Natural Death

In most jurisdictions the following categories are used: - Natural: due entirely (or nearly so) to natural disease processes - Homicide: due to a volitional act of another person with the intent to cause fear, harm or death. “Death at the hands of another, where the action is intentional” OR by “omission” in elderly/child neglect or abuse - Suicide: due to injury that occurred with the intent to induce self-harm or cause one’s own death. “Death at the hands of one’s self” - Accident: due to injury when there is no evidence of intent to harm (including motor vehicle collisions) - Undetermined: inadequate information regarding the circumstances of death to determine manner

- Deaths due to complications of medical therapy that are reasonably expectable (e.g. neutropenia due to chemotherapy, digoxin toxicity) are considered natural - Deaths due to improper use of medical devices or improper therapy (e.g. malfunctioning morphine drip, failure to repair obvious arterial injury inflicted during surgery) are considered accidental - While acute alcohol or drug toxicity is considered an accidental death, deaths due to consequences of chronic substance abuse (hepatic cirrhosis due to ethanol abuse, endocarditis secondary to IV drug use) are conventionally considered natural in manner

 

 

Hyperglycemia

 

High vitreous glucose (>200mg/dL) is reflective of hyperglycemia

High glucose level combined with the presence of acetone is reflective of antemortem diabetic ketoacidosis (DKA)

B/c vitreous levels decrease postmortem, a low vitreous glucose is not considered significant (Hypoglycemia can not be listed as the COD  by low vitreous glucose alone)

 

Dehydration likely if vitreous:

urea nitrogen   >40 mg/dL

Na+  >150 mEq/L

Cl-    >125 mEq/L

 

Also note that the vitreous alcohol levels lag behind blood alcohol levels by ~ 2 hours

Hypoglycemia

 

Hypoglycemia is a medical emergency that involves an abnormally diminished content of glucose in the blood…aka….."low blood sugar"

The principal problems arise from an inadequate supply of glucose to the brain, resulting in impairment of function (neuroglycopenia).

Effects range from mild dysphoria to more serious issues such as seizures, unconsciousness, and (rarely) permanent brain damage or death.

The most common forms of hypoglycemia occur as a complication of treatment of diabetes mellitus with insulin or oral medications.

Other causes of hypoglycemia include:

excessive insulin produced in the body (hyperinsulinemia), inborn error of metabolism, medications and poisons, alcohol, hormone deficiencies, prolonged starvation, alterations of metabolism associated with infection, and organ failure.

Note: Hypoglycemia can not be definitively determined as the COD at autopsy by vitreous glucose levels alone b/c they decrease rapidly after death

 

 

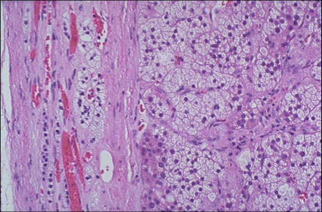
Adrenal Cortical Adenoma

 

Microscopically, the adrenal cortical adenoma at the right resembles normal adrenal fasciculata. The capsule of this benign neoplasm is at the left. There may be minimal cellular pleomorphism within adenomas

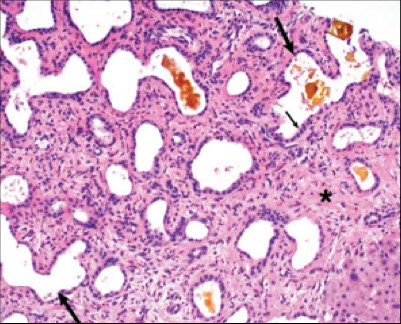
Bile Duct Hamartoma

 

A bile duct hamartoma is a benign tumor-like malformation of the liver. Also known as von Meyenburg complex

They are classically associated with polycystic liver disease, as may be seen in the context of polycystic kidney disease, and represent a malformation of the liver plate

 

 

Hepatic Cavernous Hemangioma

 

Cavernous hemangioma is the most common primary liver tumor

It arises from the endothelial cells that line the blood vessels and consists of multiple, large vascular channels lined by a single layer of endothelial cells, supported by collagenous walls

 

 

Hemopericardium

 

Most common causes:

Dissecting aortic aneurysm – with reverse flow into pericardial sac

Ruptured MI