Heart

Cardiac Anatomy + Histiology

Cardiac Embryology

Cardiac Pathology

Cardiac defects, genetic

Valvular heart disease

Bicuspid aortic valve

Brugada syndrome

Non-cyanotic heart disease

  • ASD, VSD, PDA, AV defects

Obstructive defects

Atherosclerotic plaques

Myocardial infarction (MI)

Dilated cardiomyopathy

  • Chagas disease

Arrhythmogenic RV dysplasia

Hypertrophic cardiomyopathy

Restrictive cardiomyopathy

Takotsubo cardiomyopathy

Rheumatic valve disease

Acute Rheumatic heart disease

Chronic Rheumatic Heart Disease

Mitral valve prolapse

 

Pericarditis

Bacterial endocarditis

Nonbacterial thrombotic endocarditis

Libman-Sacks endocarditis

Myocarditis

Giant cell myocarditis

Hypersensitivity myocarditis

Cardiac amyloid

Cardiac sarcoidosis

Fabry's disease

Rheumatic carditis

Transplant

  • Hyperacute rejection
  • Acute rejection
  • Acute antibody mediated rejection
  • Cardiac Allograft Vasculopathy (CAV)

Myxoma

Rhabdomyoma

Papillary Fibroelastoma (PFE)

Cardiac fibroma

Malignant mesothelioma

Intimal sarcoma

Cardiac Anatomy + Histiology

Heart reaches maximum weight at 20 yo, and is usually 0.45% of Total Body Weight for males (~300 g) and 0.40% for females (~250 g), but is variable depending on age, and physical activity status also

 

Pericardium

Pericardium covers entire heart and extends a little bit over nearby vessels

Parietal pericardium is dense fibrous tissue that does not stretch, which is why you can get tamponade c a quarter liter of fluid

- has a thin layer of mesothelial cells on inner surface

- visceral peritoneum also has layer of mesothelial cells, and is separated from parietal pericardium c ~50 mL straw-colored fluid

- left atrium and mitral valve can be accessed from the transverse sinus

- fibrosis and chronic inflam can cause constrictive pericarditis (should r/o infective processes)

 

Cardiac skeleton at base of heart anchors the AV and aortic valves; whereas the conus ligament anchors, which are made of dense collagenous CT c elastic fibers and sometimes some fat mixed in

- mitral and aortic valves have more fibrous tissue than the right-sided (tricuspid and pulmonary)

 

3 layers of the heart in all areas: external epicardium, central muscular portion, and endocardium

- may correspond to the adventitia, smooth muscle media, and the tunica intima, respectively, of blood vessels in rest of body

- Endocardium - single layer of endothelial cells, right underneath which is loose elastic framework and collagen bundles, nerves and little blood vessels

- smooth muscle found beneath endocardium in artia and ventricles

 

Interatrial septum separates R from L atria

- up to 1/3 of adults have small patent foramen ovale, which has no clinical significance, but is usually closed by the fossa ovalis which is as thin as paper

 

Right atrium found on right lateral cardiac border

- right atrial appendage comes out anteriomedially over RA and covers the aortic root a bit

- Chiari's network is a net-like structure in right atrium near opening of IVC and coronary sinus and is remant of right sinus venosus valve; may be confused c rt atrial pathologies; but may protect from pulmonary embolisms, but may also cause PEs if broken off, and can help in formation of WPW syndrome [1]

- found in 2-14% of population

Cardiac Embryology

Oxygenated blood comes in through umbilical vein, and goes through a shunt in the ductus venosus away from liver towards the heart

- oxygenated blood entering from the inf vena cava mixes with somewhat less oxygenated blood from sup vena cava, which then goes through the foramen ovale from the right to the left atrium

- blood not going through the foramen ovale goes through RV to the pulmonary artery, where the ductus arteriosus connects the pulmonary artery to the aorta to shunt blood away from the heart

 

Blood returning from the hypogastric arteries around the bladder enter the umbilical

fetal circulation (from Wikipedia)

Cardiac Pathology

Cardiac defects, genetic

 

- single gene mutations (NKX2-5 [5q34], GATA-4 [8p], TBX-5 [12q], TBX-1 [22q], PTPN11, JAG1);
- structural chromosomal disorders (Trisomy 21 Down syndrome, 45 X Turner syndrome, 22q11 microdeletion DiGeorge syndrome, 7q11.23 microdeletion William syndrome);

- many are multifactorial

 

NKX2-5 - [5q34] encodes transcription factor expressed very early in cardiogenesis and is responsible for activating transcription of most genes involved in the process

- can have large variety of structural malformations

 

GATA-4 - [8p], encodes transcription factor important in embryogenesis; assoc c inherited septal defects, esp ostium secundum atrial septal defects

 

Holt-Oram syndrome (heart-hand syndrome)

AD, TBX-5 [12q]

- characteristic heart and upper limb abnormalities

- upper limb malformations may involve the radius, thumb phalanges, or carpal bones and they range from severe (phocomelia) to minimal (subtle carpal bone deformities)

- usually bilateral and symmetrical and if asymmetrical the left is more severely affected

- Cardiac malformations most commonly take the form of septal defects, especially secundum atrial septal or muscular ventricular septal defects

 

Noonan syndrome

AD, mutated protein tyrosine phosphatase, non-receptor type 11 (PTPN11) gene (same as LEOPARD syndrome and some cases of Juvenile Myelomonocytic Leukemia [JMML]); incidence in general population ~1/1,500, though the incidence in kiddos c congenital heart dz as high as 1/100

- right-sided heart defects including pulmonic stenosis and hypertrophic cardiomyopathy

- lymphatic malformations also common

- aka "the male version of Turner's syndrome"

- prolonged coag times (eg vWD phenotypes, factor V def, factor VIII def)

 

Down syndrome (Trisomy 21)

50% of cases with structural cardiac anomalies, classically an endocardial cushion malformation causing a membranous ventricular septal defect

- can also get patent ductus arteriosus, atrial septal defect and AV septal defects

 

Turner's syndrome

45 XO, neck webbing, cardiac anomalies in 1/2 of cases, bicuspid aortic valve is MC defect, then coarctation of the aorta. Aortic root dilation is common and may lead to aortic dissection

assoc c ganglioneuromas and gonadoblastomas

 

DiGeorge syndrome

- aka velocardiofacial syndrome, or Shprintzen syndrome

22q11 microdeletion, TBX1 gene. 75% c cardiac abnormalities, esp conotruncal malformations including tratralogy of Fallot, interrupted aortic arch, ventricular septal defects and truncus arteriosis

 

William syndrome

elastin gene, 7q11.23 microdeletion

- dysmorphic facial features, MR, short stature, hypercalcemia, abnormalities of CT (hernias, diverticula, joint laxity, skin laxity) and structural cardiac and vascular defects

- most distictive cardiac anomaly is supravalvar aortic stenosis (hourglass stenosis)

 

The vast majority of structural cardiac anomalies are "multifactorial" in origin. That is, while a Mendelian pattern of inheritance is inapparent and a specific genetic defect has not been found, there is a clustering within families and around particular exposures. Furthermore, it is known that offspring of consanguineous parents are strongly predisposed to "multifactorial" structural cardiac anomalies. Structural cardiac anomalies are prominent among the multifactorial disorders, others being pyloric stenosis, cleft lip and cleft palate

 

Valvular heart disease

 

zona fibrosa: inner and outer fibrous layer

zona spongiosa: middle layer with thin connective tissue

 

Bicuspid aortic valve

 

leaflets usually of unequal size

- calcific aortic stenosis

 

Complications: infectious endocarditis (10-40%); aortic dissection (1-2%)

- congenital bicuspid valves have a concomitant ascending aortopathy that puts them at inc risk for aneurysms and dissections of the ascending aorta

 

Brugada syndrome

 

Most prevalent in southeast Asia

- presents in healthy young men as sudden death during sleep

- has characteristic ECG pattern

- Mutations in 8 genes (SCN5A, GPD1L, CACNA1C, CACNB2, SCN1B, KCNE3, SCN3B, HCN4)

 

Non-cyanotic heart disease

 

left to right shunts (ASD, VSD, PDA, AV defects)

 

- ASD: secundum defects are the most common - occur in the region of the foramen ovale (LA --> RA), but can occur anywhere; usually asymptomatic initially; can get a paradoxical embolism

 

- VSD: opening in septum (LV --> RV); MC (75%) membranous (bc last area to form); VSD is the MCC congenital defect and occur in isolation > 1/3 of the time; small defects may close spontaneously, but larger defects could lead to a R-->L shunt

 

- PDA: PA connects to aorta in the fetus; normally closes with inc O2 tension, dec vasc resistance, dec PGE2 about 1-2 days after birth (but may be delayed with hypoxia, prematurity, or heart disease; causes L-->R vol and pressure overload; clinically will hear a machine murmur

 

AV defects: endocardial cushion defect results from absence of septum and AV valves, physiologically mimicking ASD; assoc c Trisomy 21

 

 

 

Obstructive defects (Coarctation)

 

Narrowing of the aorta distal to the ductus; isolated in 1/2 of cases; lesions vary in length; assoc c fibroelastosis, PDA, VSD, bicuspid AV, TGA; BP elevated in arms (BP arms > legs); assoc c Turner's syndrome and bicuspid aortic valves

 

Pre-ductal: usually detected in infancy

- heart failure, weak pulses and cyanosis of lower extremities, assoc c Turner syndrome

 

Post-ductal: usually present in older children or adults

- Hypertension in upper extremities; hypotension in lower extremities

 

Cyanotic heart disease: right to left shunts (TOF, TGA, truncus arteriosus)

 

Tetralogy of Fallot

MCC cyanotic congenital heart dz, large VSD, overriding aorta, RV outflow tract obstruction (pulmonary stenosis/atresia), RV hypertrophy; inc PAP causes R-->L shunt

- majority of blood bypasses lungs --> hypoxia and cyanosis

- Tet spells: squatting to change shunt direction

Px: long-term survival rates with surgical repair

 

- TGA: 2 types; abnormal development of truncus arteriosus; aorta arises from the RV and pulmonary artery arises from the LV; incompatible with life without a connection (foramen ovale and ductus arteriosus); can be surgically repaired

 

 

Atherosclerotic plaques

 

Endothelial cell dysfunction --> macrophage and LDL accumulation --> foam cells --> fatty streaks --> sm muscle migration (PDGF and TGF-B) --> fibroatheroma (fibrous plaque) --> complicated fibroatheromas (hemorrhage and thrombosis)

 

Abdominal aorta > coronary arteries > popliteal > carotid artery

- spares upper extremities, aortic arch, mesenteric arteries

 

Patchy intimal thickening and secondary medial degen lead to weakening of vessel wall and narrowing of lumen

- complicated by aneurisms, ischemia, infarct, thrombi / emboli

 

Sx: angina, claudication

 

Vessel anatomy: made of adventitia, media, intima

- primary lesion in the intima (lipid core and fibrous cap), medial changes are secondary (loss of elastic fibers)

 

Osler's sign: pseudoHTN from atherosclerotic hardening of vessels that falsely elevates BP readings

- if pulse is felt after cuff inflated above systolic BP, it may indicate pseudoHTN (Osler's maneuver)

 

 

 

Myocardial infarction (MI)

 

defined area of necrosis >1 cm due to ischemia

 

Subendocardial: <1/3-1/2 myocardial thickness (<50%)

- subendocardium esp vulnerable to ischemia 2/2 few collaterals, inc pressure

- see ST depression on EKG (NSTEMI)

 

Transmural: total occlusion causes lots of necrosis of the entire wall

- Q waves and ST elevation on EKG (STEMI)

 

MI's grossly:

 

<2 days - brown and hard to see; can use nitroblue tetrazolium to help visualize (LDH allows nitroblue tetrazolium to stain normal muscle, but not dead muscle)

 

2-4 days: yellow necrotic zone surrounded by hyperemic zone

 

Later infarcts: gelatinous granulation tissue progressing to scar

 

Know sequence of changes in MI... (206-208)

 

Reperfusion - may result from balloon angioplasty or thrombolytic therapy

- accelerates the aging of the infarct, more hemorrhage with infarct and more contraction band necrosis

 

MI complications / healing:

Cardiac arrhythmia: important cause of death before reaching hospital

- common in the first few days

LV failure and pulmonary edema

Cardiogenic shock

- heart fails to generate output to perfuse tissues (dec SV, inc EDV, inc ESV, HypOtn, inc HR, JVD, pulmonary edema, clammy skin, weak pulses)

- labs: met acidosis, inc lactic acid, inc BUN/creatinine, PCWP >15, dec cardiac index

- tx: IV fluids CONTRAindicated (if fluids indicated do 250 mL trials), give Dopamine, dobutamine, avoid B-blockers and negative inotropes, IABP can help to rapidly stabilize

 

3-5 days: postinfarct fibrinous pericarditis (friction rub for 3-5 days)

- relieved by leaning forward

In normal healing, would grossly see soft, yellow-tan tissue c hyperemic border

- micro: dead myofibers and neutros c infiltrating macros at the edge cleaning up house

 

4-7 days post MI: ventricular free wall rupture --> cardiac tamponade; rupture of papillary muscle --> severe mitral regurg; intraventricular septum rupture --> VSD

 

several weeks: Dressler's syndrome - caused by production of Ab's against ag's released by heart in MI (Tx: NSAIDS)

 

Months / years later: aneurism formation --> dec CO, arrhythmias, emboli from mural thrombus

 

 

Holt-Oram

Noonan

DiGeorge Syndrome

Brugada Syndrome

Coarctation of the aorta

 

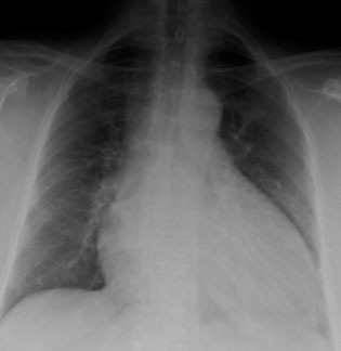
Dilated cardiomyopathy

 

MCC cardiomyopathy (90%); MCC heart transplantation; 3rd MCC heart failure [2]

 

Progressive cardiac hypertrophy, dilation, systolic dysfunction

- laterally displaced apical impulse, narrow pulse pressure, bundle branch blocks (cause arrhythmias that lead to edema and pleural effusions)

 

Etiology: 1/3 genetic (X-linked dilated cardiomyopathy assoc c mutation of dystrophin gene, the same as implicated in Duchenne and Becker muscular dystrophy

- AD dilated cardiomyopathy assoc c large number of mutations, MC in MYH7 gene encoding B myosin heavy chain

***ABCD*** --> chronic Alcoholics, BeriBeri, Coxsackie B virus, Cocaine (Chronically), Chagas, Doxorubicin (adriamycin), and postpartum

-Adriamycin: 1.7% toxicity incidence, grading based on sarcotubular dilatation (vacuolization) and myofibrillar loss: process all for EM

 

Gross: enlarged, flabbly heart, over 900 g, all 4 chambers dilated, ventricles > atria

- explains the systolic dysfunction, with a failing EF (<40%), S3

 

Imaging: Balloon-heart on cxr

 

Micro: nonspecific, myocyte hypertrophy, interstitial fibrosis, wavy fiber change or myofiber loss, scanty mononuclear inflam infiltrate

 - Eccentric hypertrophy (sarcomeres added in series) --> vol overload

 

 

 

Chagas disease

 

Micro: Dense inflam c myocyte necrosis and trypanosome amastigotes in myocytes (seen in acute dz)

 

 

 

 

Arrhythmogenic RV dysplasia (AVRD; Uhl anomaly)

- aka AVR Cardiomyopathy (AVRC)

 

Uncommon, familial (AD) form that affects young adults causing sudden death, fatty replacement of RV

 

Genetics: Ryanodine receptor, plakoglobin, desmoplakin, desmin

- some even more rare versions exist

--- Naxos disease: palmiplantar keratoderma and wooly hair

--- Carvajal syndrome: LV cardiomyopathy

 

Imaging: MRI shows thinned ventricle, dec EF, fat replacement

 

Micro: RV markedly thinned and replaced by fat

- DM and roid use also assoc c fatty replacement, but not arrhythmias or cardiomyopathy

 

Px: may be attributed to 3% of sudden cardiac deaths in the US

 

Long QT syndromes (LQTS)

 

Prolonged QT interval prediscposes to ventricular arrhythmia

- QT interval influenced by both acquired and genetic factors

- despite autosomal inheritance, 2:1 female predominance; bc has greater penetrance in females

- genetic factors now categorized by genotype (LQTS1 to LQTS7)

 

LQT1 (KCNQ1) - 11p15.5, encodes a portion of a voltage gated potassium channel, MC mutated gene in LQT syndrome

- exercise (esp swimming) triggered arrhythmias

 

LQT2 (KCNH2, HERG) - 7q35-36, encodes a second voltage activated potassium channel; 2nd MCC LQTS

- auditory stimulus or emotional stimulus triggered arrhythmia

 

LQT3 (SCN5A) - 3p21-25, sleep triggered arrhythmias

 

LQT7 (KCNJ2) - Encodes portions of a channel shared c skeletal muscle; mutations cause Andersen-Tawil syndrome (triad of episodic paralysis, long QT interval, and dysmorphic features)

 

 

Hypertrophic cardiomyopathy

 

- aka idiopathic hypertrophic subaortic stenosis

Septal hypertrophy (seen in 90%) which causes outflow obstruction bc gets all up in the mitral valve's grill

- up to 1 in 500 incidence

 

Sx: sudden death c exercise in young athletes

- - inc septal size can outgrow the blood supply and cause asymptommatic subendocardial micro-infarcts that also cause arrhythmias from conduction probs created by fibrous scars

 

PE findings: Murmur inc c sudden standing and valsalva (murmur inc c inc LV vol)

- Bisfriens carotid pulse: brisk rise, then decline, then 2nd rise

1) large a wave, 2) palpable S4 gallop, 3) Brisk, bifid carotid upstrokes c spike and dome contour

 

Imaging: septum >1.3x left ventricle on echo

 

Genetics: defective B myosin heavy chain gene (MYH7 gene, MC mutation is R403Q) on chr 14 (50%), AD inheritance

- assoc c Fiedrich's ataxia

 

Micro: myofiber disarray and entanglement (non-specific, also seen in nl heart bwt ventricle and septum)

- thick mitral valve, large left atrium and small left ventricle

 

Asymetric hypertrophy (sarcomeres added in parallel) of septum

 

Dx: ECG will find LVH; catheterization finds Brackenbough sign (dec PP c extra beat in systole)

 

Tx: B-blocker (dec AV node velocity, thus dec risk fatal arrhythmia) or non-dihydropyridine Ca2+ channel blockers

- must Avoid ACE-I and vasodilators (cause inc LVOT from dec vol)

- pt must avoid strenuous exercise

- may consider alcohol septal ablation or surgical myotomy

--- alcohol septal ablation: causes triphasic response: 1) acute dec, 2) partial, 50% inc, 3) dec over months to years later

-- surgical myectomy causes long-term improvement in over 90% pts

 

 

 

Restrictive cardiomyopathy

 

Causes: Sarcoidosis, Amyloidosis, Hemochromatosis, Cancer, Fibrosis (endocardioelastofibrosis [thick fibroelastic tissue in endocardium of kiddos]), Loffler's syndrome (endocardial fibrosis c eos [NOT Loffler's eosinophilic pneumonitis, which is assoc c ascaris])

 

Primary decrease in ventricular compliance, resulting in impaired cardiac output

- basically, a bunch of junk is deposited in the myocardium, which stiffens the heart and doesn't allow it to fill properly (dec diastolic filling), though it is still able to squeeze out whatever blood it gets (normal to inc EF)

 

Endocardioelastofibrosis - common cause worldwide, 10% of childhood heart dz in tropical regions

 

Imaging: EKG shows low voltage, ST-T wave changes

 

Gross: varies depending on cause, atrial dilation (bilateral), endocardium thickened and opaque (white), valvular thickening, mural thrombi may be present

 

Micro: dense endocardial fibrosis, extending into subendocardial myocardium

 

 

Takotsubo cardiomyopathy

- aka transient apical ballooning syndrome

 

Caused by intense emotional stress, such as the death of a loved one, which is why it may also be called "broken heart syndrome"

- can lead to acute heart failure, arrhythmias, and ventricular rupture

- catecholamine-induced transient myocardial stunning

 

Rheumatic valve disease

 

multisystem inflammatory disease following group A streptococcal pharyngitis, occuring 1-4 weaks post-infection

 

- type II HS 2/2 ab's against M-protein (not a direct result of bacterial toxin)

 

*** Assoc c A's *** A-group strep phAryngitis, Aschoff bodies, Anitschkow's cells, ASO titers, Ab's to M protein (type II HS)

 

- 3% of patients with group A streptococcal pharyngitis

 

All 4 valves (MV > AV > TV >> PV); high-pressure valves are most affected

 

Zona spongiosis obliterated by fibrosis and neovascularization , no myxoid substance

 

Micro: Aschoff bodies (granulomas c giant cells), Anitschkow's cells (activated histiocytes c rod-shaped catepillar nucleus)

 

Dx: Major (JONES) criteria:

      Joints

      O - pancarditis (tx: ASA)

      Nodules (subcutaneous)

      Erythema marginatum (macular rash starting on trunk and arms)

      Sydenham's chorea

 

minor criteria: fever, arthralgia, inc CRP/ESR, EKG changes

 

Tx: PCN or erythromycin for strep pharyngitis prevents progression to acute rheumatic fever

 

- acute rheumatic fever: NSAIDS, PCN / erythromycin (to eliminate strep sources, even if pharyngitis resolved)

-- follow CRP + ESR to monitor progression

-- ASA for carditis

 

 

 

Acute Rheumatic heart disease

 

Endocarditis: small excrescences along line of valve closure

 

Myocardium: Aschoff bodies (groups of big macrophages c lymphos and plasma cells)

 

Pericardium: Fibrinous pericarditis

 

McCallums patch: inflammation of endocardium in acute rheumatic heart disease, can see underlying myocardium

 

 

Chronic rheumatic heart disease

 

- Latent period of 20-30 years before symptoms appear

- Commissural fusion, cusp fibrosis, retraction, calcification

- Shortening and thickening of chordae

 

 

Mitral valve prolapse (MVP)

 

- 5% of adult population, ages 20-40, women > men

- mitral valve cusps are soft, large and balloon into left atrium during systole

- expansion of zona spongiosa of myxoid connective tissue

 

 

Dilated Cardiomyopathy

Arrhythmogenic right ventricular cardiomyopathy (ARVC), biventricular, autopsy heart in a young man who died suddenly playing basketball. Top left demonstrates increased fat in the outer walls of the right ventricle and left ventricular posterolateral walls. A higher magnification of the right ventricle is seen at the top right image; the anterior wall is nearly completely replaced with fat, and fibrofatty irregular posterior wall involvement is seen. Note that no actual thinning of the wall itself exists, although the muscular portion is in some areas completely missing. The bottom left image demonstrates a full thickness of the right ventricle stained with Masson trichrome. The residual muscle is present only in a bandlike area of scarring, and subepicardial scarring is present as well. The characteristic myocyte vacuolization, depicted in the bottom right image, is seen in nearly all areas of ARVC within the scarred areas

Hypertrophic (Obstructive) Cardiomyopathy

Restrictive Cardiomyopathy

Tako-tsubo dz - Apical ballooning (left) with tako-tsubo japanese octopus trap (right)

Aschoff body with "caterpillar" nuclei

Rheumatic Heart Dx (RHD), Infectious Endocarditis (IE), Marantic Endocarditis (Non-bacterial thrombotic endocarditis; NTBE), Liebman-Sacks Endocarditis (LSE)

Normal mitral valve (left) and Rhuematic Mitral Valve (with stenosis; right)`

Aschoff cell

MCCallum's patch - Gross finding of endocardiual thickening in post wall of LA 2/2 inflam and 'jet'-trauma

Chronic Rheumatic Heart Disease

MVP with regurgitation

 

Pericarditis

 

Classic sx: 1) precordial chest pain relieved by leaning forward, worse when leaning back; 2) pericardial friction rub, 3) Diffuse ST elevation and electrical alternans

- also have distant heart sounds and pulsus paradoxus

-- pulsus paradoxus: fluid in pericardial sac compresses the flimsy RV, hindering RV expansion, inc RV pressure displaces septum to the left, dec LV vol, dec LV SV, dec systolic BP (worsened by inspiration)

 

Acute fibrinous pericarditis: 2-5 days s/p transmural infarct caused by underlying inflam

- get the classic sx of pericarditis, and PR-depression (pathognomonic)

 

Ewart's sign: dullness over left posterior lung field 2/2 compression atelectasis from pericardial effusion

 

Different flavors: serous (assoc c SLE, RA, viruses), fibrinous (MI, rheumatic fever), hemorrhage (TB, cancer), purulent

 

Tx: NSAIDS (may do nothing...?), colchicine (if recurrent), avoid anticoagulants, drain the fluid yo

 

 

 

 

Bacterial endocarditis

 

*** FROM JANE*** Fever, Roth's spots, Osler's nodules, new Murmur, Janeway lesions, Anemia, splinter hemorrhages on Nail bed, Emboli

 

Mitral valve MC involved

 

Acute: assoc c S aureus

- large vegetations on previously normal valves; rapid onset and often fatal despite tx

 

Subacute: Strep viridans

- smaller vegetations on valves c previous damage caused by dental procedures; insidious onset

 

 

Associations to make with IE

 

S aureus: IVDA

S epidermidis: prosthetic valves

S viridans: sub acute

Enterococci: normal or damaged valves

S bovis = S gallolyticus: colon CA

Pneumococcus: alcoholics

Gram negative: IVDA, DM, immunocompromised

Fungal: IVDA, immunocompromised

 

Culture is negative in 5-10% of endocarditis, think HACEK or mycobacteria (fastidious organisms), or Rickettsia, Q-fever, Whipple's (intracellular bugs)

- HACEK = Hemophilus, Actinobacillus, Cardiobacterium, Eikenella, Kingella

 

2009 endocarditis prophylaxis:

1) congenital cyanotic lesions (not ASD or VSD)

2) prior valve repair c synthetic material (no tx for MVP)

3) prior hx of endocarditis

4) hx of heart transplant

 

 

Nonbacterial thrombotic (Marantic) endocarditis

 

Hypercoagulable states or DIC in 1/2 from antiphospholipid syndrome, deposition of fibrin + platelets on leaflets of cardiac valves, thrombus on surface, no bugs and few inflam cells

- may be the result of an indwelling catheter

 

Gross: small nodules on lines of closure

- may be confused c IE

 

Micro: fibrin and platelets, without significant inflammation

 

 

 

Libman-Sacks endocarditis

 

Assoc c Systemic Lupus Erythematosus

-- most often b9; may be assoc c mitral regurgitation or mitral stenosis

- can also occur with Marfan's syndrome (aortic dissection)

 

Gross: Warty vegetations covering both sides of valve surfaces

- fibrinoid necrosis and inflammation

 

***SLE causes LSE ***

 

Tx: anticoagulants and tx SLE

 

 

Myocarditis

 

inflammation resulting in injury to cardiac myocytes  (necrosis and/or degeneration) not typical of IHD, infections (MCC is VIRAL, Coxsackie A + B, enteroviruses, cytomegaloviruses, HIV, Chagas, toxoplasmosis, trichinosis, Lyme disease, diphtheria), cardiac allograft rejection, collagen vascular diseases, drug hypersensitivity, sarcoidosis

 

symptoms: asymptomatic, congestive failure, arrhythmias, self-limited

 

morphology (Gross): cardiac dilation, myocardium flabby, pale, focal hemorrhage

- microscopic-

 

acute viral: lymphos and other mononuclear cells, myocyte degeneration and/or necrosis, may see viral inclusions

 

parasitic: see bugs, and eos

 

bacterial: neutros

 

 

 

Giant cell myocarditis

 

An emergency! "Fielder's" myocarditis, aggressive, rapidly progressing dz of young white adults that present c congestive heart failure

- is an indication for transplant

 

Micro: MNGCs, CD8 lymphos, eos and diffuse necrosis

 

DDx: sarcoid, hypersensitivity

 

Px: 6 month survival; can recur in heart transplants

 

 

 

Hypersensitivity myocarditis

 

interstitial infiltrate of macros and eos assoc c meds

- linked to a variety of medications, esp methyldopa

- MC in pts undergoing heart transplant, possible link to pre-transplant drug regime

 

Micro: Little to no necrosis, no granulomas (may have multinucleated cells), few sx

 

 

 

 

Cardiac amyloid

 

Rare (~4/1M), a restrictive cardiomyopathy, caused by extracellular deposits of insoluble autologous proteins, ~95% misfolded B-pleated sheats and 5% of chaperone "P" (pentameric) proteins

- >30 types of amyloid fibrils identified, can be either systemic or localized

- Gold standard is endomtocardial bx with polarized Congo red stain showing apple-green birefringence (just brightfield is not diagnostic); EM can also be used to confirm the dx

 

AL (light chains, plasma cell neoplasm), AA (chronic inflam diseases, rare in heart), ATTR (aka AS, transthyretin or prealbumin, senile amyloid)

- AL and ATTR comprise >95% of all cardiac amyloid

- AL assoc c plasma cell dz, and is aggressive c median survival of 4 months

- myocardial ischemia is an important complication of this disorder

- 10 nk non-branching extracellular fibrils: homogeneous waxy material present first around blood vessels, Congo red positive, apple green birefringence

 

EM: needed in Fabry's disease and adriomycin tox

 

 

Cardiac Sarcoidosis

 

Relatively rare, occurs in up to 10% of all pts c systemic sarcoidosis

- microscopically similar to sarcoid in other organ systems

Epithelioid granulomas and MNGCs

- Schaumann bodies: inclusion bodes in GCs made of calcified protein

- Asteroid bodies: stellate inclusions that stain for ubiquitin abs

 

Don't see many eos or neutros (vs GC myocarditis)

- CD4 lymphos should be present

 

No necrosis, but extensive myocardial fibrosis

 

Fabry's disease

 

x-linked recessive form of sphingolipidosis due to deficiency of a-galactosidase A

- Angiokeratomas, Renal insufficiency and Cardiac failure, peripheral neuropathy (Burning pain)

- histo: vacuolated myocytes

 

Genes: Xp22, GLA gene

 

EM: intralysosomal dense lamallae c concentric or packed arrangment (Zebra bodies)

 

 

Loeffler endomyocardial fibrosis (LEMF)

 

Rare, restrictive cardiomyopathy, unknown cause, where endomyocardium progressively replaced by fibrosis with eventual heart failure and poor px

 

Micro: usually eosinophilia

 

Rheumatic carditis

 

uncommon cause of myocarditis

- Aschoff nodule: fibrinoid necrosis of heart muscle

-- Anitschkow cell: histiocytes with condensed chromatin that looks like a catepillar)

-- Aschoff cells (MN giant cells, look like caterpillars)

-- Collagenolysis

- Pancarditis

 

Transplant

 

Hyperacute rejection

 

- occurs immediately to hours after transplant, resulting in graft failure; rare

- see hemorrhage, edema and platelet aggregates and later PMNs in blood vessels

- findings not specific bc not enough time to react

 

Acute Rejection

 

- lymphos, macros, eos, but no neutros or plasma cells

-- PMNs assoc c ischemia, Ab-mediated rejection, or infx

-- plasma cells assoc c Quilty lesion or PTLD (too short for plasmas)

 

Seeing eosinophils should make you think of toxoplasmosis, CMV or drug rxn

 

Acute antibody mediated rejection

Micro: capillary injury, endothelial swelling, intravascular macros, edema, hemorrhage, neutros near capillaries, thrombi and myocyte necrosis mediated by IgG, IgM, IgA, C3d, C4d, C1q

 

Acute cellular reaction, grading

Grade 1, mild - Interstitial and/or perivascular infiltrate with up to 1 focus of myocyte damage

- low probability of progression and probably does not need treatment

 

Grade 2, moderate - 2 or more foci of infiltrate with assoc myocyte damage

 

Grade 3, severe - Diffuse infiltrate with multifocal myocyte damage +/- edema/hemorrhage/vasculitis

 

Quilty lesions

 

also known as endocardial infiltrates, were first described by Billingham who gave them the surname of the patient first showing this lesion (1). Quilty lesions have been the subject of more than a dozen different studies, and there is still no consensus as to their etiology or significance. They have been associated with the use of cyclosporine and waxing and waning levels of immunosuppression (2-4). It has also been suggested that Quilty lesions represent a "benign" form of rejection (5), an analogue of vascular rejection (6, 7) or even incipient post-transplant lymphoproliferative disorder, the latter of which has been proven incorrect (8). More recent studies in experimental animals suggest that they may be sites of antigen processing and low grade immune stimulation (9). In human and experimental animals, Quilty lesion are comprised predominantly of T cells, with the CD4 subset predominating over CD8 cells by a ratio of 2-3:1.

 

: dense lymphocytes in endocardium in pts on cyclosporine
- not necessary to distinguish Quilty A and B lesions anymore

-- Acute rejection tends to spread a little bit deeper

- Quilty = B + T cells  (rejection is usually only T cells)

-- core of B cells surrounded by T cells

- Quilty lesions usually do not persist, but may recur, and have no bearing on graft outcome

 

 

Cardiac Allograft Vasculopathy (CAV)

 

MCC death, long-term, in transplant pts

 

Micro: vessels show concentric intimal thickening, few calcifications

 

Usually becomes apparent 5 years post-transplant

 

 

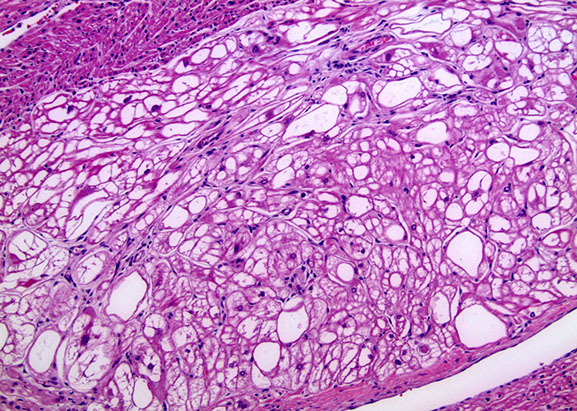
Myxomas

 

MCC primary cardiac cancer in adults

-50% primary heart tumors; 75% in left atrium

- Soft, pale, lobulated, +/- hemorrhages/calcifications grossly

- attach to foramen ovale near septum

- Tumor makes lots of metalloproteinases --> lots of emboli

- May derive from multipotential mesenchymal cell - not certain

- calretinin positivity suggests neural derivation

 

Sx: Multiple sporadic syncopal episodes from "ball-valve" obstruction in LA near fossa ovalis

 

Micro: hypocellular c myxoid background

Round/polygonal/stellate cells in loose mucoid stroma

- can form solid cords w/ vasc channels

- do not find mitoses, pleomorphism, or necrosis

- also see surface thromboses, Gamna-Gandy bodies, ossification ("petrified" myxoma), cartilage, hematopoiesis, thymus/ foregut (which may account for mucin secretion)

-- myxomas may grossly be mistaken for an embolus, except for the fact that they are attached to heart by a stalk of tissue

 

IHC: (+) CD 31/34, calretinin (>75%), CEA, EMA, keratin (in glands)

- variable S100

 

DDx: cardiac calcified amorphous tumor ("cardiac CAT"), which is a pseudoneoplastic lesion caused by organization, degeneration, and calcification of a mural thrombus

 

Genetics: Sporadic (LA in middle aged women) and familial causes (LA in young men, + others [the Carney complex])

- mostly sporadic, some (~7%) assoc c Carney's complex, familial myxomatous syndrome, or TS complex

- also assoc c GNAS1 gene mutation in McCune-Albright

 

Carney complex: Cutaneous and cardiac myxomas (myxoid FAs); spotty skin pigmentation (lentiges and blue nevi), endocrine overactivity (adrenal, testicular, thyroid and pituitary)

***aka***

 

TAME: Testicular sertoli cell tumor, Adenomas (breast, pituitary, thyroid), (atrial, skin, breast) Myxoma, Ephelides

LAMB: Lentigines, Adrenocortical dz, Melanotic schwannoma, Blue nevi

- atrial myxomas assoc c Carney complex more common in RA

- Carney complex in young adult females (25 yo)

- has null mutations in PRKAR1A which encodes cAMP-dependent protein kinase

 

Tx: excision curative; recurrence rare (though more likely in familial form)

 

 

Rhabdomyomas

 

MCC primary cardiac tumor of infancy and childhood

- often multiple, and usually arise int he ventricles

 

Gross: solitary or multinodular yellow to gray nodules, up to 4 cm diameter, equal freq in both ventricles, less common in atria

 

Micro: eosinophilic, polygonal cells c large glycogen-rich cytoplasmic vacuoles c stranding "spider cells"

 

Genetics: may be isolated by >50% assoc c Tuberous Sclerosis

 

IHC: (+) Fli-1, CD31/34, HMB45 (variably)

- negative calertinin, S100

 

Tx: unless sx are severe, surgical excision may not be necessary, and they frequently undergo spontaneous regression

 

Px: Metastasis are 20-40x more common than primary cardiac tumors

 

 

 

 

Papillary Fibroelastoma (PFE)

 

MC (75%) cardiac valve tumor, 2nd MC primary cardiac tumor

 

Usually seen on the aortic valve [?]

 

Gross: Resemble Lambl excresences, except can be found on any valve whereas Lambl excresences found on aortic valve closures [?}

- for best viewing, try submerging underwater

 

Micro: fine, branching avascular papillae lined by endothelium

 

IHC: elastic stains highlight elastic parts of the papillae

 

Tx: surgery

 

Px: depends on tumor mobility, recurrence is rare, malignant transformation does not occur

- thrombus may form on the tumor and embolize

 

 

Cardiac Fibroma

 

2nd MC primary cardiac tumor in kiddos

B9 hamartomatous mesenchymal tumor

- occurs as a single lesion (vs rhabdomyoma) on ventricular septum

 

Assoc c Gorlin syndrome (nevoid basal cell carcinoma syndrome [NBCCS] in 1/20)

 

Gross: rubbery, white, well-circumscribed

- can be infiltrative

 

Micro: Uniform spindle cells amongst collagenous matrix

 

IHC: trichrome (stains collagen surrounding cells, (+) vimenting, smooth muscle actin

(-) desmin, MyoD1, S100, HMB45

 

Tx: Resection; can do transplant if unable to be resected

 

Px: no malignant transformation; good outcomes even c incomplete resection

 

Cardiac Angiosarcoma

 

asdf

 

 

Malignant mesothelioma

 

MC primary pericardial malignant tumor

- may be related to asbestos, not clear

 

IHC: (+) D240, WT-1, cytokeratins

- lymphatic tumors can also be D240 (+), but not cytokeratin (+)

 

 

Intimal sarcoma

 

MC primary cardiac sarcoma

 

IHC: (+) MDM2 (nuclear)

 

Gene: amplification of 12q13, the MDM2 gene locus

 

 

Pericarditis

Bacterial Endocarditis

Infective Endocarditis (IE)

Marantic endocarditis

Liebman-Sacks endocarditis

Gian cell myocarditis

 Hypersensitivity myocarditis. In this explanted heart in a transplant recipient, there are scattered interstitial infiltrates, without myocyte damage. A. There is interstitial inflammation with eosinophils and mononuclear cells

Myocardium c pale pink material bwt myocardial fibers, characteristic for amyloid. Amyloid causes "infiltrative" or "restrictive" form of cardiomyopathy. Pts get arrhythmia during surgery

Fabry dz, EM

mixed mature of the inflammation and the prominence of eosinophils. Eosinophils are a common component of the inflammation associated with acute rejection early after transplantation in liver, lung, kidney and heart allografts

ISHLT Transplant Rejection Schema (2004)

This is a typical example of an endocardial infiltrate or Quilty lesion. Note the endocardial location of the inflammation, and smooth border with the underlying myocardium

Myxoma

Myxoma

Rhabdomyoma

Papillay Fibroelastoma

Cardiac fibroma in pt c Gorlin syndrome

Intimal sarcoma

References

 

1. AKM Monwarul Islam. Chiari network: A case report and brief overview. J Saudi Heart Assoc 2013 Jul; 25(3): 225-229

2. Maron, Barry J. Contemporary Definitions and classification of the cardiomyopathies: an American Heart Assciation Scientific Statement from the Council on Clinical Cardiology, Heart Failure and Transplantation Committee. Circulation. Apr 11 2006; 113(14):1807-16