Soft Tissue Tumors

Adenomatoid tumor

Alveolar soft part sarcoma (ASPS)

Angiomyofibroblastoma

Aggressive Angiomyxoma

Calcifying Apoenurotic Fibroma

Angiofibroma

Cellular Angiofibroma (CA)

Extraskeletal (soft tissue) chondroma

Clear cell sarcoma (CCS)

Perivascular Epithelioid Tumor (PEComa) - see Vascular pathology

Dermatofibrosarcoma Protuberans (DFSP) - see Dermatology

Epithelioid Sarcoma

Intimal sarcoma

Keloid

Elastofibroma

Fibroma of tendon sheath

Giant cell tumor of tendon sheath

Fibromatosis

Desmoid fibromatosis

Juvenile Xanthogranuloma

Fibrous Hyperplasia - see Salivary Glands, Oropharynx, Teeth

Benign Fibrous Histiocytoma (BFH) - aka dermatofibroma (DF)

Intermediate Fibrous Histiocytoma

Angiomatoid fibrous histiocytoma (AFH)

Malignant Fibrous Histiocytoma (MFH)

Atypical Fibroxanthoma (AFX)

Xanthoma

Superficial CD34-positive Fibroblastic Tumor

Inflammatory Myofibroblastic Tumor (IMT)

Low-grade Myofibroblastic Sarcoma

Plexiform FibroHistiocytic Tumor (PFHT)

Giant cell fibroblastoma

Glomus tumor - see Vascular pathology

Granular cell tumor

Granuloma annulare - see Dermatopathology Benign Tumors

Fibrous hamartoma of infancy

Hemangioma - see Vascular pathology

  • Capillary hemangioma
  • Cavernous hemangioma
  • Pyogenic granuloma - see Blood Vessels

Ewing sarcoma / PNET tumor (also CIC-DUX4 or DSRCT)- see Bone and Joint

Hemangioendothelioma

  • Kaposiform hemangioendothelioma

Hemangiopericytoma (HPC)

Angiosarcoma (hemangiosarcoma) - see Vascular pathology

Hibernoma

Kaposi sarcoma - see Vascular pathology

Pseudomyogenic hemangioendothelioma

Leiomyoma

  • Cutaneous leiomyoma

Angioleiomyoma

Leiomyosarcoma

  • Cutaneous leiomyosarcoma

Lipoma

Angiolipoma

Chondroid lipoma

Myolipoma

Pleomorphic / spindle cell lipoma

Liposarcoma

Dedifferentiated Liposarcoma

Myxoid liposarcoma

Low grade fibromyxoid sarcoma

Myofibroma / myofibromatosis

Myxoinflammatory fibroblastic sarcoma (MIFS)

Myositis ossificans circumscripta

(Intramuscular) Myxoma (IM)

Juxta-articular myxoma (JAM)

Myxofibrosarcoma (MFS)

Extraskeletal Myxoid Chondrosarcoma (EMSC)

Nodular fasciitis

Proliferative fasciitis

Proliferative myositis

Ossifying Fibromyxoid Tumor (OFT)

Phosphaturic mesenchymal tumor

Rhabomyoma (adult and fetal types)

Rhabdomyosarcoma

Rheumatoid nodule - see Inflammatory Dermatopathology

Schwannoma

Malignant peripheral nerve sheath tumor (MPNST)  - see Nerve System Tumors

Nerve sheath myxoma

Perineurioma - see Nerve System Tumors

Solitary Fibrous Tumor (extrapleural)

Synovial sarcoma

 

 

Introduction

Soft tissue (ST) is nonepithelial extraskeletal tissue, including fat, sk muscle, fibrous tissue, BVs and peripheral nervous system

- derived from mesoderm c contribution from neuroectoderm

- classified by type of adult tissue they are trying to form, and further into benign or malignant (sarcoma)

-- sarcomas usually are locally estructive c tendency to recur and met, tho some sarcomas dont met (DFSP)

- borderline tumors recur but infreq met

- benign ST tumors much MC than malig, but hard to get accurate data

- sarcomas relatively rare, but MC in adults; but no real variation in incidence or types based on nationality or race

- ST tumors can have variety of causes (ie trauma, radiation, chemicals [dioxin, vinyl chloride]) but usually long latency period

 

Grading and staging should be reported with all sarcomas

- highly cellular sarcomas can be grade 4 even without inc mits

- most tumors have an assumed grade or range of grades

- differentiation score from 1-3 based on resemblance to adult tissue, where grade 3 is undifferentiated

- deep (vs superficial), large, and high grade tumors do worse across grading schema

- myogenic tumors have worse px when matched for other variables (maybe 2/2 inc vascularity)

- thick sections can be misleading bc looks more cellular

 

Prognostic Categories

Benign: reactive or neoplastic: may locally recur

Intermediate: predominantly fibroblastic and vascular

Malignant: potential to metastasize

 

Grading: French Federation of Cancer Centers Grading system (FNCLCC)  [see Coindre JM. Arch Pathol Lab Med. 2006;130(10):1448-53.]

3-tiered: grade 1-3/3

1) Differentiation

“3” Poorly differentiated round cell, uncertain phenotype SS, ES, CC, ASPS or Pleomorphic myoid (LMS/RMS)

“2” MFH, myxoid sarcomas, MPNST, and angiosarcoma

“1” Well differentiated fibro-, lipo-, leiomyo-, chondrosarcoma, early malignant transformation of neurofibroma, hypocellular, most resembles cell of origin

 

2) Mitotic activity

0-9/10 HPF = “1”

10-19/10 HPF = “2”

> 20/10 HPF = “3”

 

3) Necrosis (pre-treatment)

NONE = “0”

<50% = “1”

> 50% = “2”

 

TOTAL SCORE

1-3 = Low grade (grade 1/3)

4,5 = Intermediate grade (grade 2/3)

6-8 = High grade (grade 3/3)

 

5 cm is an important dimension in determining px

 

The extremities are the MC site for sarcomas, though the retroperitoneum, head and neck and body wall also frequent

- histologic subtypes vary depending on body site, however, the clinical evaluation and tx of sarcomas are relatively similar across histologic types

- most pts present c painless mass, and may be mistaken clinically for post-traumatic or spontaneous hematoma or lipoma

- pts should be eval'd for neuropathy and regional LNs should be assessed as mets are relatively common

 

Pretreatment eval of pt c ST mass is bx and radiologic staging

- bx considered on ST masses > 5 cm; grading is important bc affects tx and planning

- image guidance helps avoid bx'ing areas that are necrotic

- incisional bx carries greater risks, but allow for better analysis (used in cases where CNB not fruitful)

- FNA can be performed if cytotechnologist c experience in ST masses is available (usually hard to find) - usually reserved for cases where pt has suspected recurrent sarcoma

 

Major factors involved in risk factor assessment are size, depth relative to fascia and grade

- anatomic site, histologic subtype and margin status also important (tho not incorporated in current staging system)

- factors for predicting recurrence are different from those predicting tumor mets and tumor-related death

- UICC resection classification system uses "R" to designate resection margins (R0 is macroscopically complete resection; R2 has gross residual dz and positive margins)

- positive margins have high (~1/3) risk of local recurrence

- MSKCC nomogram useful for predicting cancer-related death

 

Surgery still main tx for localized primary ST sarcomas

- used to just amputate the limb c sarcoma, now use other tx

- enucleation ("shelling out") of a lesion along pseudocapsule has high rates of reccurence (up to 2/3), whereas wide local excision still has recurrence rates up to 1/3

- a small gross margin that includes the fascia may be better than wider margins that do not have fascia

- limb-sparing tx c postop chemo has comparable survival rates to amputation as tx

- lower-grade tumor may not respond as well to brachytherapy as higher-grade tumors

- amputation used if locally advanced dz is unresectable, and tumor cannot be removed without causing critical loss of function or viability

- postop rads assoc c significant fibrosis and complications in the surgical area, and in general, preop rads has some advantages over postop rads

- chemo is the main tx for pts c stage IV ST sarcomas

- different tumors have different chemo sensitivities, but the benefit is likely minimal

- Hyperthermic Isolated Limb Perfusion (HILP) is investigational technique used in attempted limb preservation c locally advanced dz and for functional preservation in stage IV dz

 

LN spread is relatively rare, so LN dissection not usually needed, but bx may be considered in pts c certain subtypes known to have LN mets (angiosarc, embryonal / alveolar rhabdomyosarc, clear cells sarc, epithelioid sarc)

 

***ACRES*** - sarcomas that spread by lymph

Angiosarcoma

Clear cell sarcoma

Rhabdomyosarcoma

Epithelioid sarcoma

Synovial sarcoma

 

Painful lesions: ***ANGEL***

Angiolipoma

Neurofibroma

Glomus tumor

Eccrine spiradenoma

Leiomyomas

 

Isolated local recurrences are treated the same as primary tumors

- early identification of recurrence is key

1

2

3

Sarcoma survival based on grade

from Coindre. Grading of Soft Tissue Sarcomas. Arch Pathol Lab Med 2006

Adenomatoid tumor

 

IHC: (+) calretinin, EMA, CKs

 

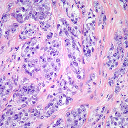
Alveolar soft parts sarcoma (ASPS)

 

Rare highly malignant neoplasm of deep ST (thigh and buttock in adults, head and neck in children) c well-defined nests separated by fibrous stroma in deep ST of thigh.buttock, mouth, mediastinum, thigh of young females

- 50% present c lung mets

 

Gross: well circumscribed, large gray-yellow c hemorrhage and necrosis up to 14 cm

 

Micro: well-defined organoid nests of large uniform polygonal cells c granular red cytoplasm, vesicular nuclei and large nucleoli

- cells separated by fibrous stroma

- has alveolar pattern if cells are discohesive

- no/rare mits, minimal pleomorphism; commonly invades vessels and has rhomboid crystalloids

 

Cyto: very similar to CCRCC

 

IHC: PAS+ diastase resistant (crystal structures on EM pathognomonic), desmin (1/2+ focally), MyoD1, nuclear TFE3

- negative vimentin, CK, chromogranin, synapto, S100 (1/4+), actin (1/10+)

 

Genes: unbalanced t(X;17)(p11.2;q25) fusing TFE3 transcription factor gene at Xp11 to a novel gene at 17q25 (ASPSCR1, at the ASP Locus); messed up chr 1, 5, 13, 17

 

Px: depends on size, 17q25 abnormality, stage, age; thought of as an indolent but fatal course (87% survival at 2 yrs; 18% @ 20 yrs)

- can have lung mets up to 3 decades later

ASPS

Angiomyofibroblastoma

 

B9, well-circumscribed myofibroblastic tumor, overlap c celluar angiofibroma; usually females of reproductive age, usually vulvar, 10-15% in vagina; can be in scrotum or paratesticular ST in men

 

Micro: thin fibrous pseudocapsule c alternating hyper- and hypocellular area and prominent thin walled vessels and ectatic vessel in edematous stroma

- round to spindly tumor cells c red cytoplasm and bi- or multinucleation

- tumor cells concentrate around vessels

- mast cells common

- 1/10 have mature adipose tissue

- no / rare mits, no / rare RBC extravasation

 

IHC: (+)vimentin, desmin, ER/PR, SMA, occasional CD34

- neg: S100 keratin

 

Tx: excision

 

Px: good

Angiomyofibroblastoma

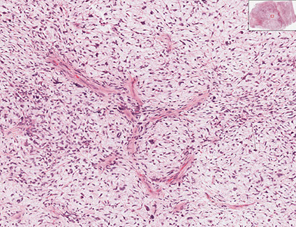
Aggressive Angiomyxoma

 

Mostly in perineal and pelvic regions of women

 

Micro: Circumscribed and has peripheral infiltrative margins c extension into adjacent structures

- hypocellular c monotonous small spindled and stellate fibroblastic cells in background of myxoid stroma and prominent, dilated, thick-walled vessels

 

IHC: (+) CD34 (usually do not need IHC), HMGA2 (sens but not spec, good for evaluating margins in re-excision specimens)

Aggressive angiomyxoma

Calcifying Aponeurotic Fibroma (CAF)

 

Has wider range of pts age than juvenile fibromatosis; usually presents as painless mass on hands or feet present for several months to years; usually poorly circumscribed and is not debilitating; M>F

- 2 phases of growth: 1) initial phase in inflants and kiddos that grows diffusely, lacks calcifications and can resemble infantile fibromatosis; or 2) late phase where tumor more compact and nodular and has prominent calcification and cartilage

- grossly small ill-defined rubbery white mass, that can show calcifications as small white flecks on cross-section

 

Micro: fibrous growth c multiple processes that go into surrounding tissue c central foci of calcification and cartilage formation

- fibrous tissue can be hyalinized in areas c lots of calcification

- stromal cells can be organized in cartwheel or whorled pattern and can also be palisading

- osteoclast-like MNGCs can be present around calcifications

 

Ddx: Infantile fibromsatosis (usually H&N, prox extremities, very elongate fibroblasts c myxoid stroma, calcification and chondroid rare); Palmar / plantar fibromatosis (rare in kiddos, calc / chondroid rare); Soft part chondroma (in older pts, well-demarcated nodular masses, chondroid more extensive and better developed in CAF)

 

Px: high rates of local recurrence b/c of infiltrative patterns of growth (~1/2 recur); but rarely have malignant transformation

 

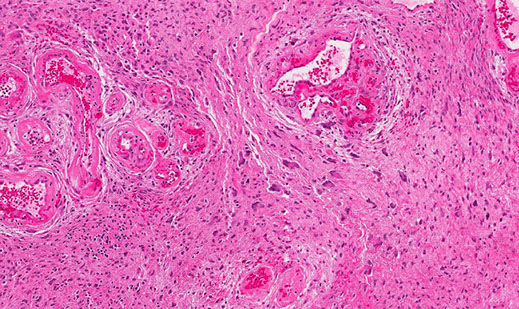
Angiofibroma

 

- aka fibrous papule

Common, b9, small, reddish brown of flesh-colored smooth shiny papules over the sides of the nose and the medial portion of the cheeks

 

Multiple angiofibromas can be seen in NF, Birt-Hogg-Dube, MEN1 or TS (esp if multiple, reddish brown lesions on face in younger pts, which are called adenoma sebaceum [a total misnomer bc they are really angiofibromas])

 

Micro: dark pink dense collagenous stroma c inc spindled to stellate fibroblasts and inc and dilated BVs

- collagenous stroma consists of collagenous alteration c concentric orientation around hair follicles or BVs or perpendicular to epidermis

- stellate or triangular dark "Star Trek cells" are fibroblasts in dense, fibrotic collagenous stroma

- multinucleated fibroblasts often present, scattered dermal melanophages may be seen

- rare mits

 

Many histologic variants: Hypercellular, clear cell, pigmented, pleomorphic, granular

 

IHC: not usually necessary, but may help r/o malignancy; spindled and stellate cells (+) for FXIIIa, CD68 and CD34 and neg for CKs and S100

 

DDx: Angiofibromas of TS (adenoma sebaceum), angioma (angioma does not have as thick colalgen or stellate / triangular cells), fibrofolliculoma, pleomorphic fibroma

Angiofibroma

Angiofibroma with dense pink collagen, dilated BVs, and dark "Star Trek" fibroblasts

Cellular Angiofibroma (CA)

 

-aka angiomyofibroblastoma-like lesion, discovered in 1997

 

Rare, slow growing B9 highly cellular tumor over 40 yo found in vulva, scrotum / inguinal rengion c prominent blood vessels

- related to spindle cell lipoma and mammary-type myofibroblastoma, c morphologic variations depending on anatomic location

- can come out of hormone receptor positive mesenchymal cells in lower female genital tract

 

Gross: vulvar lesions smaller (~3 cm) than male lesion (14 cm)

- well-circumscribed nodules c soft to rubbery gray pink insides

 

Micro: well-circumscribed, variable pseudocapsule

- variably cellularity c fascicle and haphazard patterns

- bland spindle cells c scant lightly red cytoplasm c ill defined border, oval nucleus (can look epithelioid)

- prominent small to med vessels c hyaline fibrosis in walls (can have degen changes in fibrin thrombi, intramural inflam, hemosiderin)

- scattered mast cells common

- female lesion has slightly inc mits which is absent in males

- no atypical mits or necrosis

 

IHC: (+) ER,PR, vimentin, SMA, CD34

- negative S100, desmin, EMA

 

Genes: 13q14-22 which encodes the RB1 locus; changes similar as spindle cell lipoma and mammary-type fibroblastoma; monoallellic deletion of RB1 by FISH

 

Tx: exicision

 

Px: usually doesn't recur

Cellular Angiofibroma (CA)

Extraskeletal (soft tissue) chondroma

 

B9 cartilagenous tumor in hands/feet of adults

 

Gross: lobulated, hyaline, calcified

 

Micro: lobulated at low power c plump tumor cells and fine punctate calcification; nuclear hyperchromasia common

- can have focal fibrosis, osteoclastoid GCs, histiocytoid cells, vacuoles that look like lipoblasts

 

Px: can recur locally

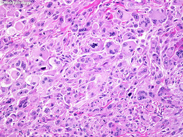
Clear cell sarcoma (CCS)

 

aka melanoma of soft parts

Rare aggressive, yet slowly progressing tumor seen in young adults (avg 30 yo), M>F in deep tissue of foot and ankle (esp near tendons or aponeuroses)

 

Gross: firm, well-circumscribed with gritty texture under the scalpel

- avg 4 cm, variable necrosis

 

Micro: Nested cells separated by thin fibrous septae c spindle, epithelioid and floret-like MNGCs

- frequently c melanin (2/3) and rhabdoid cells (pleomorphic) and necrosis and mits

- can have wreath-like giant cells

 

Cyto: variable cellularity, can have microacinar structures that look like adenoca

 

IHC: (+) S100, HMB45, micropthalmic transcription factor, MelanA, iron

- negative alpha SMA, desmin, CAM5.2

 

Genes: t(12;22)(q13;q12) R1 (ATF1) and EWS (negative in melanoma) making EWS-R1 (ATF1) (also seen in angiomatoid fibrous histiocytoma)

 

Tx: excision

 

Px: 5 yr survival 2/3; size most important factor

- freq recurrence, mets to nodes and distantly

Clear cell sarcoma

Touton-like giant cell in clear cell sarcoma

Perivascular Epithelioid Tumor (PEComa)

 

see Blood Vessels

 

 

Dermatofibrosarcoma Protuberans (DFSP)

 

Refer to Dermatopathology Cancers / Tumors

 

 

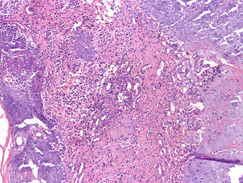
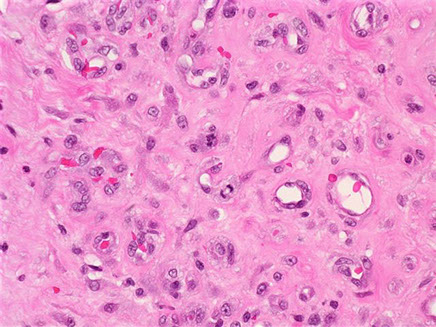
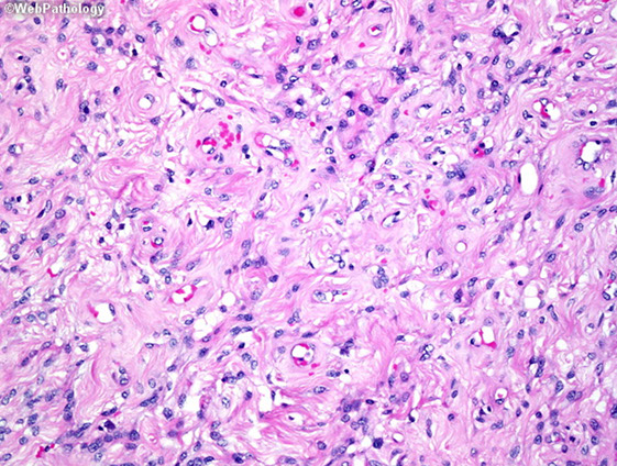
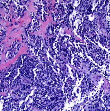
Epithelioid Sarcoma

 

Distal extremities of young adults, mostly on flexors of fingers, knee and forearms (places c little subQ fat)

- M:F = 2:1

- slow growing hard nodule that usually becomes ulcerated (which may mimic ulcerating SCC)

- usually 3-6 cm

- spreads along aponeurosis in centripetal pattern and can ulcerate the skin

 

 

2 types:

1) Conventional (classic or distal)

- has pseudogranulomatous appearance and is MC in acral spots

- Young adults, M>F, not as aggressive

 

2) Proximal type

- has epithelioid morphology and is MC in proximal / truncal sites such as the pelvic and perianal regions

- more aggressive course

 

Imaging: speckled pattern of calcification, cortical thinning of underlying bone; MRI good to eval extent of lesion

 

Micro: nodular arrangement c central necrosis (looks pseudogranulomatous), also epithelioid appearance c red cytoplasm and peripheral spindling, reminiscent of a granuloma

- nodules may be more or less well-circumscribed

- cells range from large oval / polygonal to plump spindle-shaped cells

- loss of cohesion and hemorrhage can mimic angiosarcoma

- 10% have calcification / bone formation

 

Genes: loss of SMARCB1 cr 22q11 (just like malignant rhabdoid tumor of infancy and AT/RT)

 

IHC: (+) cyclin D1 (nuclear), EMA, vimentin, CK8/19, CD34 (in 50%, do not confuse c vascular neoplasm), ERG (in 60%), FLI1 (in 70%)

- negative S-100, CK5/6, neurofilament protein, CEA, vWF, SMARCB1, HHF-35, INI-1 (loss of INI1 in ~90% of conventional and proximal types)

- co-expression of CK and CD34 unique to epithelioid sarcoma and epithelioid angiosarc)

 

DDx: necrotizing infectious granuloma, necrobiosis lipoidica, granuloma annulare, rheumatoid nodule, epithelioid MPNST, melanoma, epithelioid sarcoma-like hemangioendothelioma, ulcerative SCC (cyclinD1 negative, CK5/6 [+])

 

Tx: excision (amputation), rads

 

Px: Poor, most die from the dz; high rates of local recurrence and mets (to lung and LNs)

- poor px factors: proximal tumors, large size (5 cm cutoff), deep tumors, hemorrhage, mits, necrosis, rhabdoid features, angiolymphatic invasion, inadequate excision, vasc invasion

- 1/2 die before 10 yrs

Epithelioid sarcoma

Epithelioid sarcoma. A, The tumor shows epithelioid morphology and moderate to severe cytologic atypia. The lesional cells are positive for cytokeratin (B) and erythroblast transformation-specific transcription factor (ERG) (C) and demonstrate loss of nuclear integrase interactor 1 (INI1) (D) (hematoxylin-eosin, original magnification x200 [A]; original magnifications x200 [B through D]

Intimal sarcoma

 

MC primary cardiac sarcoma (after angiosarcoma??)

- malignant mesenchymal tumors that arise in large blood vessels of the systemic and pulmonary circulation and the heart.

- originate from subendothelial pluripotent cells within the intimal lining of large blood vessels and are characterized by intraluminal growth that can lead to luminal obstruction and seeding of emboli to other organs.

-- emboli are the reason most patients present for medical care.

 

Micro:  intraluminal polypoid mucoid or gelatinous masses filling vascular lumens. Tumors with high-grade features may show hemorrhage and necrosis. Histologically, IS are spindle cell sarcomas with variable cellularity and variable nuclear atypia.

-- are usually heterogeneous lesions in which tumor cells may be spindled or epithelioid, with a diffuse and/or fascicular growth pattern.

- High-grade areas are characterized by nuclear pleomorphism, increased mitotic figures, and necrosis, while low-grade areas are less cellular and more myxoid. A subset of cases may show osteosarcoma or chondrosarcoma elements and occasionally angiosarcomatous or rhabdomyosarcomatous features [from CAP activity]

 

IHC: (+) MDM2 (nuclear)

- negative: CK AE1/AE3, MSA, desmin, caldesmon, EMA, CD99, CD34, S100, and STAT6

 

Gene: amplification of 12q13, the MDM2 gene locus

-  amplifications and gains in the 12q13-q14 region (containing MDM2 and CDK4) and 4q12 region (containing PDGFRA and KIT) in most IS

 

Px: overall survival for Pulmonary Intimal Sarcoma (PIS) is generally poor, with mean survival of approximately 1 to 1.5 years

Intimal sarcoma

Keloid

 

Type of scar that may be composed entirely of type I or type III collagen which is an abnormal fibroblast reaction to injury

- usually in people of African descent, usually in earlobe

- high rate of recurrence after excision

 

Micro: wide bands of collagen c large, brightly eosinophilic, glassy fibers, also parallel fibroblasts and myofibroblasts

- mucinous pools seen after steroid injection

 

Genes: epigenetic alteration in fibroblast DNA and acetylation of histone proteins

 

Tx: roids

Inclusion body fibromatosis - arrows show cytoplasmic eosinophilic inclusions

Inclusion Body Fibromatosis

 

Rare b9 fibroblastic neoplasm, occurs almost exclusively on the digits of children, mostly in the first year of life, M=F, <2 cm

- most involve fingers and toes, rarely the thumbs or big toes

 

Micro: resembles myofibroblastic entities (including desmoid fibromatosis, nodular fasciitis, and desmoplastic fibroblastoma), with a bland-appearing myofibroblastic spindle cell population in whorls, short fascicles and storiform foci and collagenous stroma highlighted with trichrome

 

Px: B9, but recur if inadequately excised

Elastofibroma

 

Usually in the deep ST bwt scapula and chest wall

- typically elderly pts, c female predominance

- many have hx of manual labor, so chronic local trauma thought to play a role

 

Gross: fibrous tissue c intervening adipose tissue

 

Micro: variable amts of collagenized fibrous tissue, bland spindled fibroblasts and admixed mature adipose tissue c infiltrative border

- within fibrous tissue are "chenille bodies" - large eosinophilic cords and globules c wavy appearance and irregular borders

-- chenille-type yarn kinda looks like a French catepillar?

 

IHC: (+) SMA, elastin stain highlights chenille bodies

- neg: CD34, desmin, S100

 

DDx: desmoplastic fibroblastoma / collagenous fibroma (densely fibrotic / collagenized and c stellate fibroblasts, no elastic fiber / chenille bodies, SMA and MSA (+), CD34, desmin and S1oo neg)

- Nuchal-type fibroma - usually in posterior neck of middle-aged pts, c thick hyalinized collage c "cracking artifact" and entrapped nerves, variable lastic fibers may be seen, assoc c diabetes, CD34+

- Gardner fibroma - trunk, abdomen, head and neck of infants and children; very similar histologically to nuchal-type fibroma except they don't entrap nerves, B-catenin (+) nuclei, CD34 also positive, and assoc c FAP

 

Elastofibroma

Chenille bodies in elastofibroma

Nuchal-type fibroma

 

Seen in the neck region

- can mimic a Gardner fibroma

Nuchal-type fiibroma

Fibroma of Tendon Sheath

 

- aka tenosynovial fibroma

b9, uncommon, well-circumscribed, may overlap c nodular fasciitis or giant cell tumor of tendon sheath

- M>F, 30-50 yo, nodule on fingers, hand or wrist

 

Micro: well-circ nodules of dense fibrous tissue c occasional spindle or stellate mesenchymal cells in S or C shaped patterns

- cells c scant cytoplasm and elongate nuclei c evenly distributed chromatin

- often has dilated or slit-like channels / clefts resembling tenosynovial spaces

 

IHC: (+) SMA, vimentin

 

Genes: possibly t(2;11)(q31-32;q12)

 

Tx: excision, 1/4 recur

Fibroma of tendon sheath

Giant cell tumor of tendon sheath

Giant cells as well as rhabdoid histiocytes

Giant cell tumor of tendon sheath, localized type

 

discrete prolif of rounded synovial-like cells c MNGCs, siderophages, inflam, and xanthoma cells

- MC in women, 30-50 yo, on the hand (usually adjacent to MCP joint), and less common in feet, ankles and knees

- grow slowly and can be stable for several years

- imaging shows a circumscribed ST mass, and can have degenerative changes in the adjacent joint

- grossly is circumscribed lobulated mass c some shallow grooves in deep surfaces made by underlying tendons; can be up to 4 cm, but usually small; have pink-gray mottled appearance

 

Micro: early lesions are a villous structure projecting into synovial space, then grows outward in a cauliflower-like fashion

- has various proportions of GCs, monos, xanthoma cells, hemosiderin, and degree of collagenization

- do not always have giant cells, usually have rhabdoid appearing cells

- usually hot on PET, can be concerning for mets

- can have rare cartilagenous and osseous metaplasia

- can have rare mits

 

IHC: (+) CD45/68/163 in histiocytes

 

Giant cell tumor of tendon sheath, diffuse type

- aka pigmented nodular synovitis??

 

ST counterpart of pigmented villonodular synovitis of the joint space

- in most cases is extra-articular extension of intra-articular lesions

- occurs in younger pts than the localized type, females slightly >M

- has same distribution as pigmented synovial synovitis, MC in knee, then ankle and foot

- is not surrounded by fibrous capsule but grows in sheets, interrupted by cleft-like or pseudoglandular spaces (residual synovial spaces)

- predominant cell is round or polygonal, and is mixed c spindle cells, xanthoma cells, MNGCs and chronic inflam

- have have fairly hyalinized stroma in more cellular areas

 

Px: local recurrence in ~1/2, is a reactive condition with slow growth and is not known to undergo malignant transformation

Atypical / Malignant Tenosynovial Giant Cell Tumor

 

Atypical - no overt cytologic malignancy, but high mits, necrosis, nuclear enlargment, and prominent spindling

- malignant - component of conventional diffuse TSCCT c overt malignant and/or sarcomatous component

- recurrence as sarcoma

Superficial Fibromatosis

 

Hard white nodules c swirly middle on serial sections which arise from outer fascial layer of muscles

- all share 6 features:

1. Well- diff myofibroblasts

2. Infiltrate

3. Collagen bwt myofibroblasts

4. No malig features

5. No mits

6. Recurrence but no mets

 

Can cause local deformities, but have innocuous clinical course

- M>F

- if on palms, called Dupuytren contracture, causing permanent flexure of the 4th and 5th digits

- plantar kinds are common and don't usually cause contractures

- if penile called Peyronie disease, and is a palpable induration on the dorsolateral aspect of penis that can cause shaft curving

 

IHC: (+) nuclear B-catenin (not superficial, only deep), actin, ER/PR (if abdominal)

- neg: CD34

 

Genes: CTNNB1 gene mutated (inc B-catenin)

- also assoc c Garner syndrome, APC gene 5q22

 

Tx: Excision c wide margins

Plantar fibromatosis

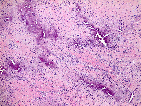
Deep Fibromatosis (Desmoid tumors)

 

Infiltrative, sometimes painful lesion of clonal fibroblasts in deep ST/muscle c irregular borders that frequently recur but don't met

- 2nd to 5th decades (esp head and neck if in kids) MC in shoulder (1/4), chest wall, thigh if outside abdomen

- 3 F > 1 M; usually as an abdominal wall mass

- not as common as superficial fibromatosis

- can be lethal 2/2 mass effects when in head and neck of kids

- may be familial and assoc c Gardner's syndrome

 

Micro: Bland long sweeping fascicles (usually that go all the way across the microscope field) c bipolar fibroblasts / myofibroblasts  c amphophilic cytoplasm that blends into surrounding collagen and have very open chromatin and large single prominent nucleolus

- has thick-walled, intermediate-sized BVs between fascicles, sometimes with perivascular edema

- cancer cells are bwt super thick fibrous bands (is more collagenous and less cellular than nodular fasciitis)

- regenerating muscle can form MNGC-oid cells

- few mits, no atypia

 

Cyto: bland individual/single spindle cells c long fusiform nuclei and metachromatic matrix material possibly in a fascicular pattern

 

IHC: (+) vimentin, SMA and CD117 (variable, can be a pitfall for GISTs!!!), nuclear B-catenin (sensitive but not specific; see genes below), ER-beta

- negative: keratin, S100, CD34, ALK, desmin, ER-alpha, PR, MUC4

 

Genes: Clonal, assoc c Wnt/B-catenin (APC-B catenin - Tcf) pathway, trisomies 8 and/or 20, APC inactivation

- APC binds B-catenin, in Wnt pathway, so inactivation of APC causes build-up of nuclear B-catenin (which causes a positive nuclear B-catenin stain; thus reactive scars and nod fasc has positive cytoplasmic B-catenin, not nuclear B-catenin like those seen in clonal fibromatosis)

- pts c FAP / Gardner syndrome c germline APC mutations on cr 5q are predisposed, and are intra-abdominal

- sporadic tumors are extra-abdominal and assoc c CTNNB1 mutation

 

Tx: Wide-margin excision (tends to recur)

- chemo/rads can be helpful

 

DDx: GISTs are more cellular, are located within the muscle layer, and have larger endothelial cells; Leiomyosarcoma have nuclear pleomorphism, more eosinophilic cytoplasm, and perpendicular fascicles

Desmoid fibromatosis with long sweeping fascicles

Desmoid fibromatosis with medium-sized BV

Solitary (Juvenile) Xanthogranuloma (JXG)

 

Stable or regressing lesion that occurs during childhood; classified as a dendritic cell-related histiocytic prolif (non-Langerhans cell histiocytosis)

- have one or more cutaneous nodules and less often other lesions in deep ST or organs

- those that develop after 2 yo or in adults are called "solitary"

- no assoc lipid abnormality or family-assoc incidence

- 1/2 on head and neck, then trunk and extremities; up to 2 cm

 

Micro: sheets of histiocytes in dermis extending to but not invading the flattened epidermis

- infiltrate apposes adnexal structures closely and extends to subQ

- histiocytes are well-diff and have rare mits

- older lesions have finely vacuolated or xanthomatous cytoplasm, whereas the early lesions have little lipid

- GCs, esp Touton GCs, are typical

- can have acute and chronic inflam, esp eos

 

Genes: assoc c NF1, juvenile myelomonocytic leukemia

Juvenile xanthogranuloma

Benign Fibrous Histiocytoma (BFH)

- aka DermatoFibroma (DF)

 

Firm dark slowly-growing solitary nodules usually superficial in skin, esp legs of young (teens to 30's) pt (M>F?); one of the MC b9 cutaneous neoplasms

- aka dermatofibroma, tenosynovial giant cell tumor [1]

- MC cutaneous mesenchymal tumor

- dermal-based Grenz zone (tumor free zone), and epidermal hyperplasia

- lots of variants: epithelial, palisading, granular

 

Micro: Mix of histiocytoid cells (can be foamy, hemosiderin-laden, or giant), and fibroblastoid cells in storiform pattern and well circumscribed (but no capsule) and can have HPC-oid vasculature, making collagen balls at the edge of the lesion

- acanthosis of overlying epidermis with hyperpigmentation of basal layer

 

Can be of a cellular of atypical variant

- cellular BFH (CBFH) lacks distinct cellular polymorphism and has very cellular central portion c numerous typical mits

 

IHC: (+) CD68, SMA, factor XIIIa, D2-40

- neg CD34 (can have rare [5%] CD34 positivity)

- compare to DFSP (pos CD34, neg fXIIIa)

 

Px: Rarely recur or met

Benign fibrous histiocytoma (BFH) - Grenz zone

A central white sacr-like patch (*) surrounded by a delicate pigmented netrowk (arrow). Some brown globules are present in the central area of the dermatofibroma (#)

Cellular Fibrous Histiocytoma (CFH)

 

Variant of benign fibrous histiocytoma (BFH) in the dermatofibroma family

5% of FH; larger than typical FH

- clinically presents on prox extremities and head and neck areas

- is the MC subtype of BFH to present on the head and neck

- clinical ddx is BCC, epidermoid cyst, pyogenic granuloma, and dermatofibroma

 

Micro: light eosinophilic to amphophilic spindled cells c fascicular to storiform pattern

- monomorphous, without siderophages and foam cells seen in ordinary BFH

- few admixed inflam cells

- may involve subcutaneous fat

- has central necrosis in 1/10

- freq mitotic activity

 

Essential to recognize the features of ordinary BFH (overlappind low-power circumscription, variable epidermal hyperplasia, peripheral "collagen trapping")

 

IHC: (+) CD34 at the periphery (negative in center)

 

DDx: Dermatofibrosarcoma protuberans (DFSP, more diffusely CD34+, less circumscribed, no epidermal hyperplasia, no collagen trapping), nodular fasciitis, spindled variant of epithelioid sarcoma, leiomyosarcoma

 

Px: B9; can recur locally (1/5), and rarely met to LN and lung

- no morphologic features to predict mets (?)

Cellular fibrous histiocytoma

Epithelioid Fibrous Histiocytoma

 

Pt presents c red-brown nodule; frequently polypoid c epidermal collarette

 

Micro: epithelioid cells c abundant eosinophilic cytoplasm

- can see rare mits

- variable collagen trapping

 

IHC: (+) Factor XIIIa

- neg: S100 and CK

 

Genes: most with ALK expression and gene rearrangement

Epithelioid fibrous histiocytoma

Intermediate Fibrous Histiocytoma

 

Includes Dermatofibrosarcoma Pertuberans (DFSP) and atypical fibroxanthoma (AFX - see below), and Angiomatoid fibrous histiocytoma (AFH,?, below)

- can be deeper than B9 FH

 

Micro: high cellularity, mod to inc cellularity, no giant/ foamy/ hemosiderin -laden cells but does have storiform pattern

 

Px: tend to recur but rarely met

Angiomatoid Fibrous Histiocytoma (AFH)

- aka pseudosarcomatous FH, or dermatofibroma with monster cells

 

Uncommon variant seen in teens to young adults (rare in adults >40 yo) in extremities presenting  as slow growing nordular or cystic mass in subderm (can present as a recurring hematoma in some kiddos) or in area of lymphoid tissue that can present c fever, malaise, anorexia, anemia, paraproteinemia (thus can easily be confused c some kind of lymph node pathology)

 

Gross: firm, circumscribed, multinodular or multicystic hemorrhagic mass, avg 2 cm

- can have irregular blood-filled cystic spaces

 

Micro: 3 main findings: 1) irreg solid mass of histiocyte-like cells; 2) cystic areas of hemorrhage (bloody lakes), and 3) chronic inflam (cuff of lymphs)

- thick fibrous capsule around nodule/sheets/ of whorls of monomorphic bland spindle to ovoid reddish cells

- hypercellular c bland histiocytoid cells and hemorrhagic cystic spaces, with aggs of lymphoid cells at tumor's edge

- rare clear cells, rhabdomyoblastoid cells and myxoid change in stroma

- 1/5 have lots of nuclear atypica or hyperchromatic giant cells

 

Cyto: histiocytoid cells dispersed or in clusters; reddish mesenchymal frags in bloody background c lymphocytes

- neoplastic cells have some degree of pleomorphism and lots of fragile cytoplasm c prominent nucleoli

- partially cystic c dense fibrous pseudocapsule and thick lymphoid cuff

 

IHC: (+) calponin, CD68 (var, 1/2), desmin (1/2+), EMA (1/2), CD99 (1/2), actin

- negative factor VIII, CD34/31, S100, keratin

 

Ewing sarcoma is a potentially dangerous pitfall as both can have CD99+ and EWSR1 gene rearrangements

 

Genes: t(12;16)(q13;p11) making ATF1-FUS or t(12;22)(q13;q12) making ATF1-EWSR1 gene [also in GI clear cell sarcoma]; or t(2;22)(q33;q12) making CREB1-EWSR1 gene

 

Tx: exicision

 

Px: rarely mets (<2%), excellent clinical course

- 1/10 local recurrence

AFH

Atypical Fibrous Histiocytoma

 

Clinically similar to conventional dermatofibroma, in the extremities of you pts on non-sun damaged skin

 

Micro: on low power may resemble dermatofibroma, with epidermal hyperplasia, circumscribed and peripheral collagen trapping

- high power shows markedly atypical, sometimes multinucleated cells admixed wih bland spindled cells

- can have mits, including atypical mits

 

GenesL No consistent cytogenetic abnormalities (can have recurrent losses of cr 9 and 22)

 

DDx: atypical fibroxanthoma (usually older pts, sun damaged skin, absent areas of typical dermatofibroma)

- UPS  (infiltrative, deep soft tissue, subset on head and neck c clinical overlap  c atypical fibroxanthoma)

 

Tx: conservative but complete excision and F/U

 

Px: B9, up to 1/5 c local recurrence, rarely can have mets and tumor-related mortality

Atypical fibrous histiocytoma

Pleomorphic undifferentiated sarcoma UPS/MFH

MFH

MFH inflammatory type`

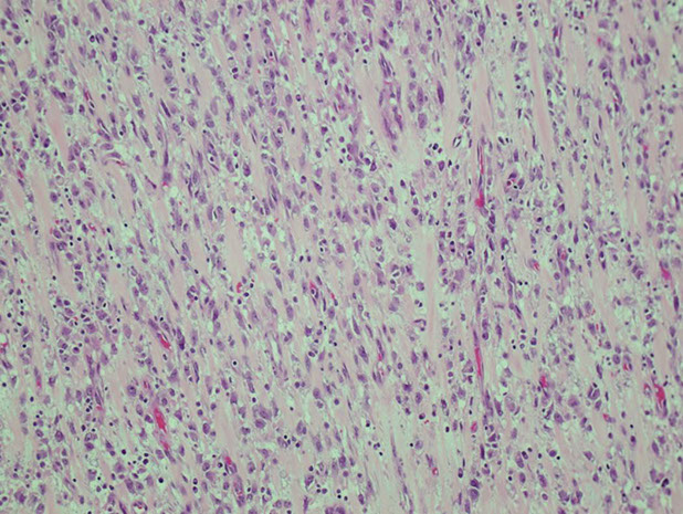
Malignant Fibrous Histiocytoma (MFH)

 

aka Undifferentiated Pleomorphic Sarcoma (UPS), NOS

-- Collectively known as UPS/MFH

Pleomorphic, may cover a broad range of tumors;

- is thus a dx of exclusion

- was considered MCC adult soft tissue sarcoma [2]

- was originally grouped as ST tumors c storiform pattern that was thought to have derived from histiocytes from early tissue cultures (later refuted by EM studies); later found to be more closely related to fibroblasts rather than histiocytes

- CGH has found that they are probably more closely related to dedifferentiated liposarcomas

- myoid differentiation may be assoc c worse px (more aggressive)

- UPS may be just a part of a dedifferentiated sarcoma (usually a well-diff liposarcoma in the retroperitoneum)

- should also consider a nonsarcoma, such as sarcomatoid carcinoma, sarcomatoid mesothelioma, melanoma, or anaplastic lymphoma; must r/o c IHC first and foremost

 

Pts usually 50-70 yo (rare under 20 yo); 2/3 male; white>black

- MC on lower (thigh) > upper extremity; painless slow growing mass

- can cause constitutional sx if retroperitoneal

- may be assoc c fever, neutrophilia or eosinophilia (esp in the retroperitoneal inflammatory MFH) from IL6 and 8 production

- may be assoc c rads tx

 

Gross: fleshy c myxoid change, necrosis, bloody

- 2/3 in sk muscle

- although appears gross circumscribed, tends to spread along fascial planes or bwt muscle fibers; gray to white, pushes against fascicles and forms pseudocapsules

- usually c extensive hemorrhage and necrosis (may look like a bloody mass) and look brown, or can have yellow hue 2/2 predominance of xanthoma cells

- have less distinctive storiforming than DFSP; the storiforming has prominent plump spindle cells in short storiforms around slit-like vessels

- lots of typical and atypical mits

- can have fascicular pattern and resemble fibrosarcoma (UPS has plumper fibroblasts)

- PAS+ diastase resistant drops can be found in atypical giant cells 2/2 degenerative change

- rarely has some bone formation (if prominent consider chondrosarcoma or osteochondrosarcoma)


Micro: highly var; freq transitions from storiform to pleomorphic areas;

- 1/4 c prominent myxoid stroma

IHC: negative for most markers, though can occasionally be (+) for actin / desmin, or vimentin (diagnosis of exclusion)

- may be able to subclassify based on results of IHC, such as pleomorphic leiomyosarcoma, or pleomorphic liposarcoma

- CD68 in a variety of mesenchymal and other cell types, not specific for histiocytes, not specific for MFH, Limited diagnostic use

- CD163: More histiocyte-specific Not present in MFH cells, highlights high numbers of tumor-infiltrating histiocytes

 

Px: up to 1/3 get local recurrence; 1/3 get mets; (both within 2 yrs after dx); 2/3 5-yr survival

- px depends on size, depth, grade, necrosis

 

 

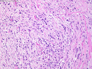
Atypical fibroxanthoma

Atypical FibroXanthoma (AFX)

 

Dermal variant of MFH, pleomorphic c low-grade behavior

- aka intermediate fibrous histiocytoma or undifferentiated pleomorphic sarcoma of the skin)

 

Rapidly growing small dome-shaped polypoid nodule on sun-damaged skin on head and neck of elderly that can present as a small (<2 cm) bleeding ulcer that can look like carcinoma

- think of AFX if sun damaged skin of older pts; cells bump right up against the epidermis (no Grenz zone)

- no subQ invasion, necrosis, or vascular invasion (may look like a sarcoma, but does not act like a sarcoma... but may turn into a sarcoma)

- if >2 cm call it a UPS (?)

 

Micro: well-circumscribed, looks symmetric at low power

- has bizarre multinucleated cancer cells in hypercellular spindly stroma c freq atypical mits

- lots of smaller fibroblastic, myofibroblastic and histiocytoid cells that are pleomorphic c angulated nuclei

- background is inflammatory

- pushes aside adnexa, and doesn't go very deep

- no grenz zone, no necrosis, no vascular invasion and no infiltrative margins

 

Identical to malignant fibrous histiocytoma, but AFX has largely b9 behavior

 

Subtypes: angiomatoid, chondroid, clear cell, granular cell, keloidal, myxoid, osteoclastic, osteoid, and pigmented

 

IHC: (+) vimentin, CD68, alpha-1-antichymotrypsin, Factor XIIIa, CD117/99/10, D2-40, calponin, desmin, SMA

- may have small drops of diastase-resistant PAS+ material

- negative CKs, p63, EMA, S100, HMB45, caldesmon, desmin, actin

 

Genes: diploid

 

Tx: local (Mohs) excision

 

Px: excellent after conservative tx [5, p425]

- may be poor if hx of immunosuppression or recurrence

- rarely recurs or mets

Pleomorphic dermal sarcoma

 

•Looks like AFX but

•Infiltrates subcutisor

•Tumor necrosis

•Perineuralor lymphatic invasion

•Negative for keratins, S100, SOX10

Xanthoma

 

- collection of tissue histiocytes containing lipid (not a true tumor but a rxn 2/2 altered serum lipids)

- cutaneous xanthomas characterized by gross and clinical characteristics (ie eruptive xanthoma, deep xanthoma, tendinous xanthoma)

 

Superficial CD34-positive Fibroblastic Tumor

 

Clinical features

•18 cases (10M; 8F)

•Median age 38 years (range 20-76)

•Superficial lesions (thigh most common)

•Risk of local recurrence

•1/13 with follow-up developed regional lymph node metastasis

•No distant metastasis

 

Microscopic features

•Circumscribed to infiltrative

•Fascicles and sheets of pleomorphic cells with abundant granular to glassy cytoplasm

•Intranuclear inclusions

•Xanthomatous change common

•Arborizing vasculature common

•Low mitotic rate (<1/50 HPF)

•Chronic lymphocytic infiltrate

•CD34+; keratin focally positive in 68%, retained SMARCB1

•Negative for S100, ERG, SMA

 

Differential diagnosis

•PRDM10-rearranged soft tissue tumor

•Pleomorphic hyalinizing angiectatic tumor

•Pseudomyogenichemangioendothelioma

•Epithelioid sarcoma

Superficial CD34-positive fibroblastic tumor

PRDM10-rearranged soft tissue tumor

- SAME THING AS 34-POSITIVE FIBROBLASTIC TUMOR!!!

 

•Generally circumscribed

•Atypical cells in sheets and fascicles with glassy eosinophi9lic cytoplasm

•Pleomorphic nuclei

•0-7 MFs/50 HPF

•Inflammatory infiltrate

•Myxoid areas in 7/9

•IHC: Positive: CD34, PRDM10, EMA

•Genetics: PRDM10rearrangement 7/7

 

• Morphologically and clinically indistinguishable

• Both positive for CADM3, CD34

• Often focally positive for keratin and desmin

• Conclusion: same tumor

• All should be called CD34-positive fibroblastic tumor

Pleomorphic Hyalinizing Angiectatic Tumor (PHAT)

 

•Clinical features

•Most common in middle-aged patients

•Slight female predominance

•Most commonly presents as subcutaneous mass of distal lower extremity

•May clinically resemble vascular tumor

 

Microscopic features

•Ectatic thin-walled, hyalinized vessels

•Sheets and fascicles of epithelioid to spindled cells

•Marked nuclear atypia with intranuclear inclusions

•Hemosiderin deposition

•Low mitotic rate

•Variable myxoid areas

•Periphery may have features of hemosiderotic fibrolipomatous tumor

•HLFT and PHAT are related entities

•IHC: CD34+, S100-

•Genetics: TGFBR3and OGA(MGEA5) rearrangements in subset

Pleomorphic Hyalinizing Angiectatic Tumor (PHAT)

Xanthoma c lipid-laden histiocytes and cholesterol clefts

IMT

Inflammatory Myofibroblastic Tumor (IMT)

 

Rare mesenchymal tumor of kiddos and teens, originally described in lung, but also seen in lots of other places (such as omentum and mesentery)

- F > M; asx or pain at presentation c inc ESR, anemia, TBCtosis

- grossly lobular, bosselated or multinodular

 

Micro: variable; usually bland spindle or stellate cells in fascicular or storiform pattern

- stroma can be myxoid, hyaline or both; usually c prominent or sparse lymphoplasmacytic infiltrate c occasional germinal centers

- sparse granulocytic infiltrates

- may have calcifications or metaplastic bone in areas of sclerotic scar-like stroma

 

IHC: (+) actin [has tramtrack pattern from highlighting peripheral cytoplasmic border, vs cytoplasmic positivity in other sm muscle tumors], vimentin, ALK (3/5), CK (var)

- neg: EMA, S100, desmin (2/5+)c

 

Genes: 1/2 have ALK gene rearrangement

- ALK-RANB2 assoc c epithelioid morphology and propensity for aggressive behavior with high metastatic rates

 

Px: borderline malignant potential c local recurrence in up to 1/4 extra-pulmonary tumors; rare mets

Epithelioid Inflammatory Myofibroblastic Sarcoma (EIMS)

 

Rare, aggressive variant of IMT; occur almost exclusively in abdomen; M>>F,

- histo features of IMT like size, necrosis, mits, atypia don't correlate c malignant potenital, but it is the "round cell transformation" that makes it malignant

 

Micro: "round cell transformation" is tumor cells c marked cytologic atypia that makes tumor cells look like ganglion cells or RS cells

- may be round or spindly, nuclei vesicular c prominent nucleoli

- may see atypical mits

- prominent granulocytic infiltrate, less so lymphoplasmacytes

 

IHC: (+) desmin, perinuclear ALK

 

Genes: RANBP2-ALK fusion is characteristic

 

DDx: anaplastic large cell lymphoma, solid variant alveolar rhabdomyosarcoma, epithelioid leiomyosarcoma, dedifferentiated liposarcoma, epithelioid GIST

- considerable overlap in staining patterns (such as cytoplasmic ALK positivity)

 

Px: can be very aggressive; tx c ALK inhibitors under investigation

EIMS

EIMS with perinuclear ALK

Low-grade Myofibroblastic Sarcoma

 

Rare; adults; predilection for tongue

 

Micro: usually fairly bland or cellular, and usually has a little bit of atypia

 

IHC: variable, can be SMA+, diffuse desmin; B-catenin

- neg caldesmon

 

DDx: Desmoid fibromatosis (usually does not diffusely grow through tissue)

 

Px: low metastatic risk, though has high local recurrence rate

Low-grade Myofibroblastic Sarcoma

Plexiform FibroHistiocytic Tumor (PFHT)

 

Dermal / subQ plexiform multinodular prolif of fibrohistiocytic cells c osteoclastoid GCs c chronic inflam

- small slow growing mass MC in UE > LE >> head and neck

- usually in kids / young adults (usually <10 yo); 4 F > 1 M

 

Micro: Deep skin to subQ that spreads down into sk muscle / fat (though overlying skin usually normal)

- Dermal / subQ plexiform multinodular prolif of fibrohistiocytic cells c osteoclastoid GCs c chronic inflam

- nodules/clusters connected by plexiform arrangement

- prominent dilated vessels (more sclerotic than MFH) usually c bleeding / hemosiderin

- vascular invasion in up to 1/5; low mits and no necrosis

 

IHC: Vimentin, CD68 (MNGC and monotypic cells), CD163, SMA

- negative S100, keratin, CD45, Factor VIII, desmin

 

Tx: Exicision

- has low grade malig behavior and can rarely goto lungs

 

Px: up to 40% recur in 2 yrs

- LN mets very rare

 

DDx: cellular neurothekeoma (is NSE+, eg in PFHT), fibrous hamartoma of infancy

 

 

PFHT

Giant cell fibroblastoma

 

Rare fibroblastic tumor of intermed malignant potential in male kiddos that presents as painless nodule

- usually in kiddos and young adults (rarely after 30 yo; was originally though to be ped form of DFSP)

- floret-like GCs and ectatic pseudovascular spaced lined by stromal cells and GCs

- may evolve into DFSP by genetic gains

- upper>lower extremities in deep dermis (subQ tissues)

 

Gross: poorly circumscribed gray to yellow mucous mass

- difficult to excise

 

Micro: dermis and subQ c hyperchromatic spindle or stellate cells in collagenous or myxoid matrix c scattered hyperchromatic multinuc floret-like GCs c prominent nucleoli (like in pleomorphic lipomas)

- ectatic pseudovascular spaces lined by discontinuous row of floret-like GCs and tumor cells

- honeycomb or parallel pattern of infiltration

- often foci of DFSP present

- no histiocytoid cells or mits

 

Cyto: moderately cellular smear c mononuclear cells singly or in clusters

- most cells have scanty cytoplasm, bland nuclei and small nucleoli

- rare MNGCs c bland round nuclei

- no necrosis or mits

 

IHC: (+) vimentin, CD34, CD99, variable actin

- negative S100, CD31, Factor VIII, keratin, desmin, HMB45

 

Genes: t(17,22)(q22;q13) making fusion of collagen 1 alpha 1 gene and PDGF B chain gene

- has supernumerary ring chromosome from t(17;22)

 

Px: 1/2 recur, no mets

 

Genes: evolves into DFSP by gains of COL1A1-PDGFB

Giant cell fibroblastoma c pseudovascular space lined by GCs

Glomus tumor

 

see Blood Vessels

 

Granular cell tumor

 

- akia Abrikossof's tumor, granular cell schwannoma

Usually benign tumor with abundant cytoplasmic granules that classically is on tongue (generally on the head and neck) and can be multiple in blacks and older adult women

- if it looks grossly malignant it's probably an alveolar soft parts tumor

- could be derived from degenerated Schwann cells or sm muscle cells

- may be association with Noonan dyndrome, NF1, and LEOPARD syndrome

 

Gross: hard, ill-defined margins, usually < 5 cm, can ulcerate

 

Micro: non-encapsulated, dermal or subQ-based, poorly circumscribed, infiltrative neoplasms, can be assoc c overlying pseudoepitheliomatous hyperplasia (must avoid dx of SCC)

- has sheets, nests, and cords of infiltrating tumor cells

- clusters of large cells c lots of scattered granules in cytoplasm. small regular granules and large red PAS+ droplets

- assoc c secondary epithelial hyperplasia (pseudoepitheliomatous hyperplasia) that grows near an epithelial surface

- can see stromal elastosis

- Oustulo-ovoid bodies of Milian (enlarged, round, eosinophilic granules with clear halos (eg phagolysosomes)) present

- mits and necrosis usually not present

 

Malignant granular cell tumor

- has nuclear pleomorphism, high NC ratios, spindle cell features, vesicular nucleo with prominent nucleoli, inc mits, and necrosis

 

IHC: (+) S100 (nuc and cyto), acid phosphatase, PAS (highlights diastase-resistant granules), CD68, inhibin, SOX-10, neuron-specific enolase (NSE), MITF, TFE3

- neg:MART1 and HMB-45

 

DDx: alveolar soft parts sarcoma, foreighn body granuloma, granular cell epulis, leiomyoma with granular cell features, melanoma with granular cell features

 

Tx: excision

B, Granular cell tumor demonstrates large cells with small nuclei and abundant granular cytoplasm

Granuloma annulare

 

see Dermatopathology Benign Tumors

Fibrous hamartoma of infancy

Fibrous hamartoma of infancy

 

Solitary, rapid growing movable rare tumor-like condition in skin and subQ of axilla and shoulders in newborn to 2 yo boys (not after puberty) c poorly circumscribed prolif of immature spindle cells in organoid patter and fat and dense fibrocollagenous tissue

 

Gross: poorly circumscribed gray-white c fat, usually <5 cm

 

Micro: pooly circumscribed and organoid c 3 parts:

1. trabecular / stellate 'primitive' (immature) spindle and stellate mesenchymal cells c scant cytoplasm and bland straight or wavy nuclei in myxoid matrix

2. fibrocollagenous tissue made of bland fibroblasts or myofibroblasts in nodules

3. islands of mature fat, overlying epidermis has eccrine changes c hyperplasia, duct dilation, intraluminal papillary formations and suamous syringometaplasia

- no or rare mits

 

Cyto: mod cellularity, adipose tissue frags, clusters of fibroblastic cells, myxoid and colalgenous matrix

- no mits or atypia

 

IHC: (+) vimentin

- negative B catenin

 

Genes: rarely has complex translocations, rarely t(2;3)

 

Tx: Excision

 

Px: B9 but may recur locally

 

Hemagioma  see Vascular pathology

 

Common b9 tumor of kiddos, usually superficial head / neck

- present at birth and expand with growth of child, but regress at puberty

 

Micro: inc vessels lined by monolayer of non-atypical endothelial cells

- may have prominent fatty overgrowth, may be suspecting lipoma at first

 

Capillary Hemangioma

 

Seen in 0.5% of births, can be multiple, grow in first year and fade at 1-3 yo, 3/4 of which regress completely by age 7 yo

 

Micro: Closely packed spindle cells c spaces c little blood

- lumens can be thrombosed or organized, c hemosiderin present 2/2 rupture

- scant fibrous stroma

 

Spindle cell hemangioma (SCH)

 

Found in dermis subQ of distal extremities (hands / feet) of young adults, M=F

- assoc c Maffucci syndrome in small %, also Klippel-Trenaunay syndrome

- single red-blue nodule on presentation

 

Micro: cavernous spaces which are thrombosed or have phleboliths

- some spindle cells have vacuolated cytoplasm

- no cytologic atypia or inc mits

 

Tx: excision; 1/2 recur

Cavernous Hemangioma

 

aka port-wine nevus or nevus flammeus

Present at birth, grows slowly c pt, but never regresses

- if in deep location, can bleed, thrombose and become infected

-- assoc c TBCpenia and intravascular coagulation

- assoc von Hippel Lindau dz (cavernous hemangiomas in cerebellum, brain stem and eye)

 

Micro: large cystically dilated vessels c thin walls

- commonly see intravascular thrombosis or calcification

 

Pyogenic Granuloma

 

- see Blood Vessles

 

 

Hemangioendothelioma

 

see Blood Vessels

 

Hemangiopericytoma (HPC)

 

Rare, controversial (most are either extrapulmonary SFT, monophasic synovial sarcoma or myofibromatosis), dx of exclusion

- probably not a lesion of pericytes (cells around capillaries and venules) except in sinonasal location

 

*** Hypercellular/hypoglycemia, around Pelvis, Ctaghorn ***

 

Slowly growing painless mass in middle aged adults, F>M, MC in deep ST of pelvic retroperitoneum, limb girdle, and head and neck

- assoc c hypoglycemia

 

Gross: well-circumscribed, gray-white to red-brown c fleshy/spongy and hemorrhage, cystic degeneration

 

Micro: uniformly hypercellular (like SFT) c lots of compressed thin-walled branching vessels up to huge, gaping sinusoidal spaces (staghorn)

- cancer cells spindled to round c small pale red cytoplasm, unclear margins and bland vesivular nuclei

- can have lots of fibrosis, hyalinization and myxoid changes

- variable mits and no atypia

 

Cyto: cellular, single and tightly packed clusters of oval to spindle cells bunched around branched capillaries

- uniform nuclei c finely course chromatin and indistinct nucleoli

- no mits or necrosis

 

IHC: (+) CD99, bcl2, vimentin, CD34 (var/weak/focal), reticulin (surrounds cells)

- negative EMA, Factor VIII, CD31, trichrome, actin, desmin

 

Genes: 12q13-15 sometimes

 

Px: Up to 1/2 mets to liver, lung and bone

- 86% 5 yr survival

- 7/10 have b9 behavior; worse c inc mets, necrosis large size and nuclear pleomorphism

Angiosarcoma

 

see Vascular Pathology

 

Kaposi Sarcoma

 

see Vascular Pathology

 

 

Pseudomyogenic hemangioendothelioma - from JAMA derm

http://jamanetwork.com/journals/jamadermatology/fullarticle/1679361

Pseudomyogenic hemangioendothelioma

Plump, epithelioid cells arranged in sheets and ill-defined fascicles (inset). Neutrophils are also evident (inset) (from Caballero Arch Pathol Lab Med 2020)

Pseudomyogenic Hemangioendothelioma (PMH / PHE)

 

- has also been called Epithelioid-Sarcoma Like Hemangioendothelioma (ESLH)

MC in young adult males on the limbs, lower > upper, >50% multifocal, can be of soft tissue or bone origin

- 2/3 have distinct presentation as multifocal nodules involving multiple tissue planes (dermal, subQ, subfascial, and/or interosseous)

 

Gross: ill-defined, multifocal, with white-to-brown cut surface, usually bwt 1-3 cm

 

Micro: vesicular nuclei c small nucleoli and lots of eosinophilic cytoplasm, distributed in discohesive fashion or in loose fascicles or sometimes sheets within tumor nodules

- infiltrative borders, has fascicular pattern made of sheets and loose fascicles of plump spindle or epithelioid cells with eosinophilic cytoplasm (mimicking rhabdomyoblasts)

- tumor cells with vesicular nuclei, often with small nucleoli

- nuclear atypia is mild, and mits are scarce

- 1/2 of cases show prominent stromal neutrophils

 

DDx: unlike EHE, PMH rarely has intracytoplasmic vascular lumens

- rhabdomyosarcoma (PMG negative for desmin/myogenin)

 

IHC: (+) AE1/AE3, ERG, FLI1, CD31 (50%), smooth muscle actin (1/3), FOSB (96%%)

- neg: Pan-CK, EMA, S-100, CD34 and desmin

 

Genes: t(7;19)(q22;q13) SERPINE1-FOSB fusion

- SERPINE1 encodes plasminogen activator inhibin-1, which is highly expressed in endothelial cells

- FOSB encodes a transcription factor in the FOS family that is part of the Activating Protein 1 (AP-1) complex

 

Px: True mets are infrequent

- 60% have local recurrence usually in 1-2 years (no relation bwt margin status and recurrence rates)

 

Reference:

Caballero G. Pseudomyogenic Hemangioendothelioma (Epithelioid Sarcoma-Like Hemangioendothelioma). Arch Pathol Lab Med 2020; 144:529-533

Table differentiating PMH from Epithelioid Hemangioendothelioma, Epithelioid Angiosarcoma, and Epithelioid Sarcoma (from Caballero, Arch Pathol Lab Med 2020)

 

Leiomyoma

 

Bland / b9 sm muscle tumor w/o mits, usually arises in uterus (MC neoplasm in women [in ~8/10])

- can arise in erector pili muscle of skin, nipples, scrotum and labia, where they are called pilar leiomyomas

 

Micro: bundles of fascicles of spindle cells c eosinophilic and possibly fibrillary cytoplasm that intersects at right angles

- nuclei blunt-ended and elongated c fine chromatin, no nucleolus, variable cytoplasmic vacuoles

- minimal atypia, few mits, no necrosis

 

IHC: (+) desmin, alpha- SMA, h-caldesmon, calponin, MSA, myosin

- negative CD117, CD34, S100, low Ki-67

 

Genes: syndrome of Hereditary leiomyomatosis and renal cell cancer syndrome assoc c AD germline loss-of-function mutation in fumarate hydratase gene on cr 1q42.3

- fumarate hydratase is in the Krebs cycle

 

Cutaneous Leiomyoma

 

Small, superficial multiple painful lesions derived from arrector pili muscles

- aka cutaneous piloleiomyoma

- may be 2/2 hereditary leiomyomatosis and RCCa syndrome or assoc c germline mutations in fumarate hydratase gene

 

Tx: avoid cold, possible nifedipine, nitroglycerine, botulinum toxin (to block sm muscle contraction)

Angioleiomyoma

 

Very common, B9 painful, slow growing round lesion in subQ or deep dermis in lower limbs or head / neck (depending on subtype) of older adults

- sm muscle and vessels derived from sm muscle of blood vessels w/o elastic fibers

- On the morphologic spectrum c myopericytoma and myofibroma

- painful esp in cold weather 2/2 stretching of nerves in tumor capsule or release of mast cell mediators

 

Gross: firm, well-circumscribed c gray nodules; avg <2 cm

 

Micro: well circumscribed fascicles of mature sm muscle cells with blunt ended nuclei and eosinophilic cytoplasm surrounding vascular lumina lined by normal appearing endothelium but w/o elastic lamina present

- can have hyalinized, thick-walled BVs in which tumors grow

- no hemorrhage, necrosis, mits, vasculitis, fibromuscular dysplasia

-- can have degenerative atypia and rare mits

 

Subtypes:

- solid: closely compacted thick matrix of sm muscle bundles that compress vascular spaces; in lower extremities of females

- venous: thick muscular walled vessels that merge c sm muscle bundles; in head and neck of males

- cavernous: dilated vascular channels c minimal sm muscle that blends in c sm muscle bundles

 

Cyto: sparse to moderate cellularity c uniform spindle cells c sm muscle cells and fragments of collagenous tissue in varying proportions

- occasional macros, lipocytes and ganglionoid cells

 

IHC: (+) SMA, desmin, myosin, trichrome, HHF35, calponin, h-caldesmin, cinmentin, type IV collagen, S100 in small nerve fiber

- negative HMB45, ER

 

Tx: Excision; no recurrence

Angioleiomyoma

Angioleiomyoma

Leiomyosarcoma

 

SM tumor c atypia and either mits, necrosis or size >10 cm

- comprise 10-20% of adult ST tumors; 2/3 occur in retroperitoneum; 2F>1M; older adults

Usually found in extremities or retroperitoneum

- deadly form can occur in vessels, esp inferior vena cava

 

Micro: fascicular growth pattern, tumor merges c vessel walls, pallisading, can have staghorn / HPC-like vessels

- spindle cells c eosinophilic fibrillary cytoplasm, focal granularity, cigar-shaped nuclei which can be fairly well-separated c variable atypia, may have a vacuole at one end of the nucleus, causing an indentation

- mits common, infiltrates (usually) into adjacent tissue; individual cells surrounded by basal lamina

- if no / few mits, dx as tumor of Uncertain Malignant Potential (UMP)

- MNGCs common

 

IHC: (+) SMA (90%), and desmin, h-caldesmon (pretty specific, except GISTS are h-caldesmon pos)

- negative: myogenin, myo-D1

 

DDx: Rhabdomyosarcoma with leiomyosarcoma-like features (should especially consider this lesion when in the head / neck) - geta a myogenin stain!!

 

Tx: excise c clear margins

 

Px: dermal tumors have better px than retroperitoneal or deep tumors; poor px in skin if involves subcutaneous tissue (recurrence and mets more likely)

- grade is important for the px in this tumor

- commonly mets to lung

Cutaneous Leiomyosarcoma

 

MC in head / neck or extremities of white men 40-60 yo in USA

- can be derived from arrectores pilorum muscle (if dermal; indolent) or vessel walls (if subQ; may met)

 

Micro: intersecting fascicles of brightly red spindle cells c ovoid / cigar-shaped nuclei

- pleomorphism and mits common

 

IHC: (+) SMA, MSA, vimentin, calponin;  desmin (var), Cam5.2 (var), caldesmon, myosin and keratin

 

Tx: Excision (narrow margin if low-grade, wider if high-grade / subQ)

 

DDx: Rhabdomyosarcoma with leiomyosarcoma-like features (should especially consider this lesion when in the head / neck) - geta a myogenin stain!!

 

Px: can met

Leiomyosarcoma c HPC-like / staghorn vessels

Epithelioid Leiomyosarcoma

 



Micro:  epithelioid round/polygonal cells with eosinophilic to clear cytoplasm arranged in sheets. Mild to moderate nuclear atypia and tumor cell necrosis are present. Mitotic rate is high.

 

IHC: Leiomyosarcoma are usually positive for smooth muscle

actin (SMA), muscle specific actin, desmin, h-caldesmon, and smooth muscle myosin heavy chain. Of note, h-caldesmon and smooth muscle myosin heavy chain are less sensitive than actin and desmin. The immunophenotypic profile of leiomyosarcoma varies depending on its origin, however. For example, leiomyosarcoma of vascular origin are often desmin negative and h-caldesmon positive. Aberrant keratin

expression is commonly seen, and CD34 and EMA can also be expressed. It is important to remember that dedifferentiated liposarcoma can undergo leiomyosarcomatous differentiation; therefore, an MDM2 immunostain should be ordered to ensure this diagnosis is ruled out, as the management differs.

Epithelioid leiomyosarcoma

EBV-associated smooth muscle neoplasm

(EBV-SMT)

 

Majority of pts are posttransplant or HIV patients

- thought to be derived from aberrant myogenous venous wall cells

- immunosuppressed children usually have a shorter interval to develop EBV-SMT than adults

- may be multifocal which is thought to be due to infection rather than mets

- can be sub-classified as leiomyoma, tumor of uncertain malignant potential or leiomyosarcoma (although morphology does not predict behavior - thus may classify all as uncertain malig behavior)

- generally indolent

 

Micro: well-diff smooth muscle tumor c mild nuclear pleomorphism

- no or inconspicuous mits

- freq round cells and prominent intratumoral T lymphs

 

Tx: can resect, reduce immunosuppression, use anti-virals or chemo

EBV-SMT, with EBV ISH

Hibernoma

 

Rare lipoma of young adults (35 yo) c prominent brown fat MC in axilla, back, mediastinum, shoulder; has several variants

- can produce steroid hormones; cannot be malignant

*** Brown fat helps to keep you warm when Hibernating!!!***

 

Gross: yellow/brown circumscribed mass

 

Micro: organoid uniform large cells that looks like brown fat c coarsely granular to multivacuolated red cytoplasm, small central nucleus without atypia, and some white fat in there

- vacuoles are small and stain for neutral fat

- subtypes: classic, lipoma-like, myxoid, spindle cell

 

Cyto: Small round brown fat-like cells c uniform small cytoplasmic vacuoles and revular small round central nuclei c prominent nucleoli

- delicate branching capillaries, variable mature lipocytes

 

IHC: (+) S100, oil red O and sudan black, CD31

- negative CD34, p53

 

Genes: 11q13-21 rearrangements (also in lipoma and liposarcoma)

 

Tx: Excision (recurs if not complete)

from Histopathology-india.net

Fat necrosis

 

May be due to trauma

- may see lipocytic atypia

 

 

 

 

 

 

 

 

Fat necrosis of breat, from Webpathology.com

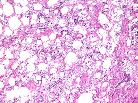
Lipoma

 

B9 tumor of mature white fat cells; MC mesenchymal / ST tumor (16% of all mesenchymal lesions) seen in thorax of obese adults over 40 yo with no gender or race preference

- 100x more common than liposarcoma

- are stable after initial growth period (don't regress even c starvation); are hard if ice is applied

 

Gross: homogenous greasy yellow fat c thin fibrous capsule

- size does NOT determine whether malig or not

 

Micro: mature fat cells wo atypia, though have more size variation than normal adipocytes

- can have fat necrosis c bone/cartilage

- no mits

 

IHC: (+) Vimentin, S100, CD34, leptin, PAS

 

Genes: up to 3/4 c HMGA2/HMGIC rearrangement at 12q13-15

 

3 genetic groups:

HMGA2 gene rearrangement

Loss of material from 13 (in mostly spindled lesions)

- HMGA1 rearrangement chr 6p21-23

 

Chondroid lipoma - C11orf95/MKL2 [t(11;16)(q13;p12-13)]

 

Tx: excision, rarely recur

Lipomatoses

 

Vertical and horizontal involvement by lipoma, in three planes

 

Madelung (Mediterranean): ETOH, obesity, posterior neck /shoulders distribution

 

Pelvic Symmetrical (African): ureteral obstruction, hypertension

 

Extremity lipomatosis: Infants

Madelung

Angiolipoma

 

Very common tumor in subQ, small, well-circumscribed subQ nodule c mature fat cells, clustered thin walled vessels and fibrin thrombi

- seen right before puberty or in young adult males (late teens to early 20's)

- MC in volar aspect forearm or chest wall

- painful (esp in initial growth period), usually c multiple subQ nodules

- 5% familial

 

Gross: encapsulated, small (2cm) yellow-red nodule in subQ

 

Micro: mature adipocytes, clusters of branching capillaries and thick walled vessels c pericytes, particularly at periphery

- hyaline  / fibrin thrombi are an important diagnostic sign

- mast cells present

 

Genes: almost always normal karyotype

 

Tx: excision

- no recurrence or mets

Angiolipoma with fibrin thrombi

Chondroid Lipoma

 

Rare, b9 fatty tumor seen in subQ or deep ST in limbs and limb girdle of adult women, in 3-4th decade of life

- can be mistaken for myxoid liposarcoma or chondrosarcoma

 

Imaging: heterogeneous ST mass, somewhat different than lipoma; may be FNA'd

 

Gross: well-demarcated, often encapsulated, yellow, white or pink

- ranges from 1-11 cm (~4 cm avg), can be superficial to deep or in muscle

 

Micro: lobular pattern, c strands and nests of round cells in myxochondroid or hyalinized fibrous background with mature fat

- multivacuolated cells predominate

- no mits

- can have few or many mature adipocytes

- ECM c extensive myxoid and can have areas of hyalinization or fibrin deposition looking like serous atrophy of fat

- most are vascular c thick-walled BVs and cavernous thin-walled vascular spaces

 

IHC: (+) S100, CD68 (focally in vacuolated tumor cells)

 

Genes: balanced t(11;16)(q13;p12-13) involving fusion of C11orf95 and MLK2

 

Px: b9, do not recur with complete surgical excision

Chondroid lipoma

Myolipoma

- aka extrauterine lipoleiomyoma

 

Rare, prolif of mature fat and mature sm muscle

- MC in 6th decade, F>M, in retroperitoneum, abdomen, pelvis, inguinal region, extremities; presents as painless mass, can be large if found deep

 

Gross: completely or partially encapsulated, glistening white yellow surface, can be gray if lots of sm muscle

 

Micro: mix of mature fat cells and bundles of well-diff sm muscle

- no nuclear atypia

- sm muscle component interspersed bwt fat, c sieve-like appearance at low power; or in short interweaving fascicles

- may have prominent stromal sclerosis or chronic inflam

 

Px: No recurrence or mets

Myolipoma

Pleomorphic / spindle cell lipoma

Pleomorphic lipoma

Pleomorphic / Spindle cell Lipoma

 

Common, SubQ/superificial tumor of shoulder/back/posterior neck c mature fat cells, bland spindle cells, floret cells and collagen

- older (45-65 yo) adult males

- when it occurs in females it is more common in extremities

 

Any lesion in the subQ in the upper back of a middle aged to elderly male is a spindle cell / pleomorphic lipoma until proven otherwise

- never dx this in a deep-seated lesion (is a recipe for disaster - so never do it!!)

 

Gross: avg 4 cm, well-circumscribed, harder than usual lipoma

- gray-white gelatinous foci, which are areas of inc cellularity

 

Micro:  Variable appearance c variable amts of mature adipocytes, dense collagen and floret giant cells and small round hyperchromatic cells (no / rare lipoblasts or prominent vascularity)

- cells usually in short parallel bundles, although can be more haphazardly arranged

- has characteristic ropey collagen bundles bwt bland spindle cells

- bland spindle cells c wispy eosinophilic cytoplasm in short fascicles c occasional pallisading

- no storiforming, lipoblasts, or inc mits

- pseudoangiomatous variant c irregular branching spaces c well-formed CT projections

- typical multinucleated floret-like giant cell has wreath-like arrangement of hyperchromatic nuclei around a deeply eosinophilic cytoplasm

 

IHC: (+) CD34, S100

 

Genes: 16q abnormality, frequently c loss of 13q14-22 which encodes the RB1 locus

 

Differential diagnosis

•Solitary fibrous tumor

•Myxoid DFSP

 

Tx: Excision, rarely recur

low-fat spindle cell lipoma

Lipoblastoma

 

Tumor of infancy, in first decade of life, M>F, MC in trunk and upper and lower extremities as painless nodule or mass

- can be well circumscribed (benign lipoblastoma) or diffuse (diffuse lipoblastomatosis) -- circumscribed form is MC; diffuse type recurs

- may be assoc c neurologic probs if compresses certain structures

 

Gross: paler than usual lipoma; usually 3-5 cm

 

Micro: irreg small lobules of immature fat cells separated by CT septa of varying thickness and mesenchymal areas c loose myxoid appearance

- individual lobules have lipoblasts in different stages of development, from stellate, primitive and spindle shaped mesenchymal cells (preadipocytes) to nearly mature adipocytes

 

Genes: 8q11-13 rearrangement, including the PLAG1 gene

Liposarcoma

 

MCC soft tissue sarcoma in adults (1/5); usually >40 yo

- found deep in tissue, but not in muscle or in the neck

- grossly are well-circumscribed but not encapsulated

 

3 subtypes: Well- and dedifferentiated liposarcoma (WDLPS/DDLPS), Myxoid and round cell liposarcom (MLS and RCL); Pleomorphic liposarcoma

- differentiating bwt atypical lipomatous tumor and well differentiated liposarcoma depends on whether the lesion can be completely resected: well-differentiated liposarcoma cannot be completely resected bc it is in a difficult area (retroperitoneum or pericardium) whereas the atypical lipomatous tumor can be completely resected and will be in the extremities or other easily accessible area

 

Atypical Lipomatous tumor (ALT)

ALT is the preferred WHO 2013 name for well-differentiated liposarcoma if the tumor occurs in the extremities because it is a locally aggressive adipocytic neoplasm with no potential for mets

- often large (>10 cm), rare in pediatric pts

- Well-differentiated liposarcoma is ok if in retroperitoneum (bc tend to be more well-differentiated when found there)

- defining genetic feature is presence of rings or giant markers of chromosome 12 that contain amplification of 12q14-15 region

 

Histo: lipoblasts (small fetal fat cells c clear cytoplasmic vacuoles c chromatin spike into or between vacuoles) are pretty specific

 

IHC: (+) S100 in lipoblasts, CD34 in spindle cells, p53, calretinin

 

Gene: 12q13-15 in form of giant marker and supermumerary ring chromosomes that have cell cycle regulatory genes MDM2 and CDK4

 

Tx: excision, margin status has large implications on clinical outcome

 

Px: depends on histo grade and tumor size

- shows high potential for recurrence (esp after incomplete resection), although no metastatic potential

Atypical lipomatous tumor. There is a highly atypical large stromal cell with hyperchromatic nuclei that is also multinucleated. There is a lipoblast that has sharply marginated cytoplasmic vacuoles scalloping the large and hyperchromatic nucleus (hematoxylin-eosin, original magnification340).

Pleomorphic Liposarcoma

 

M>F, older adults, retroperitoneum and extremities

 

Histo: similar to MFH, has pleomorphic lipoblasts

- sheets of lipoblasts that can resemble endocrine ca

- usually high-grade, tumor necrosis common

 

Genes: highly complex karyotype

 

DDx: can look like UPS

 

Px: 60% 5-yr survival

Pleomorphic liposarcoma

Dedifferentiated Liposarcoma

Occurs in 1/10 well-differentiated liposarcoma, usually in retroperitoneum or deep extremities of older adults

- dedifferentiated portion more likely to be found in mets

- should rule out this lesion in any retroperitoneal sarcoma

- grossly is large firm mass

 

Histo: abrupt transition bwt well- and dedifferentiated parts

- dedifferentiated part is hypercellular  c 5+ mits/10 hpf and may look like and MFH

- can have widened septa

 

Cyto: hypercellular c MNGCs and small groups of cells c inc N/C, also see spindled cells c stretched out nuclei

 

IHC: (+) MDM2, CK4, vimentin, p53, Rb, PPAR-gamma, can be CD34 (+) in well-differentiated component

- negative keratin (r/o sarcomatoid ca), desmin (r/o rhabdo / poorly differentiated leio), S100 (r/o melanoma)

 

Genes: (+) MDM2 and CDK4 amplified, which reside in the 12q12-15 region (from supernumerary ring or giant chromosome)

 

Px: recurs in up to 3/4, mets in 3/20 and death in 1/2

- worst px if located in retroperitoneum (site is most important px factor)

- 65% 5-yr survival in dedifferentiated liposarcoma

Dedifferentiated Liposarcoma [4]

Lipoblast c indented nucleus in dedifferentiated liposarcoma

Dedifferentiated part

Myxoid Liposarcoma

2nd MCC liposarcoma; Low-grade c primitive non-lipogenic interstitial cells, signet ring lipoblasts, branching vascular, myxoid stroma

- 4th to 5th decade in lower extremities

 

Micro: paucicellualr c monomorphic  spindly cells. no atypia, chicken-wire vasculature, lots o signet ring lipoblasts, rarely metaplastic cartilage, no mits

 

Genes: t(12;16)(q13;p11) which fuses CHOP (aka DDIT3) on cr 12 c FUS gene on cr 16

- FUS gene has affinity for steroids, thyroid and retinoid receptors

 

IHC: (+) Vimentin, S100 (in fat and lipoblasts), CD34

 

Px: met % related to amount of round cell differentiation, worse if >5%

- the type of DDIT3/FUS fusion doesn't really matter for px

Myxoid liposarcoma

Low-grade Fibromyxoid sarcoma (LGFMS)

 

- aka Evan's tumor (hyalizing spindle tumor with giant rosettes)

 

Low-grade sarcoma c fibrous and myxoid areas, whorled growth pattern, low cellularity, bland fibroblastic cells and curvilinear or arcuate vessels

 

LGFMS closely related to sclerosing epithelioid fibrosarcoma (SEF, which have same translocation t(7;16)9q33;p11), both express MUC4, and sometimes intermixed histology)

- Slow-growing painless mass seen in trunk and deep tissue of  extremities of middle-age adults (avg 34 yo) c slight male predominance

 

Micro: Pink overall (hence "fibro" first), moderately cellular c bland fusiform / spindled cells c whirling in heavily collagenized stroma that intermingles with myxoid areas (myxoid areas have slightly inc cellularity)

- 1/2 have epithelioid areas, 1/2 have large collagen rosettes

- usually infiltrates adjacent sk muscle

- inc cellularity and mits c recurrence

- do not have Fibrous Septa (FS) vs myxofibrosarcoma (MFS)... so theres a hint in the name, no FS in FMS ...

 

Cyto: cellular c spindle cells c scant wispy cytoplasm, uniform elongated nuclei, small conspicuous nucleoli in myxoid background (cannot dx based solely on cytology)

- no significant nuclear pleomorphism or mits

 

IHC: (+) MUC4 (highly sensitive and specific), CD99, bcl2, EMA, vimentin

- negative S100, desmin, keratin, CD34, MDM2, SMA,

 

Genes: t(7;16)(q32-34;p11) FUS-CREB3L2 fusion in 9/10 cases, or has t(11;16)(p11;p11) FUS-CREB3L1 fusion (more rare)

 

Tx: excision c wide margins

- can resect pulomary mets

- long clinical f/u

 

DDx: Perineurioma, DFSP,

 

Px: 1/2 get mets and 1/2 die from the dz

- having some high-grade sarcomatous areas doesn't affect px

- smaller tumors may have better px

Low-grade fibromyxoid sarcoma

Low-grade fibromyxoid sarcoma (LGFMS). A and B, LGFMS exhibits alternating fibrous and myxoid areas and mucin 4 (MUC4) expression (C) (hematoxylin-eosin, original magnification x100 [A and B]; original magnification x100 [C]).

LGFMS

LGFMS MUC4

Sclerosing epithelioid fibrosarcoma (SEF)

 

Closely related to LGFMS

, both have same translocation t(7;16)9q33;p11), both express MUC4, and sometimes intermixed histology)

- Slow-growing painless mass seen in trunk and deep tissue of  extremities of middle-age adults (avg 34 yo) c slight male predominance

 

Micro: SEF has small, uniform, round/ovoid nuclei and eosinophilic or clear cytoplasm, lack of atypia, and sometimes mimic metastatic lovular ca of the breast

 

IHC: (+) MUC4

- neg: cytokeratins

 

Genes: t(7;16)(q32-34;p11) FUS-CREB3L2 (sometimes present)

Sclerosing epithelioid fibrosarcoma

A, Sclerosing epithelioid fibrosarcoma shows cytologically atypical cells in the background of

collagenized stroma.

Myofibroma / Myofibromatosis

 

B9 solitary (myofibroma) to multicentric (myofibromatosis) cancer of myoid cells c thin-walled blood vessels, the MC fibrous tumor of infancy (mostly congenital), esp in head and neck of males that show up as a painless, mobile purple macule (like a vascular lesion, can be fixed [non-mobile] if deep) [2]

- on morphologic continuum with myopericytoma and infantile hemangiopericytoma

 

Gross: median 2.5 cm firm fibrous grayish c central caseoid necrosis

 

Micro: nodular c peripheral zone (short myoid fascicles/whorls/nodules c gemistocytic myofibroblasts that have pale pink cytoplasm and long tapering nuclei; no atypia/pleomorphism) and central zone (bwt peripheral myoid nodule c more hypercellular round/polygonal/spindle cells c little cytoplasm, dark nuclei around thin-walled branching ectatic hemangiopericytic vessels and can have necrosis, calcification, hyalinization, but low mits)

 

IHC: (+) vimentin, SMA (in central/myofibroblastic part)

- negative S100, cytokeratin, desmin, EMA

 

Tx: conservative excision; chemo if multiple lesions

 

 

Myofibroblastoma

Myofibroma - solitary cutaneous lesion features zones of fibrous tissue c bundles of myofibroblasts and prominent thin-walled vessels

Myofibroma - Biphasic c immature cells in HPC pattern and bundles of myofibroblastic cells

Myxoinflammatory fibroblastic sarcoma (MIFS)

- aka Acral Myxoinflamatory fibroblastic sarcoma (AMIFS) [?]

 

Typically in lower extremities

 

Micro: epithelioid fibroblasts c macronucleoli mimicking virocytes or Reed-Sternberg cells and a prominent mixed inflam infiltrate in variably myxoid stroma; can see Touton-type giant cells

 

IHC: (+) SMA, CD34

 

Genes: TGBFR3-MGEA5 t(1;10)(p22;q24)

 

MIFS

Myositis ossificans circumscripta

- aka posttraumatic myositis ossificans

 

- called panniculitis ossificans if in subQ

Mass of organizing blood, immature bone and prolif fibroblasts surrounded by shell of mature trabecular bone

- often is a rxn to trauma in the extremity muscles of younger athletes

- rarely assoc c malignancy, but can be confused c malignancy

 

Can look scary (like a sarcoma) if bx'd too soon after inciting event; look for a row of active osteoblasts on the trabecular surface!

- later the blood gets sequestered into middle of lesion

 

Micro: early - inner cellular zone resembling nodular fasciitis c short fascicles or haphazard fibroblasts that are uniform c faint eosinophilic cytoplasm, tapering processes, vesicular or finely granular nucleo and variable nucleoli, usually lots o mits (but none atypical); stroma is vascular myxoid or edematous c extravasated RBCs, fibrin, scattered inflam and osteoclast-like GCs; if highly cellular can mimic sarcoma or osteosarcoma

- NO ATYPICAL MITS (atypical mits = malignant)

- later lesions have mature bone c formation of marrow and myofibroblasts that are less prominent

 

Px: completely b9, self-limiting process

Myositis ossificans

(Intramuscular) Myxoma (IM)

 

Rare, slow growing benign tumor in 40-70 yo, F>M, b9 jellioid like Whartons jelly

- deep in muscle of extremities [2]

- if multiple, assoc c Carney complex

- Mazabraud syndrome: multiple myxomas with fibrous dysplasia

- McCune syndrome: multiple myxomas c cutaneous hyperpigmentation and endocrine problems

 

Micro: lots of mucin, hypocellular and hypovascular, bland spindle cells that are spaced apart

- can have mucophages but no lipoblasts [3]

- often infiltrates adjacent skeletal muscle

- no atypia, mits, or necrosis

 

IHC: (+) vimentin, focally SMA and CD34

- negative desmin and S100

 

Genes: GNAS1 mutation (as in fibrous dysplasia of bone, explains McCune Albright??)

 

Tx: Excision

Intramuscular myxoma

Intramuscular myxoma

(A) Myxoma,                      (B) cellular myxoma

Juxta-Articular Myxoma (JAM)

 

benign soft tissue tumor that shows histologic similarities to intramuscular myxoma but lacks the GNAS mutations recently identified in intramuscular myxomas

 

Micro: low power, the sections show a tumor with a multinodular growth pattern composed of pale myxoid areas alternating with pink fibrous areas. On higher power, the myxoid areas are hypocellular and hypovascular. The pink fibrous areas are more cellular and show a slightly greater prominence of vessels, some of which show perivascular hyalinization. Arcuate or curvilinear vessels are absent. Scattered areas of cystic myxoid degeneration are also present

 

IHC: may express CD34 but is negative for MUC4, nuclear beta-catenin, S100, and desmin

 

Px: B9, but can recur if incompletely excised

JAM

Myoepithelioma

 

Dermal based lesion

 

Micro: Cells constituting myoepithelial tumors constitute range of morphology, including epithelioid, histiocytoid, plasmacytoid or spindled with little matrix in background

 

IHC: (+) Myoepithelial markers (S100, GFAP), muscle markers (calponin, SMA, desmin), keratin, EMA, SOX10

A, Myoepithelioma exhibits nests of

myoepithelial cells in a chondromyxoid stroma

B, Myoepithelial carcinoma shows significant cytologic atypia, frequent mitoses, and calponin expression

Myoepithelial carcinoma of soft tissue

 

Has wide morphologic spectrum, typically c tumor cells in nested, reticular and trabecular growth patterns c prominent myxoid stroma

- tumor cells spindled to epithelioid

 

IHC: can express myoepithelial markers S-100, GFAP, keratins, EMA, calponin, SOX10

- neg desmin and CD34

- up to 1/2 have loss of INI1/SMARCB1 (similar to epithlioid sarcoma)

 

Genes: EWSR1 gene rearrangement common

 

Myoepithelial ca of soft tissue

Myxofibrosarcoma (MFS)

 

-aka Myxoid Malignant Fibrous Histiocytoma (Myxoid MFH)

Common (one of the MC sarcomas in older adults), on the specturm of malignant fibroblastic lesions c myxoid stroma, pleomorphism and curvilinear vessels [2]

 

Arise in (L>U) extremities of older adults, attached to fascia of large muscles or more superficial, can have infiltrative and multinodular growth pattern

- never has been dx'd in a visceral lcation (anything in abdomen dx'd as a MFS is a dediferentiated liposarcoma)

 

Micro: lots of mits, has reddish lipoblastoid cells (though they are not true lipoblasts [vs myxoid liposarcoma, lipoblast are clear])

- distinctive vascular pattern of prominent elongated curvilinear thin-walled vessels and tumor cells mimic lipoblasts ("pseudolipoblasts", as described)

- also has curvilinear thin-walled vessels and enlarged atypical cells c hyperchromatic nuclei

- need to have lower grade areas

- have Fibrous Septa (FS) in MFS, but not in FMS (there the 'F' and 'S' are not next to eac hother)

 

IHC:

- neg MDM2 and CDK4

 

Genes: Have highly complex karyotypes

 

Tx: Excise, chemo if mets

 

Px: High rates of recurrence, mets (esp if >5 cm and deep, or high grade [mets not seen in LG]) [2]

- very infiltrative, making it hard to completely resect

MFS

(E) low-grade MFS                   (F) High-grade myxofibrosarcoma

Extraskeletal Myxoid Chondrosarcoma

- see Bone and Joint for more on Chondrosarcomas

Rare, painless intramuscular tumor in men in 6th decade in deep proximal extremities (esp thigh)

 

Gross: circumscribed (fibrous pseudocapsule), nodular, myxoid inside

 

Micro: Cords of nests of cancer cells in mucous, can be hypocellular,  hypercellular (c slightly inc mits), have rhabdoid features (when INI1 negative)

- cancer cells are round/spindly and uniform with dark uniform nuclei and red cytoplasm

- hypovascular and lacks well-developed hyaline cartilage

 

IHC [2]: (+) Vimentin (90%) S-100 (half), CD117 (1/3), synapto and EMA and CD57/ Leu-7 (variable), loss of INI1 (if has rhabdoid features,

- negative: keratins, EMA

 

Genes: t(9:22)(q31;q12.2) EWSR1-NR4A3 translocation MC, also t(9;17)(q22;q11) TAF15-NR4A3

 

Px: half met (esp late in dz), half recur

- 3/4 10-yr survival

Extraskeletal myxoid chonrosarcoma

Ischemic Fasciitis

 

"Nursing home lesions". Painless pseudosarcomatous fibroblastic prolif in ST overlying bony prominences subject to intermittent pressure-induced ischemia (similar to decubitus ulcer)

- occurs primarily in immobilized and physically impaired pts (bedridden, wheelchair bound) c mean age of presentation 70-90 yo, tho may occur in younger non-debilitated pts

- presents as painless mass slowly growing over 3 wks to 6 mo

 

Gross: Usually 1-8 cm, often myxoid, usually involves deep subcutis, can be in sk muscle and fascia

- ulceration is uncommon

 

Micro: zonal pattern of central fibrinoid necrosis c uneven borders staining deep red / violet and prominent myxoid areas surrounded by ectativ thin-walled vessels and proliferating fibroblasts (trying to fix the avascular area)

- endothelial cells may be atypical

- variable mits

- fibrin thrombi are common in BVs, which can show fibrinoid necrosis and recanalization but no true vasculitis

- can have multivacuolated macrophages in myxoid areas mimicking lipoblasts

- zombie cells are hypoxic fibroblasts devoid of oxygen

 

IHC: (+) vimentin, actin, CD68, CD34 (var, in large fibroblasts)

- neg: keratin, S100, desmin

-- MDM2 and CDK4 can be positive, don't be fooled into thinking this is a liposarcoma!

 

Tx: local excision is curative, though may recur

 

Ischemic Fasciitis

Nodular fasciitis - gently curving C and S shaped fascicles of myofibroblastic cells showing a "torn Kleenex" pattern

Nodular fasciitis - focal infiltration into fat, c evenly distributed granulation tissue - like throughout the lesion

Nodular fasciitis, look for myxoid cystic degeneration

Nodular Fasciitis

 

Small, but rapidly growing mass on flexors of upper extremities of young adults [40 yo] that can appear malignant [1]

- self-limited fibroblastic and myofibroblastic prolif in upper extremities of young adults, arising in the deep dermis, subcutis or muscle and is circumscribed or slightly infiltrative

- 1/4 have hx of trauma

- usually not >5 cm

- Pathognomonic clinical course is that it starts as a rapidly growing solitary and painful nodule (1st 3 mo), and eventually spontaneously regresses without surgical intervention

 

Micro: Myxoid cystic degeneration helps a lot in making the diagnosis. Should have some trapped collagen between tumor cells (versus leiomyoma). Richly cellular c plump immature looking fibroblasts and myofibroblasts in random or short fascicles that look like tissue culture fibroblasts

- gradient of maturation (zonation) from cellular, loose and myxoid to organized and fibrous is typical

- cells are pleomorphic, from spindly to stellate, and nearly all cells have conspicuous nucleoli

- lots of mits

- lymphs and extravasated RBCs are common, but neuts unusual

 

Usually gradient with hypocellular central region and hypercellular periphery

 

IHC: (+) SMA (tram-track pattern, typical of myofibroblasts), calponon,

- neg: CD34, nuclear B-catenin, desmin, caldesmin, S100

 

Genes: t(17;22) producing MYH9-USP6 fusion gene indicates clonality (same as Aneurysmal Bone Cyst)

 

Px: B9, resolves spontaneously

 

Intravascular fasciitis - similar to nodular fasciitis but grows in vessel

- can see sheetlike arrangement of cells

- may also see giant cells (also in nodular fasciitis)

 

nodular fasciitis - tissue culture appearance

Proliferative fasciitis

 

SubQ or fascial prolif similar to nodular fasciitis, but c large basophilic cells resembling ganglion cells

- histologically same as proliferative myositis, but not located in muscle

- usually in adults (~50 yo), grows rapidly, but has b9 behavior

- there is a childhood variant

 

Micro: resembles nodular fasciitis 2/2 zonation effect, tissue culture type growth and plump fibroelastic and myofibroblastic spindle cells, but has large ganglion-like cells c abundant amphophilic to basophilic cytoplasm, round vesicular nuclei and prominent nucleoli

- ill-defined margins

- stroma is collagenous or myxoid, often c focal myxoid cystic degeneration

- grows along septa

- often arborizing vascular pattern

- variable mits, but no atypical mits

 

Tx: local excision

Proliferative fasciitis

Proliferative fasciitis with ganglion-like cells

Proliferative myositis

 

Infiltrative poorly demarcated intramuscular mass resembling nodular fasciitis but c large basophilic cells resembling ganglion cells

- histologically almost identical to proliferative fasciitis except located in muscle

- avg 50 yo, rare in kiddos

- seen in muscles of trunk, shoulder, chest or thigh

- painless mass that grows rapidly in 1 to 6 wks

- may be reactive or related to trauma

 

Micro: cellular c plump fibroblasts and myofibroblasts surrounding individual muscle fibers creating checkerboard pattern (prolif fibroblasts alternating c atrophic muscle)

- also large ganglion-like cells c abundant amphophilic to basophilic cytoplasm, vesicular nuclei and prominent nucleoli

- variable mits, but no atypical ones

- ill-defined margins

- can have metaplastic bone

 

IHC: (+) vimentin, SMA, MSA

- neg keratin, S100, desmin; ganglion-like cells neg for desmin, myoglobin and myogenin

 

Tx: conservative surgery is curative, may have spontaneous resolution

Proliferative myositis - checkerboard pattern made by infiltration of tumor cells bwt muscle bundles w/o myocyte necrosis

Ossifying FibroMyxoid Tumor (OFT)

 

Super uncommon, uncertain origins,

- 6th decade, M=F

- grossly well-circumscribed, pretty deep tissue usually in extremities

 

Micro: Peripheral metaplstic bone and cords of bland, round cells in nests/cords in a fibromyxoid matrix

- looks like there's lobule at low mag; partially encapsulated

 

IHC: (+) S100 (3/4), desmin (1/3),

- negative A;pha smooth muscle actin

 

Genes: PhF1 gene rearrangement in 6p21 (also rearranged in endometrial stromal sarcomas) which interfere c Hox genes such as PRC2 and

- loss of cr 22 SMARCB1 locus

- INI1 gene deleted in 3/4

 

Tx: Excision

 

Px: Intermediate malignancy; worse px c hypercellularity, high nuclear grade, inc mits

Phosphaturic mesenchymal tumor

 

Very rare B9 tumor of bone/ST usually in older (50 yo) females assoc c rickets and osteomalacia

- oncogenic osteomalacia is assoc c this tumor bc produces fibroblast growth factor-2 (23?), which inhibits renal tublar phosphate reabsorption

- Labs: low serum phosphate (wasted by kidney) thus low 1,25-dihydroxy Vit D3

 

Gross: up to 14 cm, in bone and ST

 

Micro: hypocellular c bland spindle cells, small nuclei w/o nucleoli

- HPC-oid vasculature, osteoclastoid GCs, "grungy" calcified matrix, fat, microcysts, hemorrhage, incomplete rim of membranous ossification, metaplastic bone

- infiltrative

- no/rare mits (unless is malignant, then inc)

 

IHC: (+) FGF-23, dentin matrix protein 1

- negative CD34

 

Tx: Excision brings complete quick reversal of signs and sx :)

Phosphaturic mesenchymal tumor

Rhabdomyoma - Adult type

 

Extracardiac rhabdomyomas divided into fetal, adult and genital histologic types (none of which are assoc c TS)

 

Very rare B9 tumor of mature skeletal muscle in oral cavity of 60 yo men, 1/4 are multifocal

 

Gross: avg 3 cm, circumscribed, soft tan red-brown and nodular

 

Micro: Well circumscribed but not encapsulated sheets of large well-differentiated sk muscle cells that are round c lots of red fibrillar / granular cytoplasm c lots of cross striations and intracytoplasmic rod-like inclusions and small round nucleoli

- can see spider cells c vacuolated cytoplasm

- variable fat and glycogen

- no mits or atypia

 

Cyto: frags of large polygonal tumor cells c red finely granular cytoplasm (can look like a granular cells tumor) and have eccentric nuclei with no prominent cross striations or inclusions

 

IHC: (+) muscle specific actin, desmin, myoglobin, PAS (diastase sensitive), PTAH

- negative keratin, EMA, CD68, S100

 

Tx: Excision (recur if not completely excised

 

Rhabdomyoma

Rhabdomyoma - Fetal type

 

Avg 4 cm solitary well-circumscribed (not encapsulated) gray-white-pink soft c glistening interior retroauricular in 0-3 yo, in 4.5 yo males

- may be assoc c basal cell ca syndrome

 

Micro: can be myxoid or cellular

- Myxoid: bundles of immature slender sk muscle c delicate cytoplasmic cross striation and thin tapering red processes that look like myotubules of early gestation; has undifferentiated round / spindled mesenchymal cells and myxoid stroma, can have "pseudocambium" layer of plasma cells and lymphs under mucosal epithelium

- Cellular: bundles of fascicles in parallel / plexiform c sparse collagenous / myxoid stroma; cells have variable sk muscle differentiation from immature myxoid pattern to ganglion cell-like rhabdomyoblasts c prominent nucleoli, or strap cells c lots of cytoplasm and cross striation; variable glycogen, no/rare mits

 

Cytology: spindle cells and rhabdomyoblasts c lots of red cytoplasm

 

IHC: (+) Muscle specific actin, desmin and myoglobin, GFAP

- negative keratin, EMA, CD68

 

Tx: Excision (rarely recurs, no mets)

Rhabdomyosarcoma (RMS)

 

Malignant mesenchymal tumor c sk muscle differentiation

- MC ST tumors of childhood, usually b4 age 20 yo, though pleomorphic and alveolar rhabdomyosarcoma seen in adults

- pediatric forms usually arise near sinuses, head and neck, and GU tract

- Rhabdomyoblast - cell of origin for RMS; has eccentric eosinophilic granular cytoplasm rich in thick and thin filaments; if round and elongate are called strap or tadpole cells

 

3 subtypes: embryonal (6/10), alveolar (2/10), pleomorphic (2/10)

1. Embryonal RMS is MC subtype, MC tissue sarcoma in kids and adolescents; presents as soft gray infiltrative mass in head and neck, and genitourinary region of children <10 yo (sometimes teens), and is made of rhabdomyoblasts at various stages of myogenesis which have elongation and eosinophilic cytoplasm, and can have cross-striation, and includes "strap" and "spider" cells; has focal-to-moderate myogenin staining

- has no unique molecular genetic abnormalities

- IHC: focal/moderate myogenin staining, (+) desmin, actin

- Px: worse if anaplastic

 

2. Alveolar RMS is a "small round blue cell tumor"; has diffuse strong myogenin staining; occur more in teens and young adults and affect the extremities

- typically densely cellular and has monotonous population of primitive round blue cells

- rhabdomyoblast differentiation occurs to a smaller extent

IHC: strong diffuse nuclear myogenin, desmin +

Genes: more frequently has t(2;13)(q35;q14) or t(1;13)(p36;q14) causing PAX3-FOXO1 or PAX7-FOXO1

 

3. Sarcoma botyroides is variant of embryonal RMS that develops in walls of hollow, mucosal-lined structures like nasopharynx, common bile duct, bladder and vagina

 

Micro: if tumors abut mucosal surface of an organ it forms a submucosal zone of hypercellularity called the cambium layer

 

IHC: (+) desmin, MSA, myogenin (alveolar >> embryonal), MyoD, PAX5, myf-4, (CK, NE, CD20, and S100 can be positive and cause diagnostic confusion)

- neg SMA, and CD99

- in translocation (+) alveolar RMS get CD99 pos, in anaplastic get p53 pos

 

DDx: leiomyosarcoma (LMS), get a myogenin

 

Genes: in alveolar RMS get t(2;13)(q35;q14) PAX3-FOXO1 (FKHR) or t(1;13)(p36;q14) PAX7-(FOXO1) FKHR

- N-myc amplification in 1/2

- P-cadherin is a direct PAX-3FOXO1A transcriptional target involved in alveolar RMS aggressiveness

 

Px: Excellent: botryoid, spindle cell

Intermediate: embryonal

Poor: alveolar and undifferentiated sarcoma

 

Adults have worse px than kiddos; worse px in hands/feet

C, Embryonal rhabdomyosarcoma demonstrates primitive mesenchymal cells with round and spindled nuclei as well as numerous rhabdomyoblasts.

D, Alveolar rhabdomyosarcoma shows monotonous round cells with an ‘‘alveolar’’ growth pattern and strong myoD1 nuclear expression (E, inset).

Alveolar RMS

Spindle cell rhabdomyosarcoma can look like leiomyosarcoma, should especially consider this lesion in the head and neck! Get a myogenin

Spindle cell rhabdomyosarcoma [6]

Spindle cell RMS looks like leiomyosarcoma

Pleomorphic rhabdomyosarcoma

 

Very rare; almost always in adults > 45 yo; M>F; usually in the skeletal muscle of the extremities, esp the thigh; less common in aabdomen / retroperitoneum; chest, spermatic cord, or upper extre

 

Gross: usually large (>10 cm), fleshy, intramuscular, c extensive necrosis

 

Micro: loosely arranged, haphazardly oriented, large round or pleomorphic cells c hyperchromatic nuclei and deeply eosinophilic cytoplasm

- can see racket-shaped or tadpole-shaped rhabdomyoblasts (as in embryonal rms); but are usually bigger c more irreg outlines

- only rarely has cells c cross-striations (commonly in embryonal rms)

- look for large bizarre tumor cells c deeply eosinophilic cytoplasm c some cell-to-cell molding

 

IHC: (+) desmin, muscle-specific actin, sarcomeric a-actin, Myo-D1, myogenin

 

DDx: MPNST, MMMT

 

Genes: nothing characteristic, usually a highly complex karyotype

 

Px: Pleomorphic RMS and pleomorphic LMS have worse px than other sarcomas, including Pleomorphic LMS and MFH

Rheumatoid nodule

 

see Inflammatory Dermatopathology

 

 

Schwannoma

 

Encapsulated biphasic nerve sheath tumor of Schwann cells c structed pallisading (Verrocay bodies) cellular zones (Antoni A) and myxoid zones (Antoni B)

- Slow growing asymptommatic (until becomes large) seen in adults 20-50 yo, M=F in head and neck, flexors of UE/LE and spinal roots

- can transofrm to MPNST, angiosarcoma, or epithelioid malignant change (EMC)

 

Gross: solitary, cystic if large

 

Micro: structured pallisading around fibrillary processes (Verrocay bodies) in cellular zones (Antoni A) and myxoid zones (Antoni B) with irregularly spaced vessels

- can see degenerative nuclear atypia (ancient change)

- rare mits, no axons except where nerve is attached

 

IHC: (+) EMA (perineural cells), S100 (diffusely positive), CD34 (sparse fibroblasts) calcinurin, laminin, type IV calcinurin, vimentin, CD68, GFAP

- negative keratin, neurofilament, desmin

 

Tx: Excision; rarely recurs (should try to preserve the nerve!)

 

 

Malignant Peripheral Nerve Sheath Tumor (MPNST)

 

- aka malignant schwannoma

- see Nervous System Tumors for more details

 

Bulky deep tumor in adults coming out of major nerves of nect, forearm, lower leg, butt

- assoc c NF1 (1/2), half de novo (may be radiation-related)

 

Gross: large mass causing fusiform enlargement of major nerve (esp sciatic n.)

 

Micro: monomorphic snake-like cells c palisading,big vascular spaces, plump tumor cells around vessels, palisading necrosis (like GBM), freq mits, atypia, metaplastic cartilage, bone and muscle

- may not have any Schwannian features at all

 

IHC: (+) CD99, S100, CD57, collagen IV, p53, Leu7/CD57

- negative EMA, keratin, CD19

 

Genes: t(X;18) negative

 

Px: recur locally, met distantly

 

 

Nerve Sheath Myxoma

- formerly neurothekoma (?? controversial ??)

 

B9, superficial tumor; subclassified to cellular or myxoid types

- originally thought to be derived from nerve sheath, now thought to come from fibroblasts with ability to differentiate to myofibroblasts and recruit histiocytes

- myxoid variant (nerve sheath myxoma) has lobulated growth patthern and low cellularity and myxoid stroma, and are strongly and diffusely S100 pos

- cellular neurothekoma (CN) presents in first 3 decades of life c F predominance, on upper extremities and head and neck area, and are poorly circumscribed c micronodular or lobulated, c tumor cells that are either epithelioid or spindly c lots of eosinophilic cytoplasm

-- 1/3 of CN have myxoid component (thus overlapping c classicl myxoid neurothekomas)

-- in ~60% of CNs there is lots of cellular atypia, low mits (3 / hpf)

-- CN is neg for S100, variable pos for NK1-C3, PGP9 MITF-1, and S100A6

 

Micro: Sheets of polygonal, whorled, slightly fusiform cells with neuroid differentiation, mits and atypia

- amphophilic cytoplasm and blended cell borders

 

IHC: (+) vimentin, NKI/C3, micropthalmia transcription factor, PGP9.5, SMA (in 1/2)

- negative S100 (in CN), HMB45, melan A, PNL2

- myxoid variant or cellular neurothekoma can be (+)  S100

 

 

Solitary Fibrous Tumor (SFT, extrapleural)

 

Mostly b9 slow growing painless mass that can appear anywhere in middle aged (50 yo) people

- can cause paraneoplastic hypoglycemia from IGF production

- "hemangiopericytomas" are probably actually SFTs

 

Gross: well-circumscribed but no capsule, up to 8 cm, white firm inside

 

Micro: "Patternless" or haphazard pattern c hypo- to hyper cellular areas between thick hyaliized collagen, cracking artifact, staghorn vessels (HPC-like vessels)

- perivascular sclerosis

- bland uniform oval/spindle cells c little cytoplasm, small elongated nuclei no nucleoli in thin layers bwt collagen bands

- no pleomorphism, atypia, mits if b9 (malignant version has lots of these)

- can dx malignant SFT is mits >6 per 10 hpfs (cellularity doesn't matter)

 

IHC: (+) STAT6 (very sens and spec), CD34 (cytoplasmic), CD99 (3/4), bcl2

- neg: c-kit EMA and actin (1/3+)

 

Genes: NAB2-STAT6 gene fusion, resulting from inversion of 2 genes both located on 12q13

- not consistent but see something usually if >10 cm

 

DDx: synovial sarcoma (CD34 negative)

 

Tx: Excision

- is NOT very chemosensitive (which is why it is important to distinguish from synovial sarcoma, which iS chemosensitive)

 

Px: may met years down the line, but is not possible to predict which ones will do this, but has been assoc c symptomatology, large size (>10 cm) and infiltrative borders

- malignant SFT has a much higher probability for mets

 

 

Synovial sarcoma

 

Cancer of adolescents and young adult (15-40 yo) males in the large joints of LE (knee, ankle) and head and neck

- able to be palpated in deep soft tissue and produces pain

- name is a misnomer as can present in places that lack synovium and can have features inconsistent with synoviocyte origin

- 4th MCC sarcoma (1/10 overall), pts in 3rd to 5th decades

- MC sarcoma of lung

 

Imaging: round mass of intermediate density around large joints c spotty opacifications due to calcifications c 1/5 showing ossification or adjacent bone erosion

 

Micro: can be monophasic or biphasic

Biphasic c well-formed glands and slit-like structures lined by cuboidal cells and assoc c dense groups of spindle cells

- can see acinoid or epithelioid elements in a myxoid background

 

Monophasic tumor is densely packed c uniform spindle cells in fascular sheets c pseudorosettes; also have abundant hemangiopericytomatoid vascularity and freq mits

- cells look like they are kissing and overlapping each other

- lacks pleomorphism, indistinct nucleoli usually

- wirey stromal collagen is another good clue for synovial sarcoma

 

Poorly differentiated synovial sarcoma is another subtype that can have gaping or staghorn vascular pattern

 

IHC: (+) reticulin (stains epithelioid cells), calponin, vimentin, CK7/19, endothelial monocyte antigen (EMA, usually just very patchy positivity, most sens, should get if considering this dx), S100 (in 60%), bcl-2 (as low as 75%), CD45/99, TLE1, may be calretinin pos, HK327ME3

(-) CD34 (always), STAT6

- be careful, this is an instance of a sarcoma that's Cytokeratin (+)!!

- TLE1 is not specific, up to 1/3 MPNST and SFTs can be positive

 

Genetics: t(x;18)(p11.2;q11.2) by rt-PCR or FISH c fused SYT gene (cr 18) and SSX1/SSX2 (X cr), making SYT-SSX1 and -SSX2 that encode chimeric transcription factors

- SSX1 assoc c monophasic or biphasic tumors

- SSX2 assoc c monophasic tumors

 

Tx: Chemosensitive (which is why it is important to distinguish from SFT, which is  NOT as chemosensitive)

- local excision c radiotx

 

Px: slow-growing, c mets to lung, BM, LN

- 36% 5 year survival (better in younger pts, small size, low stage, lots of calcifications

-- poor px c necrosis, lots of mits, rhabdoid features

 

 

 

 

 

Nerve sheath myxoma

SFT

SFT STAT6

Synovial sarcoma

Monophasic synovial sarcoma

More of a biphasic synovial sarcoma

In metastatic synovial sarcoma can have trapping of lung parenchyma within synovial sarc [6]

Monophasic synovial sarcoma with staghorn vessels [6]

not subTLE

(TLE stain)

Table 4. Salient Histologic Features and Key Immunophenotyes of Selected Epithelioid Soft Tissue Tumors

EMA, epithelial membrane antigen; GFAP, glial fibrillary acidic protein; GIST, gastrointestinal stromal tumor; IHC, immunohistochemistry; MPNST, malignant peripheral nerve sheath tumor; MUC4, mucin 4; NSE, neuron-specific enolase; PEComa, perivascular epithelioid cell differentiation; RMS, rhabdomyosarcoma; SDH, succinate dehydrogenase; SDHB, SDH subunit B; SMA, smooth muscle actin.

References

 

1. Rosai, Juan. Surgical Pathology. Tenth ed. Vol 2.

 

2. Pathology Outlines

 

3. Stanford Surgical Pathology Criteria.

http://surgpathcriteria.stanford.edu/

 

4. Dr. D's COW.

 

5. Enzinger and Weiss's ST Tumors. 2014

 

6. USCAP: Jason Hornick's Deep Soft Tissue Tumors, Spindle Cell Tumors

https://www.youtube.com/watch?v=z0987zsl60Y