Skin

Derm Anatomy and Common Terms

Infectious Dermatology

Anatomy

  • Epidermal layers
  • Epithelial cell junctions
  • Zona occludens (tight junction)
  • Zona adherence (intermdiiate junction)
  • Macula adherens (desmosome)
  • Gap junction
  • Hemidesmosome
  • Integrin

Common Terms

Blistering Dermatopathology

Bullous pemphigoid (BP)

Cicatrical pemphigoid

Dermatitis herpetiformis

Familial benign chronic pemphigus (Hailey-Hailey disease)

Keratosis follicularis (Darier's disease)

Pemphigus foliaceus

Pemphigus vulgaris

Porphyria cutanea tarda

Transient acantholytic dermatosis (Grover's disease)

Arthropods

  • Scabies

Bacteriae

  • Bacillary angiomatosis
  • Granuloma inguinale
  • Leprosy
  • Rhinoscleroma

Viri

  • Condyloma acuminatum
  • Condyloma latum (secondary syph)
  • Cytomegalovirus
  • Epidermodysplasia verruciformis (EDV)
  • Herpes simplex
  • Herpes Zoster
  • Molluscum contagiosum
  • Varicella
  • Viral exanthem
  • Verruca plana
  • Verruca vulgaris

Fungi / Yeast

  • Chromoblastomycosis
  • Tinea nigra
  • Tinea versicolor

Protothecosis

Genodermatosis, metabolic and other structural disorders

Inflammatory Dermatopathology

Acne

Necrolytic Migratory Erythema

Spongiosis

  • Eczema

Psoriasiform (epiderm hyplerplasia)

  • Psoriasis
  • Seborrheic dermatitis

Interface / Lichenoid

  • Erythema multiforme (EM)
  • Lichen planus
  • Lichen sclerosus et atrophicus
  • Lichen simplex chronicus
  • Lichen striatus
  • Morphea / scleroderma
  • Lupus erythematosus
  • Pityriasis lichenoides et varioliformis acuta (PLETA)
  • Porokeratosis
  • Syphilis

Perivascular

  • Arthropod bite

Granulomatous Dermatitis

Granulomatosis

  • Chondrodermatitis nodularis chronica helica
  • Juvenile Xanthogranuloma
  • Granuloma Annulare
  • Langerhans Cell Histiocytosis (histiocytosis X)
  • Necrobiosis lipoidica
  • Necrobiotic xanthogranuloma
  • Reticulohistiocytosis
  • Rheumatoid nodule
  • Sarcoidosis
  • Tuberous xanthoma
    • Eruptive xanthoma
    • Verruciform xanthoma - see Penis

Panniculidities

  • Erythema nodosum
  • Nodular vasculitis / Erythema Induratum (EI) of Bazin

Vasculitic

  • Acute febrile neutrophilic dermatosis (Sweet's syndrome)
  • Leukocytoclastic vasculitis (LCV)
  • Perniosis / pernio / chilblains
  • Tumid lupus erythematosus
  • Hydrophilic polymer vasculopathy

Infiltrates

Chondrodermatitis nodularis chronica helicis

Mastocytosis / urticaria pigmentosa (UP)

Malignant Atrophic Papulosis

Pseudoxanthoma elasticum

 

Derm Anatomy and Common Terms

Anatomy

 

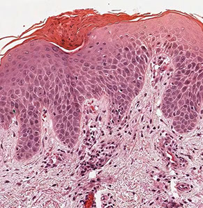
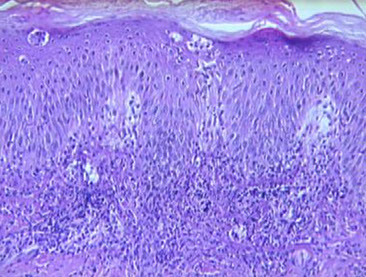
"Fingers" that point down are rete ridges, with papillary dermis (pink hyaline) right next to it, and a dermal papilla interlocking with the rete ridges (with  little capillaries in them)

- blood vessels in dermal papilla takes away wast products from the epidermis

- all epidermal layers throughout the body do not have vessels within them, but have vessels in the stroma to nourish them with oxygen and provide layer to grow on

 

Pink bundles of spindle cells, can be:

1) Dense regular connective tissue, dense collagen

2) Nerve

3) Smooth muscle

 

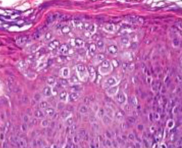
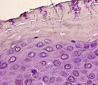
Epidermal layers

 

Takes ~28 days for squame to from stem cells in baslis to mature to corneal layer (top layer)

- in psoriasis grows faster, ~7 days

 

From top to bottom:

Corneal layer (Stratum corneum) - extra barrier against entry into body, dead cells on top, flake off

- acral skin usually has a thick corneal layer (in addition to the lucidum layer)

 

Stratum Lucidem - hot pink layer beneath the corneum that is only seen on acral skin (the palms and soles), or as protective mech on skin that has been rubbed too much

- below corneum and above granulosum, only seen on the palms and soles and skin that has been rubbed too much

 

Granular layer (Stratum Granulosum) - when cells from spinosum start to pick up keratohyaline granules (have loracrin and involucrin little purple granules) that help keratinocytes die and lose nucleus to become skeletons in the corneal layer (stratum corneum)

 

Stratum Spinosum - little spines, desmosomes bwt cells

- due to shrinkage during processing, cells in the spinosum usually have a halo directly around the nucleus (bc their desmosomes are locked into a network) vs melanocytes that have cytoplasm around their nuclei and sometimes a space around the cytoplasm, bc they are not locked in by desmosomes

 

Keratinocytes usually have pigment on top of their nuclei, in the direction of the corneum, to protect them from the sun

 

Stratum Basalis - where stem cells reproduce squamous cells, pushed upward; pink bc filled c keratin

 

*** California Ladies Give Superb Backrubs ***

 

*** Callus w corneum ***

 

- Malphigean layer comprised of stratum spinosum and basalis

 

Melanocytes - Area around nucleus does NOT have a vacuoles (bc is not locked in like cells in the spinosum) but vacuole forms around the outside of the cytoplasm as the cell shrinks during processing

- look gray not brown, bc exports melanin to surrounding cells, which they do with little cell processes

- darker skin people have same number of melanocytes, but make more melanin

 

The number of melanocytes is the same bwt races, but the number of melanosomes is different

 

Langerhans cells - related to histiocytes / macrophages, live in mid-level of spinus layer to protect against invading antigens; which can go all the way back to lymph nodes to present the antigens

- can be seen in little blisters when skin exposed to antigen

 

PSoriasis: inc in stratum Spinosum

*** PS: I dont love you, Psoriasis! ***

- takes only 7 days for skin to mature c psoriasis (vs 28 days normally)

 

Epithelial cell junctions

 

Includes:

Zona occludens (tight junction); Zona adherens (intermediate junction);

Macula adherens (desmosome); Gap junction; Hemidesmosome; Integrin; E-cadherin; Actin filaments; Desmoplakin; Keratin; Connexon w central channel

 

Zona ocludens (tight junction)

prevents diffusion across paracellular space

- composed of claudins, occludins, and JAMs

 

Zona adherens (intermediate junction)

Surrounds perimeter, just below zona occludens

- cadherins connect to actin (CADherins are CA2+-dependent ADhesion molecules)

 

Macula adherens (desmosome)

Small, discrete sites of attachment

- cadherins connect to intermediate filaments

 

Gap junction

allows adjacent cells to communicate for electric and metabolic functions w connexons

 

Hemidesmosome

connects cell to basement membrane

 

Integrin

binds laminin in basement membrane

 

Dermis

 

Irregular dense connective tissue

- papillary dermis is fine, thin light pink collagen bwt the rete ridge and dermal papilla (c BV)

- reticular dermis if fatter, darker strands of collagen deeper down

 

Superficial vascular plexus - slightly larger layer of BVs that separates the papillary and reticular dermis

 

White spaces on slide? is either

1) a vascular space (lymphovasculae channel) if lined by endothelium

2) a glandular / cystic space that is lined by epithelium

3) artifact

- adipocytes have clear space in them bc lipid is dissolved during processing

 

Vascular endothelium is surrounded by small pericytes

 

Sebaceous glands - cells have white spaces in it as artifact bc used to have lipid in them

- when these cells break down they are secreted from the hair follicle as sebum (sebaceous secretion, more common in groin and axilla), smell bad from bacterial action

- basaloid cells  around the outside of the gland, give rise to mature sebocytes

 

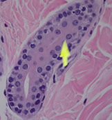
Hair follicles - connect to surface

- hair shaft is the pink thing in the middle, surrounded by epithelial layer, sebaceous glands drain into hair follicles

- dark blue cells, matricle cells or germinative epithelium, actively dividing, grows quicky, producing hair

- pink hair papilla grows into hair bulb, giving it nourishment

- hair shaft made of dead keratinocytes packed together

- inner root sheath has trichohyaline granules and looks pink

- outer root sheath, made of glycogen-filled cells that look like piano keys

- adventitia is the bright pink layer after outer root sheath

- melanocytes in the roots give hair its pigment (hair color)

 

Epidermal inclusion cyst comes from the infundibulum, the layer of cells dipping into a hair follicle, thus EICs should really be called follicular cysts

 

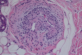
Eccrine gland - eccrine coil makes sweat that coils out and empties through skin by ducts, lined by double layer of cuboidal epithelium

- outer layer is myoepithelial layer that is supposed to have some contractile property

- usually seen at junction of dermis and subcutis (can be surrounded by a little bit of fat)

- salivary glands other place that has a double layer of cuboidal epithelium, and shares many of the same features in ca

- eccrosyringium is part where sweat gland connects to the skin surface in accral skin, there is usually a break in the skin that allows the sweat to leave

 

Glomus apparatus (glomus body) - in accral skin, may play role intemperature regulation, surrounded by pericytes that have contractile properties that contract and control blood flow

 

Paccinian corpuscle - in the fat of accral deep dermis, feels deep touch or vibration

 

Meissner corpuscle - right under the epidermis, detects fine touch, seen in acral skin. Have a predilection for the tips of the fingers

 

Dense collagen forms a layer of fascia that separates adipose from muscle (collagen is extracellular, pushed out of a cell)

- dense CT is either fascia, ligament or tendon (muscle to bone)

 

Nail plate also made of dead keratin

- nail bed epithelium lies beneath the nail plate

 

IHC of normal skin:
All epithelial cells should stain c some type of keratin

- hair follicle and sweat glands also stain with keratins

 

S100 stains nerve, melanocytes, and Langerhan cells

- S100 also stains some adipocytes

 

Desmin stains arrector pili muscles, and blood vessels

 

CD31 stains the central lining of the vessel, the endothelial cells

- CD34 stains the same thing

 

Sox10 is a nuclear marker, in the nuclei of melanocytes

 

Hypodermis

 

Usually just fat cells (adipocyte)

- little fat droplet within the adipocyte nucleus, called the locurn (or nuclear lake), which is always there in adipocyte nuclei, but not always seen

 

Common Terms

 

Acantholysis - loss of intercellular cohesion

 

Acanthosis - epidermal thickening

 

Asteroid bodies - red stuff in sporotrichosis, sarcoidosis, berrylliosis

 

Ballon degeneration - a form of apoptosis assoc loss of intercellular edema and edema

 

Cowdry A - pink globs in the nucleus assoc c herpes

 

Cowdry B - pink globs in nucleus assoc c adeno- and polioviri

 

Donovan body - collection of bacterial amastigotes (Leishmania) seen c granuloma inguinale

 

Dutcher body - pink globs of Ig in cytoplasm and nucleus of plasma cells

 

Effacement - loss of rete pegs

 

Granulomatous - forming granuloma-shaped structure

 

Dyskeratosis: abnormal keratinization below the stratum granulosum

 

Hyperkeratosis: thickening of the corneal layer c excess keratin

 

Hypergranulosis: Inc granular layer as a result of repeated rubbing

 

Interface change - has vacuoles in basal layer (liquefactive change) with Civatte bodies (seen in lichen planus, which are pink blobs, actually dying keratinocytes) and unclear distinction between dermis and epidermis

- lichenoid change is interface changes with heavy lymphocyte infiltrates

 

Parakeratosis - nuclei persist into stratum corneum;

- usually assoc c loss of granular layer

- not a normal finding, either skin has been irritated, or there is a rash, or assoc c a tumor

 

Psoriaform - epidermal hyperplasia

 

Spongiosis - epidermal edema, desmosomes that are stretched out by edema

- characteristic of eczematous dermatitis

 

Macule: flat discolored area up to 0.5 cm

 

Pagetoid spread: melanocytes growing upward toward skin surface

- seen in Paget disease of the nipple, Paget disease of the skin, melanoma, and SCC

 

Patch: flat discolored area >0.5 cm

 

Papule: elevated lesion up to 0.5 cm

 

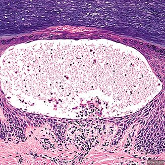
Vesicle: Fluid-filled raised lesion up to 0.5 cm

 

Bulla: Fluid-filled raised lesion >0.5 cm

 

Blister: laymans term for vesicle or bulla

 

Pustule: discrete, pus-filled raised lesion

 

Wheal: Itchy, transient, elevated lesion c variable blanching and erythema as the result of edema

 

Scale: Dry, platelike excresence, usually from imperfect cornification

 

Lichenification: thick, rough skin similar to that on palms and soles, caused by repeat irritation (scratching)

 

Excoriation: a deep scratch

 

Oncholysis: separation of nail plate and nail bed

 

Epidermis, arrow pointing to stratum Lucidem,

Melanocytes - Area around nucleus does NOT have a vacuoles (bc is not locked in by desmosomes like cells in the spinosum) but vacuole forms around the outside of the cytoplasm as the cell shrinks during processing

Langerhans cells - related to histiocytes / macrophages, live in mid-level of spinus layer

Keratinocytes usually have pigment on top of their nuclei, in the direction of the corneum, to protect them from the sun

Arrow to pink papillary dermis, to the left is a rete ridge, to the right, an interlocking dermal papilla

Sweat gland lined by epithelium, with blue, gooey sweat

Smooth muscle of the arrector pili muscle, which attaches to hair follicle to make them stand on end

Neurovascular bundle with arteriole, venule and nerve

Sebaceous gland

Spongiosis

Parakeratosis

A little bit of lymphocytes, around BV is a farily normal finding

Scalp with long anengen hairs with roots that go into subQ fat

Internal elastic lamina is a squiggly line underneath the intima

Eccrine sweat gland (eccrine coil)

Arrow to hair shaft, in a hair follicle

Glomus body

Meissner corpuscle just below epithelium

Paccinian corpuscle, deep skin

Close up of eccrine gland, with 2 layers of epithelial cells

Pagetoid spread in SCC

Lichenification - dark purple and granular, from too much scratching

Interface change with vacuolization (arrow), Civatte bodies (pink blobs)

Leishmania kinetoplasts - ferris wheel sign is organisms around periphery

Blistering Dermatopathology

Vesiculobullous Dermatitis

 

Characterized by the location of the bulla

SUBCORNEAL

• Staphylococcal scalded skin syndrome

• Bullous Impetigo

• Pemphigus Foliaceus

• Acute generalized exanthematous pustulosis (AGEP; 2/2 drug rxn)

 

INTRAEPIDERMAL

• Pemphigus Vulgaris

• Hailey-Hailey Disease

• Darier’s Disease

• Grover’s Disease

• Friction Blister

 

SUBEPIDERMAL

• Additionally classified based on the intensity and composition of

the inflammation within the bulla:

– Paci-inflammatory

• Epidermolysis Bullosa Aquisita

• Porphyria Cutanea Tarda

• Bullous Pemphigoid (cell-poor variant)

• Suction blisters/burns/blisters over scars

 

– With Eosinophils

• Bullous Pemphigoid

• Epidermolysis Bullosa Aquisita (inflammatory variant)

 

– With Neutrophils

• Dermatitis Herpetiformis

• Linear IgA Bullous Dermatosis

• Bullous Lupus

• Cicatricial Pemphigoid

• Epidermolysis Bullosa Aquisita (inflammatory variant)

 

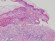
Staphylococcal scalded-skin syndrome (SSSS). A, Perioral crusting/fissuring and involvement of the folds of the neck are predominant features. This patient also had shallow erosions on the forehead (inset). B, The superficial nature of the split in SSSS (in comparison with Stevens-Johnson syndrome) is evidenced by the superficial, subcorneal erosions. Note how the erosions show a strong predilection for the skin folds as well as

sites of local trauma. C, Blister formation is due to a split at the level of the stratum granulosum, which causes the stratum corneum to detach from the rest of the epidermis. There is no inflammation and no bacteria are seen (this is a toxin-mediated process). D, In some cases, the stratum corneum entirely detaches and may either be lost during processing or found elsewhere on the slide. (Dermatologic Urgencies and Emergencies—Abate et al; Arch Pathol Lab Med—Vol 143, August 2019)

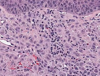
Bullous Pemphigoid (BP)

 

Pruritic, blistering autoimmune skin disorder c IgG abs to hemidesmosomes (BPAg1 and BPAg2)

- forms tense blisters on the extremities and trunks of older pts

- less severe than pemphigus vulgaris

*** "Pemphigoid" is longer than "pemphigus", "Hemidesmostome" is longer than "Desmosome" ***

 

Micro: Subepidermal blister (bullae) c eos and sometimes neutros in blister cavity

- can see eos lined up on DE junction in urticarial lesions

 

IF: Direct IF in perilesional tissue shows IgG and C3 on DE junction (basement membrane) in linear or n-serrated pattern

- Indirect has positivity on the roof of the lesion (vs on the floor in epidermolysis bullosa acquisita)

 

Bullous pemphigoid

Bullous pemphigoid

Cicatrical pemphigoid

 

Tense bullae that heal c scarring that occur in oral and ocular mucosa

 

Micro: subepidermal vesiculation c variable inflam in dermis and possibly neutros in an abscess in newer lesions and has more eos than BP

 

IF: linear IgG and C3 on DE junction in 4/5 cases

Dermatitis herpetiformis

 

Super-itchy disorder c pruritic papules and vesilcles usually on the larger joints (knees, elbows, ass) caused by epidermal transglutaminase-3; thus assoc c celiac dz

- IgA deposits at the tips of the dermal papillae

 

Micro: Vesicles form under the epidermis

- micro-abscesses filled c neutros or fibrin deposition at the tips of the dermal papillae

 

*** Neutros in dermal papillae or subepidermal collection of neutros: don't get PLAID (played)*** bullous Pemphigoid

Lupus (bullous)

EBA

Linear IgA

Dermatitis herpetiformis ***

 

IF: IgA deposited in a granular pattern within the dermal papillae

 

Tx: dapsone

Dermatitis herpetiformis

Familial benign chronic pemphigus (Hailey-Hailey disease)

 

AD inherited dz (ATP2C1 gene [for a Ca2+ pump]) c poor cellular adhesion; a genodermatosis (??)

- "wet tissue paper" look of affected skin in neck and intertriginous areas; not as diffuse as Hailey-variant of Grover's disease

- may get infected

- Not an ab-mediated dz (negative IF)

- acantholysis should NOT involve the hair follicle (if it does, then the dx is probably pemphigus vulgaris)

 

Micro: "dilapidated brick wall" appearance of acantholysis

- also see acanthosis

- pinkish halo surrounds nuclei

 

*** I want 2C Hailey's comet 1 day ***

 

Hailey-Hailey disease

Darier's dz

Dare to dx Darier's dz

Keratosis follicularis (Darier's disease)

 

AD genetic dz (of ATP2A2, also a calcium pump), presenting c fat-like crusty lesions in places c lots of sweat glands

 

Micro: Acantholysis c lots of dyskeratosis, esp in lower epidermis

- more dyskeratosis, but less acantholysis than Familial b9 chronic pemphigus (Hailey-Hailey dz); and also do not have the red halo, but a blue or white halo around dyskeratotic nuclei

forms clefts and lacunae

- irregular upward proliferation of papillae lined by single layer of basal cells (villi) into the lacunae

- Grains and corps ronds (characteristic dyskeratotic cells)

 

Pemphigus foliaceus (PF)

 

Rare form of pemphigus, c more b9 course, seen in adults

- widespread patches and fragile blisters, erosions and scale crust

- blisters are induced by IgG (IgG4 subclass) autoabs against cell adhesion molecule desmoglein 1 seen in the granular layer of the epidermis

 

DIF: intercellular staining for IgG and C3 in affected and normal skin (net-like pattern)

 

Direct IF with IgG in epidermis in pt c PF

Pemphigus foliaceus (PF)

Pemphigus vulgaris

 

Autoimmune blistering skin disorder that is NOT pruritic

- potentially fatal, may be triggered by medications such as penicillin

 

IgG (IgG1 and IgG4) ab and sometimes C3 against desmosomes (anti-desmoglein, anti-epithelial cell ab, against [Desmoglein 1 and?] desmoglein 3)

- immunofluorescence shows abs around epidermal cells in a reticular pattern

 

Acantholysis: intraepidermal bullae involving oral mucosa

*** has a Vulgar mouth! ***

- Positive Nikolsky's sign

 

Histo: suprabasilar / intraepidermal blister and acantholysis

- "tombstones" - basal keratinocytes that remain attached to BM

 

IF: IgG and C3 deposition bwt cells in epidermis in fishnet or "chicken-wire" pattern

 

Tx: Prednisone, azathioprine/mycophenylate (to wean off roids)

 

A) Pemphigus vulgaris, B) Pemphigus follicularis with suprabasal epidermal cleavage

Paraneoplastic pemphigus

 

Autoimmune blistering dz in setting of internal malignancy, esp B-cell lymphoma; is heterogeneous both clinically and histologically 2/2 various combinations of epidermal adhesion or basement membrane molecules that are targeted by circulating autoantibodies

 

Micro: hallmark is lichenoid interface reaction / dermatitis and suprabasal acantholysis with vesiculation

 

Porphyria cutanea tarda (PCT)

 

MCC porphyria in the states; assoc c Hep C and AIDS, EtOH, iron overload and possibly inherited deficiency of uroporphyrinogen decarboxylase (in heme synth), which are found in the liver

- get blisters in sun-exposed areas (back of hands)

 

Subepidermal pauci-inflammatory vesiculation; thick acral skin c compact orthokeratosis;

- Caterpillar bodies - compact hyaline material

- festooning of dermal papillae (protrude into blister)

- hyalinization of blood vessels

 

IHC: PAS can highlight deposition of perivascular hyaline

 

IF: IgM and C3 in vessels (absorbed by hyaline)

Porphyria cutanea tarda c festooning of the dermal papilla (protruding into the blister)

PCT

Transient acantholytic dermatosis (Grover's disease)

 

Acquired dz causing crusty, pruritic papules on the trunks of old fogies

 

- good example of 2 patterns

1) acantholysis - keratinocytes fall apart (desmosomes lose contact with each other) and ball up

- acantholysis also seen in pemphigus vulgaris

2) dyskeratosis - cells crunched up and bright pink as they undergo cell death

- dyskeratotic cells also called grains if elongated, or corps ronds (round bodies in French) if  are balled up

- often gets inflamed and can get eos beneath it (may want to do deepers to look for Grover dz)

 

Dyskeratosis similar to Keratosis follicularis (Darier's dz; genetic syndrome with large plaques on trunk) and acantholysis like familial b9 chronic pemphigus (Hailey-Hailey dz, usually in skin folds, and doesn't have dyskeratosis)

- may be spongiotic c rare acantholysis

- suprabasilar clefting seen

- thus can have a mix of histologic patterns of pemphigus, spongiotic, Darier's disease or Hailey-Hailey dz

 

Lesions are usually small and span only a few rete ridges

- the acantholysis usually spares hair follicles

 

 

Grover disease - basal layer starting to break up with acantholysis

Acantholysis in Grover disease

Acantholysis and dyskeratosis (arrow) in Grover disease

Epidermolysis Bullosa (EB)

 

Groups of inerited blistering dz's that lead to mechanically fragile skin

- onset at birth

- mutations in genes coding structural proteins that make up tonofilaments within keratinocytes (EB simplex), the hemidesmosome (junctional EB), or anchoring filaments (dystrophic EB)

 

Dermolytic or dystrophic epidermolysis is 2/2 mutations in the gene for type VII collagen (COL7A1)

- assoc c disfigruing scarring, potential limb amputation, and late SCC

 

Junctional (non-scarring) epidermolysis bullosa assoc c defection in the gene for Laminin 5

 

Keratins 5 or 10 mutations assoc c bullous ichthyosis / epidermolytic hyperkeratosis

 

 

Epidermolysis Bullosa

Bullous impetigo with subcorneal collection of neutrophils

Bullous Impetigo

 

2/2 gram+ cocci Staphylococcus aureus

-  considered a localized form of staphylococcal scalded skin syndrome that results from the production of Staphylococcal epidermolytic toxin which targets desmoglein 1 (a protein of desmosomes found higher in the epidermis)

 

Micro: sub corneal collections of neuts with or without acantholytic cells

 

Gram stain can show gram-positive cocci in the stratum corneum

 

Dyshidrosis

- aka pompholyx

 

Type of dermatitis c itchy blisters on the palms and soles

- blisters usually form over a couple of weeks up to 2 mm, although they often recur

- usually no redness present

- name "dyshidrotic" given bc once thought that the lesion comes from problems with sweating

- about 1 in 2000 people affected in Sweden, may be related to dust mites

- blisters described as having a tapioca pudding appearance

 

DDx: allergy testing and culture can be done to rule out problems

- pustular psoriasis and scabies can also look similar

 

Tx: steroid cream

- tacrolimus and PUVA can also be tried out

 

Dyshidrosis

Inflammatory Dermatopathology

Acne

 

Hyperkeratosis, sebum overproduction, propionibacterium acnes proliferation, and inflam

 

Tx: vit A analog (retinoic acid), isoretinoin, spironolactone, estrogens, antibiotics, benzoyl peroxide, and can inject pimples w stroids

 

 

 

 

 

 

Allergic Contact Dermatitis (ACD)

 

MC in women, usually 2/2 nickel allergy, seen more in metal workers, beauticians, health care workers, cleaners, painters, and florists

- type IV (delayed) hypersensitivity rxn, usually 48-72 hours after exposure to an allergen

- can be 2/2 poison ivy

- ags initially taken up by Langerhans cells and carried to lymph nodes

- on re-exposure cytokines released, causing endothelial activation and adherence of memory T cells that release lymphokines and cause spongiotic dermatitis

- can get bacterial superinfection (impetiginization)

 

Micro: extensive spongiosis, initially acute spongiotic dermatitis, that evolves to subacute or chronic spongiotic dermatitis, then resolves

- can have intraepidermal vesicles, exocytosis, papillary dermal edema or perivascular lymphocytic infiltrates in upper dermis and lots of eos

 

ACD

Irritant Contact Dermatitis

Necrolytic Migratory Erythema

 

aka glucagonoma syndrome (sx include hyperglucagonemia, diabetes, glossitis, abd pain, wight loss, anemia, nausea)

 

Histo: Parakeratosis; holes and whiteness in middle and upper squames; dyskeratosis; necrosis and peeling of upper layers of epidermis

 

 

Spongiosis

 

Eczema

 

Psoriasiform (epidermal hyperplasia)

 

Psoriasis

 

Papules and plaques w silvery scaling, esp on knees and elbows

- inheritance is complex and polygenetic

- acanthosis w parakeratotic scaling

- inc stratum spinosum and dec stratum granulosum

- assoc w uric acid renal stones due to inc cell turnover

 

Auspitz sign: bleeding spots when scales scraped off

~ assoc w nail pitting and psoriatic arthritis (found in <1/3 of cases)

 

Acanthosis present more often in long-lastin lesions; but may not be present in pustular psoriasis or earlier lesions

 

Guttate ("raindrop") psoriasis is a subtype caused by triggered by Staphylococcus and can be self-limiting

 

Micro: Stratum corneum (which has no serum??) has collection of neutros (Munro's abscess)

- loss of granular layer; but no atypia in keratinocytes

- sandwich sign: alternating layers of neutros and parakeratosis

- windy BVs in dermal papillae

- spongiform pustules of Kogoj (???)

 

***Neutros in stratum corneum: Pus In Corneum, STDs (PIC STDs)***

*** Psoriasis, Impetigo, Candida, Syphilis, Tinea, Dermatitis (seborrheic) ***

 

Tx: Roids, UV, tar

Seborrheic dermatitis

 

A psoriasiform spongiotic dermatitis occurring in the seborrheic areas including the face, scalp, axilla, and groin, and is assoc c HIV and AIDS, Parkinson disease, epilepsy, neuroleptic drugs, and DM

 

Micro: netros crusted at edge of hair follicle, irregular epidermal hyperplasia with mild spongiosis, hyperkeratosis, follicular plugging, and mound of scale crust at the shoulder of the follicle

 

 

 

Seborrheic dermatitis

Seborrheic dermatitis

Interface / Lichenoid

 

Interface not the same as Lichenoid

Interface: vacuolization of the basal layer of epidermis, with lymphs abutting the DEJ causing death of keratinocytes (Civate bodies / colloid bodies, Satellite cell necrosis in GVHD)

 

Lichenoid: band of infiltrate of lymphs at DEF causing death of keratinocytes (Epidermal changes include "sawtoothing" of the rete and hyPERgranulosis)

Benign lichenoid keratosis

Benign lichen keratosis / lichen planus-like keratosis (BLK / LPLK)

 

Acutely developing rash (<3 mo); erythematous or pinkish papule or plaque

- dermoscopy can show remnants of pigment network, subtle blotches of brown color, clusters of grey dots and dotted, irregular linear and other shaped telangiectatic BVs

 

Micro: classic variant shows epidermal acanthosis c band-like lichenoid lymphocytic infiltrate

- single lymphs seen along dermoepidermal junction w/o epidermal acanthosis and adjacent lentigo

 

Erythema dyschromicum perstans (EDP)

 

- aka ashy dermatitis or dermatosis cenicienta (Cinderella in Spanish)

- b9, uncommon, presents c generalized ashy-gray colored macules on body, usually seen in Latinos and Indians

 

Micro: basket-weave cornified layer, slight epidermal hyperpigmentation, vacuolar alteration of basal layer, melanophages in subepidermal region, sparse superficial perivascular lymphohistiocytic infiltrate

 

Tx: roids, UV, pigment lasers

Erythema dyschromicum perstans

EDP

Erythema multiforme (EM)

 

Blistering skin disorder assoc w infx (M. pneumoniae, HSV), drugs (sulfas, B-lactams, phenytoin) cancer, autoimmune dz

- considered a Type IV rxn {2},

- MCC of EM is infectious (herpes, Mycoplasma pneumoniae) and is usually seen in kiddoes

- MCC of SJS/TEN is from MEDICATIONS (usually TMP-SMX, allopurinol, carbamazepine, lamotrigine, phenytoin, NSAIDS, cephalosporing, aminopenicillins, and quinolones)

- has IgM deposits

- as a rule, involvement of the lips and oral mucosa is present

 

EM Minor: usually 2/2 infx (a hypersensitivity rxn), #1 is HSV

- Mucous membrane involvement is mild

 

EM Major: usually secondary to drugs (sulfonamides, NSAIDs), one or more mucous membranes typically affected, most often oral mucosa

 

Presents w MULTIple types of lesions: macules, papules, vesicles, and target lesions (pathomneumonic central core of blister or necrosis surrounded by erythema)

- keratinocyte injury mediated by CD8 T-cells homing in on the skin, concentrated in the central portion, with CD4 T-cells in the peripheral macular erythematous area

- likes to form in palms and soles, where antigen processing is high; mucous deposits may be assoc c CTD {2}

- basal vasculopathic (basovacuolar degeneration) are small holes obscuring the dermal-epidermal junction

 

If assoc c fever and very extensive with NECROSIS, think SJS, esp if in a kiddo

- very dangerous; involves sensitive areas (mucosa and genitals)

- TEN an even worse variant on this spectrum, with diffuse necrosis and skin sloughing (> 30%, vs SJS <30%)

-- TEN may be treated with IVIG, which binds circulating FAS responsible for its pathogenesis

 

CD8 lymphs damage keratinocytes in the skin with IgM deposits due to infx (Mycoplasma pneumoniae, EBV, HSV, histo), drugs (sulfas, penicillins, phenytoin, barbs, ASA), ca, autoimmune

- see variety of lesions (hence MULTI-FORME): target lesions (pale center with red periphery), macules, papules

 

More severe (life-threatening) form is Stevens-Johnson Syndrome (SJS), which is aka erythema multiforme major, which involves mucosal surfaces in addition to skin

- involves <30% of skin surface; if >30% --> Toxic Epidermal Necrolysis (TEN)

-- Both of these have high mortality rates

- if 10-30%, known as SJS/TEN overlap

 

Histology: Interface dermatidities - superficial lymphocytic infiltrates around vessels which migrate up to DEJ causing edema and eventually invade upper dermis levels

- vacuolar interface change, scattered necrotic keratinocytes, interface lymphocytes

Normal corneum (basket-weave orthokeratosis) with crazy necrosis underneath corneum which is out of proportion to the amount of inflam (primarily lymphs in early phases) and basal layer vacuolization

- MCC is HSV orolabial infx

 

- interface dermatitis classified by type of infiltrate or by degree of inflam (if lots of lymphs, coined lichenoid interface dermatitis)

-- more likely to see eos if caused by drugs {2}

 

The basement membrane may be at the top of the blister (if separation occurs subepidermally) or underneath the blister if occurs at DEJ

 

DDx: SSSS (has more superficial level of blistering)

- generalized fixed drug eruption (rare subset of fixed drug eruption that presents with more widespread annular vio;aceous lesions and can become bullous; can be difficult to differentiate, although with fixed drug eruptions usually have superficial and deep perivascular mixed inflammatory infiltrates, often with eos)

- Acute graft versus host disease (rarely has mucosal involvement)

- morbiliform drug eruptions (never has mucosal involvement, and do not progress to widespread skin sloughing)

 

Tx: normally resolves in 7-10 days

- for SJS and TEN, the first step in tx is the immediate identification and withdrawl of the causative drug (Abate Derm Urgencies and Emergencies, Archives of Pathology 2019)

 

Px: mortality as high as 30%, depends on the amount of body surface area involved, age of pt, heart rate, presence/absence of underlying malignancy, and lab values (BUN, glucose, bicarb)

- the prognostic factors taken into a score called SCORTEN

- can have long-term sequelae such as scarring, esophageal stricture, genital adhesions, chronic bronchitis

- pts usually transferred to burn units

 

Erythema multiforme

Stevens-Johnson syndrome

EM

Erythema-Multiform-like TEN

Lichen nitidus

 

Crusty, hemorrhagic, pin-sized papules, which can be on the buttox of youngins

- shows "ball in claw" pattern of inflam where lymphohistiocytic infiltrate localized to one to a few dermal papillae surrounded by elongated retes (usually not seen on bx)

Lichen nitidus

Lichen nitidus

Lichen planus

Lichen planus

 

Middle aged pt c lesions on flexor surfaces and in oral mucosal surfaces (in 3 of 4 pts)

- may be assoc c Hep C, but etiology is unknown

- Wickham striae: white lines on surface

- Koebner's phenomenon - scratching spreads the lesion

*** Pruritic Purple Polygonal Papules Planar***

 

Histo: Epidermal hyperplasia c prominent granular layer (wedge-shaped hypergranulosis) and lichenoid infiltration pattern with irregular epidermal acanthosis causing a sawtooth rete ridges appearance w/o parakeratosis or eos

- Civatte bodies (in epidermis), cytoid bodies, and coloid bodies (Melanoderma???, in papillary dermis) which are apoptotic squames and stain c PAS and Collagen IV

- not likely if parakeratosis is present

- Max- Joseph spaces: subepidermal clefts

 

If lichenoid and psoriaform --> do IHC for Treponema!! (Warthin starry is "Worthless" starry usually)

 

If looks like LP and has eos --> consider lichenoid drug eruption

 

IF: IgM deposits in colloid bodies at dermal junction, linear and shaggy deposition of fibrinogen at DE junction

 

Lichen planopilaris

 

Inflammatory scarring alopecia that usually involves the frontal scalp and can present c lichenoid papules on other parts of the body

- Scarring of the follicles

 

Micro: lymphocytic (lichenoid) infiltrate of the upper third of the follicle

- decreased inflam c inc dermal depth

- colloid bodies may be seen in superficial dermis around follicular epithelium

- may have interfollicular involvement (usually doesn't)

 

Ddx: Discoid Lupus - has superficial and deep inflammation; does give interface changes in interfollicular epithelium; is another part of the dx in of scarring alopecia

Lichen planopilaris

Frontal Fibrosing Alopecia

 

Named 2/2 clinical distribution

 

Micro: similar (identical?) to lichen planopilaris, with lichenoid inflammation and subsequent follicular epithelial damage and scarring in the vicinity of follicular infundibula

Androgenetic alopecia

- aka male pattern baldness

 

Mediated through DHT on outer root sheath and follicular papillae in characteristic clinical distribution or pattern

 

Micro: increased numbers of smaller indeterminate and vellus-sized hairs that are progressvely lost over time

- may occus with chronic telogen effluvium, such that a low grade increase in catagen/telogen follicles may be notes

 

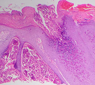
Lichen sclerosus

 

aka Lichen sclerosus et atrophicus (LSA)

Atrophic hypopigmented patches / plaques on anogenital region / upper trunk / neck usually in perimenopausal women; may co-exist c lichen planus and morphea

- assoc c HLA DQ7

- same thing as balanitis xerotica obliterans on glans penis

 

***Red White and Blue!!!*** Red = compact stratum corneum, White = papillary dermal pallor, Blue = band of lymph infiltrate ***

 

Micro: orthokeratotic hyperkeratosis c epidermal artophy, hydropic degen of basal layer, vacuolar interface dermatitis and follicular plugging

- papilalry dermis replaced by edematous hypocellular staining band c chronic inflam (papillary dermal pallor c underlying lymph band)

- there is hyalinized, glassy collagen in the upper epidermis (which has probably undergone some inflam process, collagen bundles packed really close together) with a band of lymphocytic and histiocytic inflam underneath and a normal collagen underneath the inflam

- will still see vacuoles at the base of the epidermis where the lichenoid reaction used to be (starts as lichenoid process at skin surface and then moves away from epidermis and moves deeper into dermis)

Lichen sclerosus et atrophicus

Lichen sclerosus et atrophicus - hyalinized collagen in upper epidermis serparated by band of inflam from normal collagen in lower epidermis

Lichen simplex chronicus

 

Thickened lichenified plaques from long-standing rubbing or scratching

- usually seen in pts c atopic dermatitis or chronic contact dermatitis

- prurigo nodularis (Picker nodule) is the same basic process but presents as a circumscribed hyperkeratotic papules or nodules, usually on the extremities

 

Micro: marked irregular hyperplasia of the epidermis c hypergranulosis, orthohyperkeratosis and streaking fibrosis of the dermis

 

Lichen simplex chronicus

Lichen striatus

- Blaschko linear acquired inflammatory skin eruption (BLAISE)

 

Asymptommatic dermatosis of unknown etiology, F>M, 5-15 yo

- rash in linear distribution following Blaschko lines, which are erythematous or flesh-colored scaly papules

- nail changes usually seen including onycholysis, splitting and nail loss; atopy in 6/10 pts

Tyndall effect - light refracting out at different wavelength

 

Spongiotic dermatitis + lichenoid / interface

- basal layer liquefaction

- lichenoid lymphocytic infiltrate

- superficial extending deep

- syringocentricity

- mild to psoriaform acanthosis

 

Lymphs around eccrine glands?

- think lupus, lymphoma, and rarely tinea

 

 

Lichenoid drug eruption

 

Has similar features to other lichen rxns, except usually has more eos

 

Lichen striatus. A, Erythematous, scaly, papular eruption following the lines of Blaschko on the right leg. B, Detail of lichenoid lymphocytic interface dermatitis. C, Lymphocytic infiltrate involving eccrine gland coils (B and C, H&E; ×100).

Morphea / scleroderma

 

Morphea (aka localized scleroderma( is the MC of the sclerosing disorders

- can have variable presentation

 

Group of dz's, with deep dermal sclerosis always there, and can go all the way down to the bone

- some see lichen sclerosus as a superficial form of morphea

 

Rectangular punch bx c trapped eccrine glands 2/2 loss of adventitial fat, thick closely packed red ollagen bundles in lower dermis

- no interface dermatitis, but can see some inflam at lower dermal levels

- usually early signs are a superficial and deep perivascular lymphoplasmacytic infiltrate c varying amts of perieccrine inflam

- later can see collagen fibers thicken and become hyalinized and eosinophilic

- eccrine glands lose their surrounding fat and can disappear completely

 

Scleroderma usually has inc deep dermal mucin, and is usually on the upper back

Morphea

Morphea (localized scleroderma)

Lupus erythematosus

 

Vacuolar or lichenoid inflam changes c lymphs in almost every hole, RBC extravasation into epidermis

- mucin bwt collagen bundles in dermis (stains c PAS-AB)

- compact and follicular hyperkeratosis

- BM thickening

- vertical columns of lymphs and periadnexal lymphs

- follicular plugging

- melanoderma (melanocyte incontinence)

- may see inflam of fat (panniculitis) and adnexa

-- nodular lymphoid aggregates fairly specific for lupus (may be called lupus profundus (aka lupus panniculitis)); usually seen on extremities, and also has prominent plasma cells and hyaline necrosis (eosinophilic deposition between adipocytes) with hyalizing fat necrosis

- no significant spongiosis, though can see hydropic alteration of basal layer (???)

 

IF: full house (continuous granular band of IgG/A/M and C3) at BM

 

Interface dermatitis – Lupus Erythematosus

• Lymphocytes abutting the DEJ

• Squamatization of the basal keratinocytes

• Compact orthokeratosis/hyperkeratosis, often with follicular plugging (discoid variant)

• Superficial and deep perivascular and periadnexal predominately lymphocytic inflammatory infiltrate (eosinophils are NOT a feature)

-- Dermatomyositis (DM) has essentially the same histology

• Increased dermal mucin

• Thickened basement membrane (seen on PAS)

• Granular pattern of IgG, IgA, IgM and C3 along

basement membrane seen on DIF (“lupus band test”)

 

 

Neonatal Lupus

- self-limiting disorder 2/2 maternal autoantibodies crossing placenta, can lead to neonatal heart block and arrhythmia

- micro: ratty basal layer with vacuolar interface changes and necrotic keratinocytes that extend into adnexal epithelium

- dermis with prominent mucin

 

Lupus erythematosus`

Discoid lupus - Vacuolation of basal epidermis (red), follicular plugging (blue), hyperkeratosis (green), inflam around superficial and deep vessels around hair follicle (yellow)

Pityriasis lichenoides

 

Rare cutaneous dz of unknown etiology

- encompasses spectrum of clinical presentations ranging from acute papular lesions that rapidly evolve into pseudovesicles and central necrosis (PLEVA) to small scaly papules (Pityriasis Lichenoides Chronic [PLC])

- lesions can self-involute and resolve over weeks and/or new lesions occasionally can appear in crops, waxing and waning spontaneously for months to years

 

Micro: parakeratosis, spongiosis, mild epidermal acanthosis

- basal keratocytic vacuolar change

- epidermal exocytosis of lymphs and erythrocytes

- moderately dense, wedge-shaped lymphohistiocytic infiltrate extending to the reticular dermis

 

Pityriasis lichenoides et varioliformis acuta (PLEVA)

Vacuolar interface dermatitis c a lymph in every vacuole and transepidermal elimination of RBCs

- no papillary dermal fibrosis

- neutros marginate in the deraml BVs

- compact hyperkeratosis and focal parakeratosis often with neutrophilic scale crust

- dyskeratotic cells in epidermis

- neutrophils in dermal vessels

 

***

Parakeratosis

Lichenoid infiltrate

Extravasated RBCs

V-shaped infiltrate

Apoptotic keratinocytes

***

 

Spongiosis c intraepidermal vesicles

- no vasculitis unless ulceronecrotic variant

 

Mucha-Habermann disease

 

 

PLC - much like PLEVA but milder

 

Pityriasis lichenoides

Pityriasis chronica et acuta

PLEVA

PLC

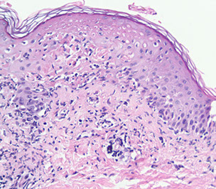
Pityriasis Rosea (PR)

 

 

- Acute, self-limited dermatosis

- Presents as oval, salmon-pink papulosquamous lesions on trunk and prox extremities which are usually preceded by a "herald patch"

- lesions can form a "christmas tree" distribution on the trunk

 

Micro: Mild epidermal spongiosis c mounded parakeratosis and extravasation of erythrocytes into papillary dermis

- sometimes admixed eos

PR - Herald patch

PR

Parakeratosis

PR

Mounded parakeratosis in Pityriasis Rosea

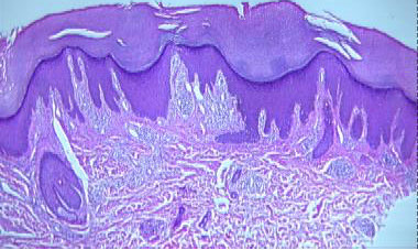
Porokeratosis

 

Column of pink parakeratosis shooting out of skin at 45 degree angle (the cornoid lamella) -- what happens between the cornoid lamella stays between the cornoid lamella (all the atypia is between the cornoid lamella) -- kinda looks like a train billowing smoke

 

- can have some lichenoid inflam (??)

 

Porokeratosis`

Porokeratosis

Syphilis

 

Slender acanthosis with basal-layer vacuolar interface inflam

- vessels seem to not have a lumen 2/2 swelling of vascular endothelium

- pink cytoplasmic background in inflam

- can see lots of plasma cells

 

DDx: lupus (if lichenoid and psoriaform do IHC for treponema!!)

 

Syphilis

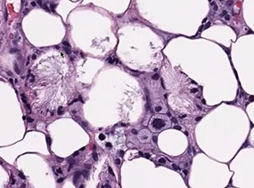
Tuberous xanthoma

 

Yellow nodules MC on elbows, knees and butt and assoc c problems c lipid metabolism

 

Fibrotic nodule c occasional foam cells throughout dermis and possibly cholesterol lefts

- fibroblasts found in older lesions

Eruptive xanthoma

 

Yellow papules c red halo, assoc c inc chylomicrons in blood and deficiencies in LPL; MC on butt or thigh

- Dermal lipid deposition in early lesion is so strong that histiocytes are unable to eat it all, so it gets deposited as extracellular lipid

 

Micro: foam cells and extracellular lipid with scattered lymphs and neutros in early lesions

Xanthelasma

 

Sharply demarcated yellowish deposit of cholesterol under the skin, usually on or around the eyelids

- there is no high-quality evidence that these xanthelasma deposits are related to blood LDL levels or inc risk of atherosclerosis

 

Tx: trichloroacetic acid peel, surgery, lasers, or cryotherapy

Xanthelasma

Perivascular

 

Superficial and Deep Perivascular Inflammation

*** 8 L's ***

Light reactions, Lupus, Lues (syphilis), Leprosy, Lichen striatus, Lymphoid proliferations (lymphoma, reactive lymphoid hyperplasia), Lipoidica, Lepidoptera (parasites and arthropods)

 

Drugs

Dermatophyte infection, Reticular erythematosus mucinosis, Urticaria, Gyrate erythemas, Scleroderma

 

Mixed infiltrate c Eos?

If deep (eccrine glands/ follicular structures) --> arthropod, fungal, scabies or  parasite

- if angiocentric --> drug

If paucicelular and interstitial --> urticaria

If edema/blister/festooning --> BP

If spongiosis --> contact, erythema toxicum neonatorum (ETN)

If vesicular --> incontinentia pigmentii (IP)

If vascular --> angiolymphoid hyperplasia ...?

 

Minimal change ddx

*** I VACUUM DOG PUS ***

Ichythyosis

Vitiligo

Argyria

Candida

Urticaria

Urticaria pigmentosa

Macular amyloid

Dermatophyte

Onchocerciasis

Gold

Psoriasis-Guttate

Ulerythema Ophyrogenes

Seb Derm/Scleroderma

 

Drug reactions

- good luck dx'ing on a bx; mostly just done to prove that it is not something else

 

Dermal Edema DDx ???

Sweets - sea of neuts

Orf - Ulcer, net like degeneration

DH dermatitis herpetiformis

ACD

PMLE - Polymorphous Light Eruption

Anthrax

Pernio

Pernio

 

looks a lot like PMLE, except is on acral skin; aka chilblains, idiopathis vs lupus chilblains, best distinguished on serology and presence of other SLE stigmata; lupus chilblains almost exclusively in women during winter, idiopathic pernio morelikely in males given inc prevalence of outdoor activities

Eosinophilic cellulitis

 

aka wells syndrome

Recurrent non-infections bilateral cellulitis

may get a greenish hue

Inc IL-5

Responds to steroids

 

Micro: tons of eos superficial and deep

Flame figures -  collagen coated in eosinophilic granule major basic protein

 

Eosinophilic cellulitis - Wells

Flame figure, Wells

Eosinophilic Fasciitis

 

Hyalinized thick fascia, variable infiltrate of lymphs plasma cells,

- aka Schulman's syndrome

Arthropod bite

 

Red pruritic papules, can be ulcerative

 

Micro: Superficial and deep perivascular and interstitial inflam made of lymphs and eos c overlying spongiosis of epidermis

Eos underneath ulcerated skin in an arthropod bite

Kyrlie's disease

 

Epidermal hyperplasia c hyperkeratotic plug, FB giant cells sometimes

Granulomatous Dermatitis

 

Five patterns:

1) Sarcoidal - Prototype is sarcoidosis

– Epithelioid cells and giant cells with asteroid bodies

– Naked granulomas (little or no peripheral lymphocytes/plasma cells)

 

2) Tuberculoid - Prototype is tuberculosis; +/- caseation necrosis

– Langhans type giant cells (horseshoe shape)

 

3) Necrobiotic/Palasaded - Prototype is Granuloma Annulare

– Epithelioid histiocytes, lymphocytes and occasional giant cells with areas of “necrobiosis” (altered collagen)

 

4) Supprative - Has associated neutrophils

– Infectious cause likely, also could include pyoderma gangrenosum and ruptured cysts/folliciles in this category

 

5) Foreign Body (exogenous or endogenous) – Be sure to polarize

 

6) Xanthogranulomas

 

7) Miscellaneous – ie. Interstitial granulomatous dermatitis, Interstitial granulomatous drug reaction, Actinic granuloma (of O’Brien)

Pyoderma gangrenomum

Pyoderma Gangrenosum

 

Associated with Ulcerative Colitis

 

Treatment:

No NOT surgically debride the lesion, will spread even more!!! (Koebner phenomenon)

Ecthyma gangrenosum

 

Seen in immunocompromised patients , where bacteria invade and infiltrate vessel walls and perivascular spaces causing vascular necrosis and ulceration of overlying epidermis

- usually has minimal inflammation

 

Medical emergency - need to alert clinicians!!

Ecthyma gangrenosum - necrotizing vessel with thrombus surrounded by bluish bacteria

Graft Versus Host Disease (GVHD)

 

Nonspecific morbilliform eruption in HSCT patients

- vacuolar interface dermatitis, should have clinical hx compatible c GVHD (chemotx)

- in early stages, can be histologically indistinguishable from other common rashes, like biral exanthems or drug eruption in the post-transplant period

 

Grade 0 - Normal skin

Grade 1 - Subtle vacuolar alteration of the DEJ

Grade 2 - Dyskeratotic cells in epidermis and/or follicle, dermal lymph infiltrate

Grade 3 - Fusion of basal vacuoles to form clefts/subepidermal vesicle formation

Grade 4: Separation of epidermis from dermis, with full thickness epidermal necrosis

 

Tx: systemic steroids

 

Chronic GVHD can mimic a lot of skin dzs, usually scleroderma or lichenoid

Annular Elastolytic Granuloma

 

Uncertain etiology

- presents c annular erythematous plaques usually on sun-exposed areas, usually sudden onset

 

Micro: elastin degeneration, MNGCs, elastophagocytosis

 

Tx: hydroxychloroquine


Annular Elastolytic Granuloma

Lymphomatoid Granulomatosis (LYG)

 

Pts present c multiple plaques, papulles, nodules, constitutional sx, and pulmonary sx, usually pts 30-50 yo, 2M>1F, immunodeficient pts

- multisystem lymphoproliferative dz 2/2 B-lymphs latently infected c EBV

- cutaneous lesions seen in 1/3 of pts which can be ulcerated, usually seen more on the extremities, but can have some lesions on the trunk

Micro: lymphocytic or lymphohistiocytic infiltrate c periadnexal or perivascular distribution in the dermis or underlying fat

- MNGCs may or may not be seen

- poorly formed granulomas can be seen in the subcutaneous tissue, well-formed granulomas are rare

- angioinvasion and angiodestruction are seen in the majority of cases, but is not needed to make the dx

 

IHC/ISH: EBV + B-cells can be seen in skin bx, but are usually more sparse than that seen in pulmonary bx using EBER-1 or EBER-2 (Epstein Barr virus encoded RNA)

- can be graded based on the amount of EBV-positive B cells, with grade 1 having <5 per HPF, grade 2 having 5-20 /HPF, and grade 3 with >20 /HPF

 

DDx: if sheets of atypical B cells are seen, the dx of DLBCL should be considered rather than LYG

- Wegener granulomatosis, extranodal NK/T cell lymphoma, nasal type lymphoma, PTLD, other lymphomas

LYG

Rhythmic Paradoxical Eruption (Macaulay)

 

Group of recurrent skin eruptions with self-healing b9 clinical course, but showing a malignant lymphoreticular process

- lesions begin as skin-colored non-painful papules and nodules that transform to ulcerated purplish tumors up to 2-3 cm

 

Micro: scale-crust and ulceration of surface

- epidermal hyperplasia c edema of papillary dermis c lots of erythrocytes

- lots of neuts in epidermis

- dense diffuse or nodular infiltrate in dermis with lots of atypical mononuclear cells and some multinucleated cells in a mix of small lymphs, histiocytes, eos and varying amts of neuts and plasma cells

- occasional Reed-Sternberg-like cells

- neuts present in vessel lumina

- scattered nuclear dust in dermis

- infiltrates can extend to subcutis

 

DDx: Hodgkin lymphoma (has clear Reed-Sternberg cells and lots of eos), tumoral mycosis fungoides (lots of plasma cells in infiltrate and tendency to involve epidermis c atypical convoluted lymphs

 

Px: even w/o tx, most lesions heal in months c a scar

- about 10-20% of cases evolve to malignant lymphoma or Hodgkin dz

 

Rhythmic Paradoxical Eruption (Macaulay)

Papular Acrodermatitis of Childhood

- aka Gianotti-Crosti disease

 

Cutaneous rxn possible 2/2 HBV or EBV antigenemia, clinically c abrupt onset of discrete, flat-topped erythematous papules in groups localized symmetrically to cheeks, buttocks and etremities of kiddos 1-6 yo assoc c fever and lymphadenopathy

 

Micro: focal parakeratosis overlying small wedge-shaped lesion

- focal spongiosis in upper epidermis c atypical lymphs

- slight psoriasiform hyperplasia

- marked edema of papllary dermis and extravasation of RBCs

- moderately dense superficial and deep perivascular infiltrate made of lymphs and histiocytes

 

DDx: Papular eczematous dermatiitis (differentiated by involvement of superficial vessels alone and absence of atypical lymphs in spongiotic foci)

 

Gianotti-Crosti dz

Granulomatosis

 

Juvenile xanthogranuloma

 

Isolated yellow papule in kids or adults, on upper body or in eye - thus can be assoc c glaucoma and amblyopia

 

- assoc c NF1, juvenile CML, Niemann-Pick

 

Histo: dense mononuclear infiltrate c foamy histiocytes and formation of Touton GCs

- overlying dermis looks flattened; inc eos common

 

IHC: (+) CD56 / HAM65, S100

JXG

Granuloma annulare

 

B9, self-limited dermatosis c raised annular lesions on dorsum of hands/legs (sun exposed areas) that can be generalized

- assoc c morphea, chronic hep C, autoimmune thyroiditis, secondary hyperparathyroidism, Plummer's dz, MDS, DM

- resolved in <2 yrs but amy persist and can spontaneously regress after bx

 

Can have interstitial pattern c busy dermis at low power or palisading pattern c histiocytes surrounding altered dermal collagen and mucin

 

Micro: mid dermal necrobiotic collagen with mucin surrounded by palisading histiocytes, fibroblasts and lymphs

- focal and patchy with rare plasma cells and no cholesterol clefts

- sometimes foreign body GCs, vasculitis and mucin

- may need multiple sections to see necrobiotic collagen

 

IHC: (+) vimentin, lysozyme and CD68 in histiocytes, PAS-AB in interstitial mucin

- negative HAM56 in histiocytes

Granuloma annulare

Langerhans cell histiocytosis

- aka histiocytosis X

 

- see also: Bone Pathology

 

Gross: pink plaques that can look like amelanotic melanomas

- pagetoid spread possibly

 

Micro: affects DE junction and corium

- nuclei look like kidney beans

- acutely, inflam goes after follicles

 

IHC: (+) S100, CD1a, langerin, peanut agglutinin

 

EM: Birbeck granules

Langerhans cell histiocytosis

Necrobiosis lipoidica (NL)

 

MC in pts c DM, thus the original name diabeticorum (though affects <1% of pts c DM) usually atrophic yellow depressed plaques in pretibial area

 

Micro: rectangular punch bx 2/2 sclerosis c horizontal acellular pale degenerated collagen, top to bottom and side to side involvement with plasma cells in deep dermis

- large area of necrobiosis in dermis and subQ fat; usually c epithelioid histiocytes, giant cells and a well-formed granuloma

- no mucin !!!

- early lesions can look like interstitial granuloma annulare

- has degenerated collagen in the center of the pallisade (mucin in granuloma annulae and fibrin in a rheumatoid nodule)

 

DDx: mucin in granuloma annulae and fibrin in a rheumatoid nodule

Necrobiosis lipoidica diabeticorum

Necrobiosis lipoidica

NL- Tiers of necrobiotic collagen alternating with fibrosis

Necrobiotic xanthogranuloma (NXG)

 

Rare dz of unknown etiology c presence of papules and nodules c predilection for periorbital area, though can also been in extremities or trunk

- most pts c NXG have assoc monoclonal paraproteinemia (usually IgG kappa)

 

Micro: xanthogranulomatous infiltration in mid dermis extending to subcutaneous tissue c extensive areas of necrobiosis

- granulomatous infiltrate show epithelioid and foamy histiocytes c lots of Touton GCs admixed c chronic inflam response

- cholesterol clefts often seen in foci of necrobiosis

Necrobiotic xanthogranuloma NXG

Reticulohistiocytoma

Reticulohistiocytosis

 

LCH at or near birth that spontaneously resolves and has cutaneous nodules

- usually on the back of the hands (??)

- solitary reticulohistiocytoma is asymptomatic, though multicentric reticulohistiocytosis assoc c severe destructive arthritis, usually of the interphalangeal joints of the hands

- 15% have assoc autoimmune dz, 1/4 assoc c internal malignancy

 

Micro: diffuse infiltrate of large histiocytes c ground glass cytoplasm, like ground glass

 

IHC: (+) CD45, CD68, CD11b, HAM56

- neg: S100, CD1a

 

DDx: JXG

 

Rheumatoid nodules

 

Assoc c adult and juvenile RA and rheumatic fever, found on extensor of elbow and other joints and can occur in abdominal wall and heart; usually in subQ at sites of trauma or pressure points

 

Micro: in subQ fat / ST and can go to deep reticular dermis c fibrin deposits and necrobiosis in center on nodule surrounded by well developed palisading histiocytes, vascular granulation, lymphs, plasma cells and occasional leukocytoclastic vasculitis

- Has Fibrin in the granuloma

- granuloma annulare and necrobiosis lipoidica are more superficial

-- mucin in granuloma annulae and degenerated collagen in necrobiosis lipoidica

Rheumatoid nodule with fibrin granuloma

Sarcoidosis

 

Dx of exclusion; "Naked" granulomas formed by epithelioid histiocytes and MNGCs in a nodular pattern c little lymph inflam and no necrosis

- can see Asteroid bodies and Schaumann bodies, but not specific

 

Should diagnose sarcoidal granuloma after ruling out other infectious etiologies

 

Sarcoidosis

Panniculidities

 

Alpha-1 antitrypsin deficiency panniculitis

 

Lobular or mixed pattern

- neuts >> lymphs

- fat necrosis c foamy macrophages

- cystic changes in fat lobule

- ulcertion

- inflam in dermis

- fibrosis later

- can look similar to Weber-Christian dz on path

 

Cytophagic Histiocytic Paniculitis

 

Bean bag cells

 

Erythema infectiosum

- aka Fifth disease

 

One of the several possible manifestations of parvovirus B19

- is also called slapped cheek syndrome

- is part of the list of rash-causing childhood diseases, including measels (1st), scarlet fever (2nd), rubella (3rd), Dukes' dz (4th, however is no longer widely accepted as distinct) and roseola (6th)

 

Erythema infectiosum

Erythema Nodosum

 

An acute, nodular erythematous eruption limited to extensor aspects of lower legs, likely a hypersensitivity rxn, MCC is Streptococcal infx

Micro: Almost exclusively septal panniculitis that can be seen c granulomatous inflam (lymphocytic c giant cells), edema and fibrosis in the septum without causing necrosis in the fat lobule (AAT-1 deficiency can cause a similar picture of necrosis)

- neutros can be found in septum in acute phase

- may be assoc c coccidiomycosis, histoplasmosis, TB, leprosy, streptococcal infx (acute pharyngitis), or sarcoidosis

- Meischer's granuloma - cleft in the central portion of a granuloma (MC in chronic lesions)

 

Erythema nodosum

Erythema nodosum

Lipodermatosclerosis

 

Clinically looks like tapering of the legs above the ankles, resembling an upside down Champagne bottle, with brownish-red pigment and induration

- assoc c venous stasis / insufficiency

- lipomembranous fat necrosis (fat microcysts lined by eosinophilic material with crenelated appearance) and septal fibrosis characteristic

 

Sometimes overlying stasis dermatitis changes

- lobular or mixed pattern

- fat necrosis or sclerosis

- foamy macrophages

- lymphocytes

-lipomembranous changes

- arabesque bodies ("frost on a window")

- cystification

Lipodermatosclerosis

Lipodermatosclerosis

Nodular vasculitis / Erythema Induratum (EI) of Bazin

 

Usually in calves that can have drainage of liquefied fat, now is very rare; historically was assoc c cutaneous TB

- predisposing factors include abnormal amt of subQ fat, thick ankles, and abnormally poor arterial supply (which causes low-grade ischemia of the ankle region)

- the ankles become insensitive to temperature changes, and can turn blue when exposed to cold

- chilblains can be present

- called nodular vasculitis if PPD negative; EI if PPD positive

 

Lobular panniculitis with vasculitis

- caseating necrosis or fibrosis possible

 

"Chicken soup" necrosis (often caseating) of fat lobule c MNGCs

- in septum may see nodular neutrophilic vasculitis

Erythema induratum

Erythema infectiosum (fifth disease)

Pancreatic panniculitis

 

Predominantly lobular pattern

- mixed infiltrate

- fat necrosis c "ghost cells"

- saponification = basophilic deposits of fatty acids and calcium deposits

 

 

Pancreatic panniculitis

Sclerema neonatorum

 

Very bad, kids die young, crystaloid panniculitis, no immune response

 

Subcutaneous fat necrosis of the newborn

 

Kiddos survive, has more inflammation than sclerema neonatorum

- also has needle shaped clefts

-- needle-shaped clefts can also be seen in steroid-assoc fat necrosis

- assoc c hypercalcemia

Needle-shaped clefts of Subcutaneous fat necrosis of the newborn

Superficial thrombophlebitis ...

 

Subcutaneous panniculitis-like T-cell lymphoma

 

ab

- younger, self healing w/o ulceration

- 82% 5-yr survival

 

gd (HPS, massive necrosis/apoptosis)

- 11% 5 year survival

 

*** want your kids to get A's and B's, not D's ...***

- px of AB is much better

Vasculitic

 

Acute febrile neutrophilic dermatosis (Sweet's syndrome)

 

Assoc c myeloprolif dz, pts get red hot lesions after a URTI

- clinically presents as painful, dark red crusted plaques / nodules and assoc fevers

 

Micro: Marked edema of the papillary dermis (like a pink band under the epidermis) and neutrophilic dermal infiltrate

- Focal LCV (similar to below, but not necessarily effecting vessels) c space-dust neutrophils often seen

 

DDx: infx (should r/o c stains or culture)

Sweet's syndrome

Leukocytoclastic vasculitis (LCV)

 

Pruritic and palpable, sometimes c livedo reticularis or stellate infarcts

- MCC are Strep and meds

- is a vasculitis of the post-capillary venules

- usually idiopathic, but sometimes can be caused by drugs, infx, chemicals, cancer or systemic dz

- on req, may hint at this dz c "palpable purpura", most diagnostic biopsy from fresh lesion (from 18-24 hrs old)

- if not in the skin, usually involves joints, GI and kidneys

 

Micro: neutros invade the perivascular region; vessel wall may be expanded, due to deposition of fibrin in fibrinoid vascular necrosis

- RBC extravasation

- karyorrhexis around vascular space looks like space dust; or dismembered ants and scattered ant heads (leukocytoclasis)

- eosinophils and sometimes fibrin thrombi can be seen

 

PAS+, diastase resistant

 

DIF: IgG, M or complement in granular pattern

 

Px: good if not systemic

Leukocytoclastic vasculitis

Perniosis / pernio / chilblains

 

Localized inflammatory skin lesion on acral skin, esp fingers and toes, usually after cold exposure

 

Histo: Classically superfiical and deep inflammation, with variable vessels wall alterations usually features of vasculitis and characteristically perieccrine accentuation of inflammation

- usually also papillary dermal edema with or without vascuolar interface alterations

- Fluffy edema and expansion of BV walls w/o fibrin deposition and superficial and deep perivascular lymph inflam seen on acral skin

Perniosis

Tumid Lupus Erythematosus

 

Micro: Patchy perivascular lymphocytic inflam

- mucin in dermis and lymphocytes found in eccrine coil

Urticarial vasculitis

 

Characterized by urticarial wheals that typically last >24 hours and resolve with bruising

 

Histo-continuum bwt chronic urticaria and conventional LCV

- clinical variant of LCV

- sparser than LCV

- more neuts

 

 

Granuloma faciale (GF)

 

GF is actually a misnomer, bc there are no granulomas

 

Grenz zone (so does lymphoma and leprosy)

- diffuse infiltrate (eos numerous), PMNs, lymphohistiocytc

- LCV

- hemosiderin

- hemosiderin

 

DIF: IgG complement on BMZ+ around vessels

 

EED: neuts>eos, NO grenz

 

Granuloma faciale

EED

Erythema Elevatum Diutinum (EED)

 

Small vessel vasculitis, usually symmetric on extensor surfaces over joints, with fibrinoid changes in dermal BVs c PMN infiltration

- like LCV but c prominent interstitial neuts

- also eos, histios, lymph and plasma cells

- Onion-skin like perivascular fibrosis also seen in granuloma faciale

- older skins can have extracellular cholesterol clefts, and usually become fibrotic with a laminated appearance

- has acute histologic features despite chronic course

- dense neut infiltrate (can look like Sweet's)

- fibrosing LCV

- very hard to distinguish from granuloma faciale except for location

 

Atrophie blanche

 

epi atrophic +/- spongiosis

- "crayon-red" vessel plugs

Septic vasculitis

 

Direct toxin/immune vessel damage

- often 2/2 septic SBE, Neisseria, Pseudomonas

 

Micro: sub/intraepidermal pustules and necrosis

- Platelet-fibrin thrombi c PMNs +/- neutrophilic LCV

 

Hydrophilic polymer vasculopathy

 

May show PXE-like changes of the fat(?) can be seen in longstanding iflammatory dermatoses (?) such as lipodermatosclerosis, lichen sclerosus, morphea profunda, erythema nodosum

Hydrophilic polymer vasculopathy

Infiltrates

 

Pigmented Pruritic Eruption

 

Lichenoid infiltrate, extravasated RBCs

- neutrophils give you fibrin, which you do not see here, bu you do see in LCV

- has normal epidermis, some spongiosis or focal keratosis

- endothelial swelling and perivascular lymphs (lymphocytic vasculitis)

- hemosiderin

 

Pigmented Purpuric Dermatosis

 

- aka capillaritis

- is not a true vasculitis

- has multiple variants (Schamberg's has progressive pigmented purpura, asymptomatic cayenne pepper red-brown telangiectc patches; also Lichen aureus, Majocchic purpura, Gougerot-Blum, Doucas-Kapetnakis, contact allergy)

Doesn't hug DEJ like a true lichenoid process

- grossly has cayenne pepper-like appearance, no petechia / purpura

 

Micro: Perivascular lymph infiltrate (akka lymphocytiv vasculitis), RBC extravasation, hemosiderin,

Rosacea

- aka acne rosacea

 

Long-term skin condition that typically affects the face, causing redness, pimples, swelling and small and superficial dilated BVs

- cause unknown, inc risk c pos fam hx, several exacerbating factors

- may affect up to 10% of population, usually whites bwt 30-50 yo

- M=F, though males tend to present later

 

May see inc numbers of Demodex mites, and pts have been reported to have inc antimicrobial peptide cathelicidin

 

4 subtypes (can have multiple subtypes):

1. Erythematotelangiectatic rosacea shows permanent redness and tendency to blush easily, with telangiectatic vessels and possibly burning or itching, skin can be dry or flaky

 

2. Papulopustular rosacea presents c permanent redness with red papules and can be confused with acne

 

3. Phymatous rosacea is MC assoc c rhinophyma (an enlarged nose with surface irregularities)

 

4. ocular rosacea, affects eyes and eyelids which appear red and can be sensitive to light

 

Micro: broad spectrum of histopathologic changes seen

- may see prominently dilated BVs, usually mild to mod perivascular lymph infiltrate, a few plasma cells, and can have an active component

- rhinophyma usually shows sebaceous gland hypertrophy with scattered follicular plugging

- granulomatous form can have tuberculoid reaction usually around damaged hair follicles and necrosis with caseation

 

Tx: avoid triggers, several meds can help (ivermectin, isoretinoin)

 

Bullous Ichthyosis

- aka bullous congenital ichthyosiform erythroderma

 

AD, defective KRT1 or KRT10 genes

 

Micro: epidermolytic hyperkeratosis

- can be seen in b9 epidermal tumors or incidental finding

Bullous Ichthyosis

Infectious Dermatology

Arthropods

 

Scabies

 

May see mites, their eggs, or scabyla ?? in upper epidermis; "pigtails" in corneum (mite's egg fragments

- also chitinous substance

- inflam response similar to most other insect bites, pretty itchy

- possible skin separation c eos response, resembling bullous pemphigoid or Langerhans cell histiocytosis

 

Bacteriae

 

 

Bacillary angiomatosis

 

Bright red firm friable exophytic (big and bulging) papules caused by BArtonellA in AIDS pts that can be mistaken for Kaposi sarcoma

- usually not distinctly lobular; deep clusters of neutros in lesion; amphophilic collections of organisms

 

IHC: Bartonella organisms stain with Warthin-Starry or Giemsa stains

 

Tx: erythromycin

 

 

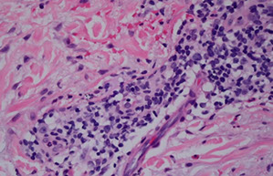
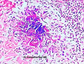
Granuloma inguinale

 

Bacterial dz cuase by Klebsiella granulomatis causing ulcerative genital lesions

 

Micro: PEH with abscesses of neutros

 

Donovan bodies - bacteria seen in cytoplasm of histiocytes seen best on thin sections

 

Leprosy

 

Micro: Globi (clear balls c central pink collection of mycobacteria inside that are highlighted by Fite)

- sheets of histiocytes around vessels and also grenz zone

 

IHC: Fite stain

 

Rhinoscleroma

 

Dz caused by Klebsiella rhinoscleromatis that has ctarrhal / atrophic, granulomatous, and sclerotic stages

- manifests as nodules of URT that can cause permanent disfigurement

 

Histo: sheets of plasma cells c Russell bodies (pink pregnant plasma cells) and Mukulicz cells (histiocytes c large round collections of bacilli)

 

 

Viri

 

Condyloma acuminatum

 

Positive hybridization can be seen for HPV

 

Micro: B9 acanthoma on genital skin, c compact corneum, hyperkeratosis, coarse hypergranulosis, vacuolated keratinocytes (c large gray nuclei)

 

 

Condyloma latum

 

Moist white papules in genital region 2/2 secondary syphilis

 

Histo: epidermal hyperplasia c lichenoid inflam c lots of plasma cells

 

IHC: can see Treponema pallidum c Wathin-Starry

 

 

Cytomegalovirus

 

 

Epidermodysplasia Verruciformis (EDV)

 

Genetic disposition to HPV-3/5/8/10 due to mutations in EVER1 and EVER2 genes making warts more persistent and widespread than normal

 

Widespread flat warts c cells that are large in granular and spinous layers foamy blue cytoplasm and clear nucleoplasm (perinuclear halo??)

 

 

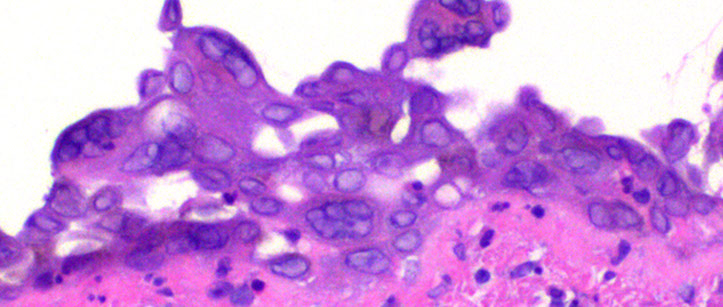
Herpes simplex

 

the M's: Molding, Multinucleation, Mulberry-shaped, Margination

- leukocytoclastic vasculitis, just a little

 

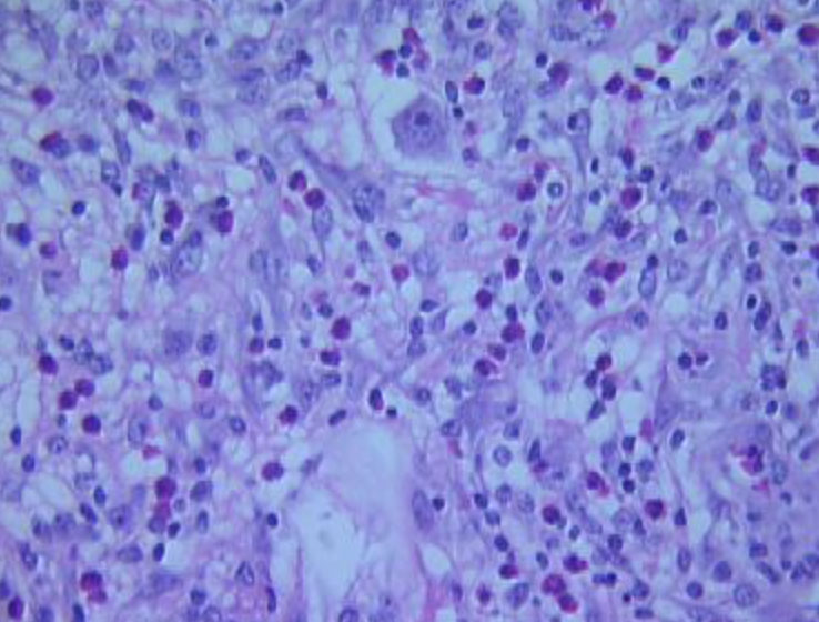
Herpes Zoster

 

the M's: Molding, Multinucleation, Mulberry-shaped, Margination

- leukocytoclastic vasculitis pronounced

 

Molluscum contagiosum

 

Infection due to molluscum contagiosum pox virus which presents as multiple nodules on skin of trunk or anogenital regions 2/2 skin contact (possibly sexual)

 

Micro: look for molluscum bodies (aka Henderson-Patterson) which are large keratinocytes c cytoplasmic, light red grainy inclusions that push the nucleus to the side

- dense infiltrate of lymphocytes may lead to thinking of lymphoma

 

Varicella

 

Similar to herpes simplex

 

 

Viral exanthem

 

Clinically looks like a generalized eruption or morbiliform (measels-like) rash

- show light superficial perivasc lymph infiltrate

- skin almost appears normal

 

 

Verruca plana

 

The flat wart, caused by HPV-3 or -10

 

Micro: "Bird's eye" cells that look like koilocytes without a shriveled up nucleus, which are perinuclear halos with condensation of keratohyaline granules

- hypergranulosis with vacuolization, acanthosis and basket-weave hyperkeratosis

 

 

Verruca vulgaris

 

The common wart

 

Micro: Compact corneum c papillomatosis that curves in towards the middle

- koilocytes may be seen

 

 

Warty Dyskeratoma (WD)

 

Presents as umbilicated papule c keratotic plug, usually on the head, neck or face

- solitary and sporadic

 

Micro: central cystic space with radiating pseudovilli made by acantholytic dyskeratosis

 

Genes: lack SERCA2, suggestive of an acquired genetic mutation in ATP2A2

 

 

Fungi / Yeast

 

Chromoblastomycosis

 

Chronic deep skin fungal infx affecting the traumatic innoculation site

- causative agent include several fungi in soil, wood and decaying plant material

- Phialophora verrucosa

Fonsecaea pedrosi (most common pathogen, accounts for > 90% of the cases in South America)

Fonsecaea compacta

Cladosporium carrionii

Rhinocladiella aquaspersa (Ramichloridium cerophilum)

 

Usually in tropical / subtropical areas, such as Brazil, Mexico, Colombia, Cuba, Dominican Republic

- esp seen in barefoot farmers and men

- presentation is usually verrucous lesion in extremities of adult men in outdoor work

- slowly progressive, usually ~15 years from initial lesion to time of dx

- may have elephantiasis

 

Micro: sclerotic bodies with pseudoepitheliomatous hyperplasia c intraepidermal abscess and pigmented fungal sclerotic boddies (Mediar bodies or copper penny bodies)

 

Dx: Culture at 25-30 C grows olive-green to black fungal colonies after 1-2 weeks

 

Tx: difficult and long, 1/3 cure rate, 2/3 improve, 1/10 fail tx

 

Tinea nigra

 

MC in hot and humid climates, infection by Hortaea werneckii that occurs on the palm and soles

- can see the pigmented hyphae in the corneum, but does not have melanocytic atypia

- can look similar to acral lentiginous melanoma (as a brown patch on the palms and soles)

 

 

Tinea versicolor

 

Tan, slightly scaly patches on trunk and extremities that can look similar to flat warts

 

Micro: loose basket-woven hyperkeratosis

- "Ziti and meatballs" groups of round spores and short curved hyphae in stratum corneum

 

IHC: can highlight hyphae and spores c PAS

 

 

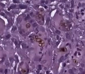
Protothecosis

 

Very rare; Algal infection; aerobic, achlorophyllous, algae-like, unicellular organisms in water, sewage and soil

- may infect toenails of pts c diabetes

- primary cell or spherule is the theca; reproduce by internal septation forming sporangia with up to 20 endospores

- can be P wickerhamii or P zopfii

 

Micro: necrotizing granuloma of subcutis c spherical organisms c central basophilia, internal septation and double layer walls

 

IHC: (+) PAS

 

Tx: Amphoteracin in disseminated, surgery if local

 

 

Erythasma

 

Intertriginous rash distribution 2/2 Corynebacteria (gram+ filamentous rods) with characteristic orientation in stratum corneum

 

Micro: vertically oriented filamentous bacteria in parakeratottic stratum corneum

Molluscum contagiosum

Herpes

Protothecosis

Chromoblastomycosis with copper penny bodies

WD with central white keratin core

WD

Verruca vulgaris

Verruca vulgaris - Prominent granular layer (red), hyperkeratosis (blue) papillomatous hyperplasia (green), inward bending of rete (yellow)

Verruca plana

Verruca plana

Condlyoma acuminatum

Diagram of condyloma acuminatum

Condyloma latum

Malassezia furfur

Erythasma

Chromoblastomycosis

Lobomycosis, seen in the pink river dolphin

Lepromatous leprosy

WD`

Genodermatosis, metabolic and other structual disorders

Chondrodermatitis nodularis chronica helicis

 

Small, single painful crusty papule on ear helix in men >40 yo that may be mis diagnosed as epithelial neoplasm

- usually hx of ear trauma (seen in telephonists and nuns that wore a wimple)

 

Histo

Ulceration, chronic inflam c hyper- and parakeratosis surrounding ulcer

- base of ulcer c granulation tissue involving cartilage usually

- may look like a glomus tumor 2/2 vascular prolif

 

Ulcer c adjacent acanthosis over layer of fibrin, which is surrounded on both sides by granulation tissue and ectatic vessels

- may see cartilage underneath depending on depth of biopsy

 

 

Mastocytosis / Urticaria Pigmentosa (UP)

 

UP is sporadic (not inherited) dz c multiple tan macules or patches

- UP is MC in childhood, but when involved in adults assoc c systemic dz and marrow involvement

 

Darier's sign - urtication (wheal and flare) c stroking

 

Micro: fried-egg mast cells in a reticular polka dot pattern in the upper 1/3 of the dermis

- small inc in spindly perivascular mast cells in telangiectasia musclaris eruptiva perstans (TMEP)

 

Genes: c-kit mutations seen in sporadic but not typical pediatric UP

 

IHC: (+) Giemsa used to identify granules in mast cells, c-kit stains similarly, (+) CD117

- neg: S100, CD1a, CD68, MelanA

- normal melanocytes and melanocytic lesions will also express CD117

 

 

Malignant Atrophic Papulosis

 

Intimal prolif of deep-seated arterioles that cause infarcts

- Dego's disease - variant causing a lethal syndrome, involving small bowel, heart, lungs, kidney, bladder and liver

- also benign and familiar variants

Clinically see small patches with central zone c depressed white, procelain like appearance and fine scale surrounded by narrow red or violaceous rim c fine telangiectasia

- skin lesions usually in trunk and prox extremity

 

Micro: hyperkeratotic and atrophic epidermis

- wedge-shaped dermal infarct c base parallel to surface epithelium

- pale and relatively acellular

- older lesions ulcerated

- endovasculitis in dermal vessels c endothelial cell hyperplasia and complicated by thrombosis

 

 

Pseudoxanthoma elasticum (PXE)

 

Rare, AR inherited metabolic dz of CT, though in 2% may be AD; first described in 1881 by Rigal

- characterized by mineralization of CT (elastic fibers), c primary clinical manifestations in skin, eyes, GI (causes GI bleeding), and CV system

- dx based on cutaneous and ocular signs, histopathology and pts fam hx

 

Skin lesions are yellowish asymptmatic papules, symmetric in neck and flexural areas (esp axilla)

- Ocular changes are angioid streak seen on ophthalmoscopy

- CV changes are calcification of small and med sized arteries, causing early atheromatosis, HTN, AMI

 

Micro: fragmented / distorted elastic fibers in reticular and deep dermis, which can be highlighted c Verhoeff-Van Gieson (VVG) stain, and Von Kossa (Ca2+) stains

- sometimes called purple Cheetos

 

Genes: ABCC6 / MRP6 gene, causing reduction or absence of transmembrane transport ADP dependent protein (MRP6) causing accumulation of extracellular material c subsequent deposition of Ca2+ and other minerals in elastic tissue

 

Px: may cause sudden death from coronary atherosclerosis c AMI, HTN, MVP, GI bleeds, or cerebral ischemia

Chondrodermatitis nodularis chronica helicis

Mastocytosis

Dego disease

Pseudoxanthoma elasticum

References

1. UpToDate. Lymphomatoid Papulosis