wolinska bodies

Hematocyturia

Bladder / lower UTI

Herpes

Cytomegalovirus

Polyomavirus

Trichomonas

Schistosoma haematobium

Mycotic infx

Eosinophiluria

Lymphocyturia

Malacoplakia

Urinary Calculi

  • Non-pathogenic
    • Calcium sulfate
    • Calcium carbonate
    • Uric acid
    • Triple phosphate
    • Calcium oxalate
  • Pathogenic crystals
    • Cholesterol
    • Cystine
    • Trypsine
    • Leucine
    • Sulfonamides

 

Renal casts

  • Hyaline casts
  • Granular casts
  • Renal tubular epithelial casts
  • Leukocyte casts

Rejection of renal transplant

Ileal conduits

Intravenous pyelogram

Reactive Cells

Dysplastic cells

Carcinoma cells

Carcinoma-in-situ

Papilloma

Squamous cell carcinoma (epidermoid)

Adenocarcinoma

Conventional RCC

PUNLMP

Urothelial ca

  • low-grade urothelial ca
  • high-grade urothelial ca

Myelolipoma of adrenal gland

Renal Cytology

Urinary Cytology

General

 

Urine cytology indicated c hematuria, pts at high risk for urologic malig (aniline dye exposure), or the following of urologic malig

- 1st pee of morning avoided bc has been sittin there all night and can cause changes in cells

- for similar reasons, bladder washing may be better than catheterized urine

- upper urinary tract brushing can have high NC, mimicking malig cells; stones can cause similar changes

 

No fixation needed in cells less than 12 hours old; should be put in fridge if 12-24 hrs old; >24 hrs requires ethanol fixation

 

Degenerated cells common, and specimens from women often consist almost entirely of squamous cells

 

Urine cytology is only moderately sensitive at best; though is usually very specific (few false-positives) - though these may occur in pts c stones, post-chemo, or 2/2 polyomavirus

- FISH studies are more sensitive but less specific

 

 

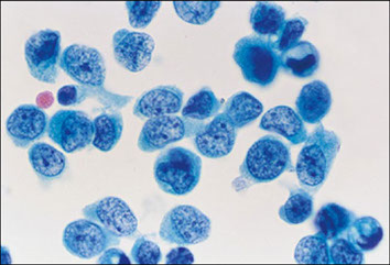
Normal Urothelium

 

Urothelium lined by 3-7 layers of urothelial (transitional) cells, with umbrella cells at surface containing more cytoplasm (low NC) than deeper cells, and can have 2+ nuclei and the size can be highly variable

- usually single cells (rarely in groups); may be found in groups in washings and brushings

- Melamed-Wolinska bodies: red/green cytoplasmic inclusions in degenerated transitional cells that look like macros seen in 1/2 of specimens

 

Transitional cells

 

Can come from anywhere from the renal pelvis to the bladder, but mostly the bladder; variable size c transparent basophilic cytoplasm and variably-sized vacuoles (from degeneration)

- central nuclei c finely dispersed chromatin and small nucleoli; multinucleation common; may be single or in small clusters

- deeper transitional cells can have 2+ nuclei

 

Columnar cells

 

uncommon; come from the glands in the urinary tract and are single or in small clusters appearing as papillary fronds when coming from a catheter

- can be ciliated and normally have a single mucinous cytoplasmic vacuole

- nuclear chromatin finely granular and small centrally located nuclei are common

 

Ureteral cells

 

seen in ureteral catheterization or washing specimens but can be voided in urine

- lots of polymorphism, usually binucleated

 

Squamous epithelial cells

 

Intermediate or superficial cells seen in normal urine samples, usually in females; may come from trigone

- Look like vaginal squames and also can show cyclic changes

- may come from distal urethra in males

 

Prostatic cells

 

Seldom exfoliated but can be seen after prostatic massage

- cuboidal to columnar and can look round in urine c a round central nucleus that occupies <1/2 of total cell

 

Seminal vesicle cells

 

Rarely seen in normal urine samples, except after prostatic massage. [2]

- larger and more irregular than prostatic cells and have golden-orange intracytoplasmic pigmented granules representing lipofuscin (clue that benign)

 

Histiocytes

 

Single cells or loose clusters c fomy cytoplasm and eccentric bean-shaped nucleus

- mononucleated but can be multinucleated

 

Melamed-Wolinska bodies

 

Epithelial / transitional cells c eosinophilic to green cytoplasmic inclusions

 

no known significance, but may be a clue that malignant cells originate from urothelial tract [2]

- may be the result of degeneration as the nuclei are often degenerated

- has red round cytoplasmic inclusions

 

Hematocytouria

 

RBCs in varying numbers can be 2/2 renal dz, calculi, tumors, acute infx, infarction, renal vein thrombus, hydronephrosis, polycystic kidney dz, or acute / chronic infx of lower urinary tract

- hematuria assoc c malig in only up to 1/10 cases

 

Bladder / lower UTI

 

Can see neutrophils engulfed in the cytoplasm of urothelial cells

- reactive urothelial cells c enlargement r pyknosis of the nucleus and vacuolated or ill-defined cytoplasm

 

Herpes

 

May be picked up in urine or rarely involve urothelial cells

- esp seen in immunosuppressed

- have same old "ground-glass" appearance c chromatin condensation at nuclear borders

 

Cytomegalovirus

 

Can affect urothelial or renal tubular cells

- large round basophilic nuclear inclusion while herpes inclusions are eosinophilic

- can have cytoplasmic inclusions, whereas herpes inclusions are nuclear

 

Polyomavirus

 

Polyomaviruses (JC and BK viruses) commonly affect urothelial cells of both healthy and immunocompromised individuals. Characteristic viral cytopathic changes are seen in 4% of urine samples. The infection usually has no clinical significance, except in immunocompromised (transplant) patients

- nickname is "decoy cells"

 

Cyto: Infected urothelial cells have large eccentrically placed nuclei with basophilic nuclear inclusions that completely replace the nucleus and appear glassy, opaque or cloudy.

- because of increased nuclear size and hyperchromasia, these cells are sometimes confused with malignant cells – hence their pseudonym “decoy cells”. However unlike most malignant cells , decoy cells have perfectly smooth and round nuclei.

 

IHC: (+) SV 40

 

Trichomonas

 

Has same morphologic patter as in vaginal smears

 

Schistosoma haematobium

 

Develops around the egs; mucosa can undergo squamous metaplasia

 

Mycotic infx

 

Found in elderly or diabetic pts or those tx'd c chemo

- cytology shows leukocytes, debris, hyphae and spores of fungi

- MCC is candida or aspergillus

 

Eosinophiluria

 

Assoc c chronic inflam, drug hypersensitivity and parasitic infx

 

Lymphocyturia

 

Indicates a chronic inflam process

- often seen in large numbers in acute renal allograft rejection, lupus nephritis and viral infx

 

Malakoplakia

 

Rare chronic inflammatory (granulomatous) lesion in middle-aged women on the bladder wall or from upper urinary tract

- appears as a soft yellow plaque

- made of iron and calcium, are due to incomplete intracellular digestion of engulfed microorganisms by macrophages causing accumulation of intracellular materials

 

Micro: large amts of plump histiocytes, which can be multinucleated

- may have chronic inflam infiltrate

- Michaelis-Gutmann bodies (laminated calospheres, usually basophilic, w/in cytoplasm of histiocytes or extracellular)

 

Urinary calculi

 

Enlarged nuclei c coarse chromatin, condensation of chromatin at nuclear border and sometimes multinucleation

- difficult to differentiation from malignant cells, but have lesser degree of nuclear pleomorphism and no loss of nuclear polarity

- prolonged lithiasis can produce squamous metaplasia

 

Nonpathogenic crystals


Calcium sulfate - seen in acidic urine

- small transparent needles, singly or in clusters

 

Caclium carbonate - seen in alkaline urine

- very small, round or dumbbell shaped

 

Uric acid - assoc c elevated serum uric acid

- semitransparent yellow to brown, hexagonal, star-like or diamond shaped or even butterfly-shaped

 

Triple phosphate - in alkaline urine

- elongated, transparent rectangular or diamond-shaped (coffin-shaped)

 

Pathogenic crystals

 

Cholesterol - indicative of renal disease

- transparent with irregular edges that look like fragments of broken glass

 

Cysteine - assoc c a cysteine calculus and some metabolic disorders

- transparent, refractile hexagonal plates that are variably-sized

 

Tyrosine - usually is diagnostic of advanced liver disease

- fine needles arranged in sheaves or clumps, and are usually yellow

 

Leucine - also can be indicative of severe liver damage

- yellowish-brown, oily globules with concentric rings and radial striations

 

Sulfonamides - see following the administration of drugs

- yellow-brown asymmetrical triangular sheaves or round forms with radial striations

 

Renal casts

 

Form when proteins precipitate and conglomerate in the tubular lamina

- when they appear in the urine they reflect the shapes and diameters of the renal tubular lumina of origin

- may be strait or convoluted, although typical casts have parallel sides and round blunted ends

-- casts with long, thin tapering tails have no significance

 

Fatty casts - have lipid vacuoles, seen c nephrotic syndrome

 

Hyaline casts - basic protein considered physiologic 2/2 decreased urine flow or high protein concentration

- semisolid, transparent elements staining light blue

 

Granular casts - represent breakdown of products of renal epithelial lining and may be assoc c renal parenchymal disease

- vary in size and composition and have fine or coarse granular inclusions, staining gray-orange or bluish-green

 

RBC casts - assoc c glomerular dz

 

Renal tubular epithelial casts - made by desquamation of renal lining cells

- can occur in renal parenchymal dz or damaged or renal allograft rejection

- contains 2 parallel rows of cells; epithelial cells must be distinguished from neutros

 

Leukocyte casts - MC in pyelonephritis

- have the morphologic detailing of leukocytes, not always easy to distinguish

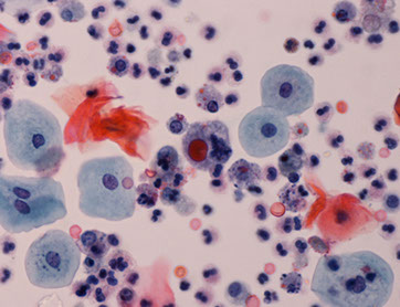
Ileal conduits

 

Created when a cystectomy is performed

- urine from ileal conduits can show degenerated intestine epithelial cells and urinary tract cells and possible recurrent urinary tract tumor cells

- usually have red cytoplasmic inclusions

 

Intravenous pyelogram

 

Makes small sheets of atypical cells

- globules of dye staining gray can be engulfed by histiocytes

- giant histiocytes can be seen

 

Rejection of Renal Transplant

 

5 of the following 7 criteria indicate rejection:

- nuclear changes

- casts

- RBCs

- "dirty" background

- mixed cell cluster

- lymphocytes

- renal tubular cells (**most important criterion! esp if degenerating [smaller, shed singly, eccentric pyknotic nucleus])

 

Reactive Cells

 

Central (non-eccentric) nucleus; N/C normal to slight inc

- borders are smooth c fine evenly distributed chromatin; large nucleoli present; vacuolated cytoplasm

 

Dysplastic cells

 

Slightly inc NC; central to eccentric nucleus, c notches, fine and hyperchromatic chromatin, evenly distributed chomatin; absent nucleoli, homogenous cytoplasm

 

Carcinoma cells

 

Inc NC; eccentric nucleus c pleomorphic irregular borders coarse and hyperchromatic chromatin, unevenly distributed; absent nucleoli unless is a high grade tumor; homogenous cytoplasm

 

Carcinoma-in situ (CIS)

 

A non-papillary neoplasm where the transitional epithelium is completely replaced by anaplastic cells but does not invade the underlying CT

 

Papilloma

 

Gross: Neoplasm that grows into the lumen of the bladder and is made of transitional epithelium

- rare and occur mostly in younger pts [2]

 

The punchline after seeing papillary clusters:

- the presence of papillary clusters may be 2/2 instrumentation effect, a papillary urothelial neoplasm or renal calculi

 

Micro: central core of loose connective tissue with a a covering of transitional epithelium

- individual cells look normal, don't invade or met

- can be suggestive on cytology but cannot be dx'd

 

Squamous cell carcinoma (epidermoid)

 

Looks like squamous cell carcinoma seen in other organs, like cervix or lung

- usually is derived from papillary tumors, vesicular leukoplakia that can accompany calculi, or following schistosomiasis

- see keratinization and pearl formation and intercellular bridging

 

Adenocarcinoma

 

Made of glandular epithelium, and is usually well-differentiated and often partially or completely mucus-producing

Normal urothelium - umbrella cells

Normal urothelial cells c single round nucleus (ThinPrep)

Deep transitional cells, similar to superficial cells but with denser blue cytoplasm

Columnar cells

Melamed-Wolinska body

Polyomavirus

Malakoplakia

uric acid crystals

triple phosphate

Leucine

sulfazidine crystals

Cystine

RBC cast

WBC cast

Epithelial cast

Granular cast

Ileal conduit urine: cellular specimen c degenerated single cells and few glandular cells in dirty background

Reactive cells

Dysplastic cells

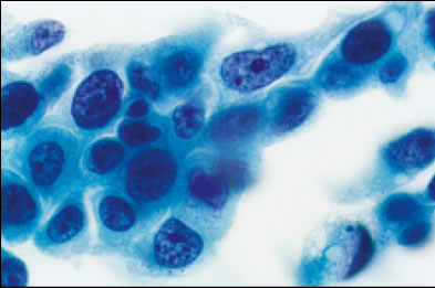
CIS: Markely atypical cells c hyperchromatic angulated nuclei, coarse chromatin, irreg nuclear contours, and occasional prominent nucleoli. NC ratio is high and cytoplasm is dense

Squamous cell ca

Adenocarcinoma

PUNLMP

 

Papillary urothelial neoplasm of low malignant potenital (PUNLMP)

- used to be called transitional cell carcinoma, grade 1

- not really considered carcinoma, rarely (10%) progress to carcinoma [2]

- defined as a papillary lesion c minimal or absent atypia but inc cellular prolif greater than the thickness of normal urothelium

 

Micro: looks like slightly atypical papillomas or not atypical, but occurring in older pts and with greater cellular thickness

 

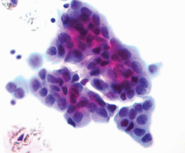
Urothelial Ca.

 

Etiology: Smoking and exposure to industrial compounds

- MC neoplasm of the urinary tract

- can be papillary or non-papillary

 

Papillary has fine CT core with thin-walled vessels and a covering of 4-6 layers of transitional epithelium

- papillary fronds are seen covered by epithelium c inc cellularity, loss of polarity, cellular pleomorphism, nuclear hyperchromasia and mitotic activity and is larger than a papilloma

 

Non-papillary is an infiltrative transitional cell carcinoma that looks flat and plaque-like c or without ulceration

- there is dec adhesiveness of cells and more cells are exfoliated

 

UroVysion

FISH test to look for amplification of chromosomes 3, 7, and 17 or deletion of chromosome 9 (at 9p21)

*** prime numbers!!! (except 9) ***

- 3 is red, 7 green, 9 gold, 17 aqua

 

 

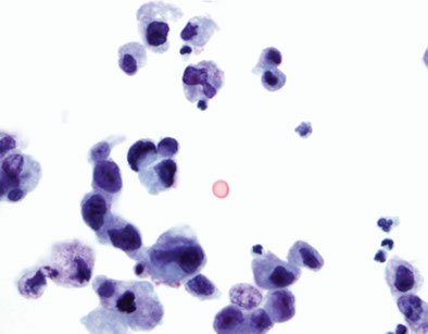
Low-Grade Urothelial cell Ca.

 

Criteria [2]:

Cytoplasmic homogeneity, inc NC, irregular nuclear mem.;

- absent nucleoli

Papillary fragments c fibrovascular cores is diagnostic (though rarely seen)

- also have more irregular edges in cell clusters and sheds off single cells (more than in benign groups)

- low sensitivity but higher specificity; may not even be reportable bc rarely progress, thus may be more accurate to state in report "negative for high-grade malignancy"

 

Tx: intravesical bacillus Calmette-Guerin (bCG) sometimes given to prevent recurrence of superficial urothelial carcinomas and can cause a granulomatous response in the wall of the urinary bladder (get loose aggregates of epithelioid histiocytes c MNGCs [Langerhans type])

 

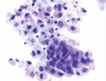
High-Grade Urothelial cell Ca.

 

May refer to a tumor that is invasive or not

Criteria [2]:

High N:C; hyperchromatic nuclei; coarsely granular chromatin; irregular nuclear outline; large nucleoli (occasionally)

- cells can have Melamed-Wolinska bodies and background can be necrotic

- has much higher sensitivities and specificities than low-grade ca

 

Other Criteria for HGUC [3]:

• High N/C ratio. Malignant cells should have an

N/C ratio of 0.7 or greater, meaning that the

nucleus occupies at least 70% of the cytoplasm.

• Moderate-to-severe hyperchromasia. Practically,

the amount of hyperchromasia should be sufficient

to distinguish clearly the amount of chromasia

from that of bystander benign urothelial

cells.

• Markedly irregular nuclear borders.

• Coarse, clumpy chromatin.

 

The criteria for the SHGUC category are:

• High N/C ratio. Atypical cells should have an N/

C ratio of at least 0.5.

• Moderate-to-severe hyperchromasia.

Additionally, one of the following two features

must be present:

• Markedly, irregular nuclear borders.

• Coarse, clumpy chromatin.

 

The criteria for the Atypical Urothelial Cells (AUC) category are:

• High N/C ratio. Atypical cells should have an N/

C ratio of at least 0.5.

And one of the following:

• Hyperchromasia. The hyperchromasia may not

be as pronounced as in HGUC or Suspicious for

HGUC, but still distinct from what is seen in the

surrounding benign urothelial cells.

• Irregular nuclear borders.

• Coarse, clumpy chromatin.

Because the AUC category implies

 

"Coy cells" - cells in a high-grade malignancy that are rare, small hyperchromatic and with highly irregular nuc mems

 

 

 

PUNLMP. Papillary clusters of urothelial cells c homogeneous cytoplasm, nuclear enlargement, and eccentric nuclei. Nuclei should have smooth nuclear contours and slightly granular cytoplasm and occasional nuclei

High-grade urothelial cell ca's (up and left)

Low-grade urothelial ca: Clusters of urothelial cells c enlarged nuclei, irregular nuclear membranes, slightly inc NC ratio and homogeneous cytoplasm

HG papillary urothelial CA: clusters of marked atypia c pleomorphic nuclei, coarse chromatin and prominent nucleoli. Cytoplasm can range from dense to vacuolated. Irreg nuclear contours and irreg coarse chromatin, nucleoli are frequently present

(b) Example of a cell meeting the criteria for the Suspicious for High-Grade Urothelial Carcinoma category; this cell has an N/C ratio just below 0.7 and demonstrates severe hyperchromasia, clumpy chromatin and markedly irregular nuclear borders. If this cell had an N/C ratio of above 0.7, it would meet the cytomorphological (but not quantitative) criteria

for the High-Grade Urothelial Carcinoma category.

a) Example of a cell meeting the criteria for the Atypia Urothelial Cells category; this cell has an N/C ratio of approximately 0.5 and demonstrates coarse chromatin, although only mild hyperchromasia and only mildly irregular nuclear borders.

(c) Example of a cell meeting the cytomorphological criteria for the High-Grade Urothelial Carcinoma category; this cell has an N/C ratio of above 0.7, along with coarse chromatin, severe hyperchromasia

and markedly irregular nuclear borders.

Myelolipoma of the adrenal gland

 

Composed of adipose tissue and benign hematopoietic elements (nRBC, megs, granulocytes and their precursors)

 

Myelolipoma of adenal gland

Renal Cytology

Overview

 

vimentin good to differentiate oncocytoma and chromophobe RCC from other tumors, CAIX is positive mostly in CCRCC ,while CK7 is + in chromophobe RCC and papillary RCC type I, racemase is + in papillary RCCs, and TFE3/TFEB fairly specific for translocation RCC

- cytogenetics can be done on cytology specimens

 

Angiomyolipoma

 

May be part of tuberous sclerosis complex, F>M

- fat poor variant is challenging on imaging, which is why it gets bx'd

IHC: (+) SNA, HMB45, ER/PR

- neg: PAX8, CK7

Genes: TSC1 (cr9) and TSC2 (cr16)

 

 

Chromophobe RCC, Oncocyic variant

 

Rarely multifocal, has overlapping variant with renal oncocytoma

- PAX8+, vimentin neg, CK7+, CD117+, E-cadherin+, neg S100

 

Genes: lots of chromosomal losses

 

Px: excellent, except sarcomatoid variant

 

Papillary RCC, Type I (basophilic)

 

Small nuclei c scant basophilic or amphophilic cytoplasm (low-grade nuclei); is usually cystic and necrotic, thus non-enhancing on imaging)

IHC: (+) vimentin, CK7, racemase,

- neg: CAIX, WT1

Genes: trisomy 7 and 17, loss of Y

 

Papillary RCC, Type 2 (eosinophilic variant)

 

Usually multifocal, hemorrhagic and necrotic

-Nuclei c prominent nucleoli (high grade nuceli) and abundant eosinophilic cytoplasm

 

IHC: PAX8+, vimentin+, CK7-/+, CD117 neg, E-cadherin neg, racemase+, CAIX-/+, TFE3 neg

 

genes: cr 7 trisomy/tetrasomy, cr 12//16/17/20 trisomy or loss of Y

 

Clear cell RCC ("granular variant")

 

can be multifocal and part of vHL

- granular var is not a special type

- PAX8+, vimentin+, Ck7-, CD117 neg, e-cadherin neg, racemase neg, CAIX+ (specific)

genes: partial cr3 loss

 

Mucinous tumor and Spindle Cell RCC

 

F>M (4:1), morphology and IHC similar to papillary RCC type I

IHC: (+) PAX8, vimentin, CK&, Racemase

- neg: CAIX

genes: numerous losses and gains

Px: good, except sarcomatoid type

 

Oncocytoma

 

Part of Birt-Hogg-Dube syndrome, usually seen in older pts

- central scar present on radiology

- 1 of 2 RCCs that are vimentin neg, also PAX8+, E-cadherin+, CD117+, CK7 neg, S100+

 

Translocation RCC

 

First described in peds, but is up to 1/50 adult RCCs

- part of the MiTF tumor family (TFE3, TFEB)

IHC: (+)PAX8, vimentin, CAIX, racemase, TFE3/TFEB,

- neg; CK7, HBM45/melanA (-/+)

Px: better in peds

 

Benign Glomerulus

Conventional RCC

 

Low power demonstrates large cohesive monolayer sheets of vacuolated cells

Clean background or sometimes bloody

Abundant wispy cytoplasm with ill-defined edges

Large round eccentrically placed nucleus

Nucleoli vary depending on the Furhman grade

 

 

Conventional RCC

References

 

1. Notes, the U

 

2. Cibus. Cytology. Next to new ed. Ch 3. Bladder and Urine washings

 

3, VandenBussche CJ. A review of the Paris system for reporting urinary cytology.