Head and Neck Cytology

General

Branchial Cleft (Lymphoepithelial) Cyst

Epidermal Inclusion Cyst

Oropharyngeal SCC

Sialadenosis

Adenoid Cystic Carcinoma (ACC)

Metastatic breast carcinoma to the neck

General

 

Indications for head and neck FNA:

- suspicious lumps and bumps

- first step in initial diagnosis of oropharyngeal and nasal cavity tumors

- mets to H&N LNs

- recurrent carcinoma after rad tx

 

Most childhood lesions are benign (90-95%)

In adults, 80% of non-thyroid neck masses are neoplastic / malignant

- 80% of primary malignancies found above clavicle

 

3 main types of cells in epidermis:

Squamous cells: These are flat cells in the outer part of the epidermis that are constantly shed as new ones form.

 

Basal cells: These cells are in the lower part of the epidermis, called the basal cell layer.

 

Melanocytes: These cells make the brown pigment called melanin, which gives the skin its tan or brown color. Melanin acts as the body’s natural sunscreen, protecting the deeper layers of the skin from some of the harmful effects of the sun.

 

 

Branchial Cleft Cyst

- aka Lymphoepithelial cyst

 

Classic lateral cyst

No sex predilection

May occur at any age, though more common in young adults

Usually occur along anterior border of sternocleidomastoid muscle

May present clinically as a firm, rapidly growing mass

FNA obtains turbid brown or yellow fluid

Cyst lined by squamous or glandular epithelium

 

Cytologic features:

Anucleated and nucleated squamous cells

+/- reactive / degenerative atypia

+/- Glandular cells

Lymphocytes

Macrophages and debris

If inflamed, acute inflammation and granulation tissue may be seen

DDx: W.D. SCC and other neck cysts (ie. Thyroglossal duct cyst)

 

 

Thyroglossal Duct Cyst

 

Classic midline cyst(often near hyoid bone)

No sex predilection

Wide age range, but usually presents before age 20

Arise from embryologic remnants of thyroglossal duct

Cyst lined by thyroid tissue

Grossly aspirated fluid appears, may be clear, mucinous or “grungy”

 

Cytology:

Sparse cellularity

Macrophages and debris

+/- Respiratory columnar cells

Squamous cells may be seen

Thyroid tissue rarely sampled

 

DDX: Thyroid cyst

Any thyroid disease can occur in cyst!

 

 

Epidermal inclusion cyst

 

Most common cutaneous cyst

Occur in subcutaneous tissue, usually following trauma

May present anywhere on the body, but commonly seen on the face, neck or trunk

Mound shaped cyst with central punctum

Cyst filled with thick, cheesy keratinous debris, which has a characteristic foul odor

DDX: Dermoid cyst, Trichilemmal cyst (Pilar cyst)

 

Cytology:

Predominantly anucleated squames, though nucleated squames may also be present

Keratinous debris, occasional neutrophils and cholesterol crystals may be seen

If cyst ruptures, granulomas (aggregates of epithelioid histiocytes) and inflammatory atypia may occur

 

Cytologically similar to congenital Trichilemmal cysts and Dermoid cysts…Epidermoid cyst is also a general term

Trichilemmal (pilar cysts) derived from hair follicles occur in areas with hair (Scalp)

Dermoid cyst occur along embryonic line of closure

 

-Few nucleated squames may be present

 

-Smell bad (ICK!)

Abscess formation(suppurative inflammation)

 

May be caused by an inflammatory or infectious process

Tender, pink to deep red in color and warm to touch

Center of abscess is full of pus containing dead tissue, dead neutrophils and debris

Most are sent for microbiologic studies

 

Can have lots of actinomycotic colonies

Tszank Smear

 

Introduced by the Frenchman Arnault Tzanck, and has been used for many years in the diagnosis of bullous and vesicular dermatoses .

 

Samples are taken from a fresh vesicle

The vesicle is  unroofed or the crust removed

The base is scraped with a scalpel or the edge of a spatula.

The material is transferred to a glass slide by touching the spatula to the glass slide gently.

 

 

Granulomatous disease

- Localized Nodular Inflammation

 

May be seen in numerous body sites including lymph nodes

 

Commonly occur in response to immunologic, idiopathic, neoplastic, infectious, and fungal processes

Lupus, Sarcoid, TB, Coccidiomycosis

 

May also be seen in certain malignancies

Squamous cell carcinoma, lymphomas (ie. HD and T-cell types) and certain Germ cell tumors

 

Cytology:

Aggregates of epithelioid histiocytes

+/- Multinucleated giant cells

Acute (suppurative) or chronic inflammation

Granulation tissue, macrophages, cell debris

+/- necrosis (caseating)

Sarcoid (non-caseating)

 

 

Pt c TB c mass on rt neck

Lipoma

 

Most common mesenchymal neoplasm

Slow growing and usually painless (can be painful)

Adults, typically 40s or 50s

F>M

Usually present as single, soft superficial masses (can be multiple)

Indistinguishable from normal body fat

 

Cytologically:

Lipocyte:

Large round cell

Optically clear, lipid droplet fills cytoplasm leaving thin rim of visible cytoplasm

Small round nucleus is pushed and flattened to the side of cell

Mature lipocytes occurring in tissue fragments with few single cells

Delicate inconspicuous capillaries

“Chicken wire” appearance

 

Grossly: oily material that beads up on air-dried slides and may dissolve during processing

 

 

Pilomatrixoma

- aka Calcifying Epithelioma of Malherbe

 

Relatively uncommon primary tumor of the hair follicle

Slow growing dermal or subcutaneous nodule

50% occur before age 20, but may be seen at any age

50% occur in Head and Neck region

A bluish skin discoloration is characteristic, but not always seen

Common source of diagnostic error

 

Triad of:

Ghost cells

Aggregates of degenerate, anucleate keratinized squamous cells

Basaloid cells

Tight clusters, sheets or singly

 Small round cells, variably sized

Hyperchromatic to granular chromatin

May have small nucleoli

Increased N/C ratios

Foreign body giant cells (MNG)

Inflammatory cells, calcium granules, debris

occasional epithelioid histiocytes

DDX: SCC, Basal cell ca., Small cell ca.

 

 

Paraganglioma

 

Most common site of extra-adrenal paraganglioma (within adrenal medulla “Pheochromcytoma”)

Present at angle of mandible / bifurcation of common carotid artery, as slow growing painless mass

Also associated with hepatic cirrhosis, Carney triad, MEN 2, VHL, and NF1

Rarely produces catecholamines

Mean age 40s , F>M

90% benign, 90 - 95% solitary

May invade locally or spread to lymph nodes or lung

 

Well defined cell nests of ovoid to spindled shaped chief cells with finely granular chromatin and abundant eosinophilic cytoplasm were surrounded by sustentacular cells, and embedded in a well vascularized stroma (Figure 6).

 

Cytology

Carcinoid-like or spindle cells

May be uniform to pleomorphic and bizarre

Nuclei are typically round to oval or spindle shaped

Salt and pepper to dense hyperchromatic chromatin

Intranuclear cytoplasmic invaginations may be seen

Ill-defined granular cytoplasm

Diff-Quik may show fine red neurosecretory granules

Cells arranged singly, in loose clusters with rosette formation and rounded aggregates of tumor cells (Zelballen)

Background typically bloody with varied cellularity

DDX: Medullary thyroid ca., Papillary thyroid ca, Sarcoma, Melanoma

 

 

Nerve Sheath Tumors

- Benign Schwannoma (neurilemmoma) and Neurofibroma

 

Schwannomas are more commonly aspirated than Neurofibromas

Difficult to distinguish cytologically

Diagnostic term commonly used “Nerve sheath tumor”

Slow growing, painless tumors

F=M

Benign schwannoma - deletion of chromosome 22 and NF2 inactivation

Neurofibromas – NF1, von Recklinghausen disease

 

Schwannoma

 

FNA may cause sharp radiating pain (“electric jolt”)

Composed of Schwann cells

Antoni A (ordered, cellular)

Antoni B (loose, myxoid)

Cytology:

Spindle cells with round to wavy nuclei

Bent, fishhook or comma shaped

Fine chromatin with inconspicuous nucleoli

+/- INCI (“kern-loche”: “Nuclear holes”)

Pale, fragile cytoplasm

Naked nuclei in the background

Fibrillar ground substance

Occur in loose aggregattes and nuclear palisades

Verocay bodies

 

 

Oropharyngeal SCC

 

Most common malignancy in Head and Neck region

Well differentiated to poorly differentiated, including basaloid types

Most are are moderately differentiated

25% HPV16 positive

Basaloid type often HPV16 positive

Favorable prognosis

FNA is commonly used to diagnose or exclude recurrent/ metastatic SCC in Head and Neck region

 

Risk factors for primary squamous cell carcinoma of the Head and Neck:

75%-Alcohol and tobacco abuse

2x more common in males

mid 50s to early 60s

Oral sex, open mouthed kissing

HPV16 positive

M>F

Avg. 58 yrs

 

AssocRisk factors for primary squamous cell carcinoma of the Head and Neck:

75%-Alcohol and tobacco abuse

2x more common in males

mid 50s to early 60s

Oral sex, open mouthed kissing

HPV16 positive

M>F

Avg. 58 yrs

 

 c high risk HPV

 

Low risk strains: 6 and 11

High risk strains: 16, 18 33, 35, and 37

16 associated with SCC

18 associated with Adenoca

 

Risk factors for SCC of skin:

Ultraviolet rays from the sun or indoor tanning

May occur de novo

 

Pleomorphism

Anisonucleosis

Hyperchromatic to coarsened chromatin

Dense“waxy”cytolplasm with well-defined cell borders

Atypical parakaratosis

Cytoplasmic keratinization

Pearl formation

Necrosis

 

Keratininzing SCC commonly undergoes cystic degeneration including cystic metastasis

Elicits a foreign body granulomatous reaction and marked acute inflammation

 

Nasopharyngeal carcinoma aka. lymphoepithelioma

 

P.D. SCC with a lymphoid infiltrate

Associated with Ebstein-Barr virus

M>F

Peak incidence in teens and 50s

More common in certain parts of Asia, Southern China, Northern Africa, and Inuit populations in Alaska and Canada

 

Salt-cured fish possible risk factor

salt-preserved fish containing carcinogenic nitrosamines

Keratin, EMA, EBV, EBER; often p53, variable CEA, variable S100

 

Cytology: Large round, oval or spindle shaped cells Vescicular chromatin with prominent nucleoli Pale, fragile cytoplasm Numerous bare nuclei Syncytial –like arrangements Background of lymphocytes and occasional plasma cells

 

DDX: DLBCL, melanoma, Oropharyngeal nonkeratinizing carcinoma, Rhabdomyosarcoma

 

 

Merkel cell carcinoma

 

Uncommon neuroendocrine carcinoma of the skin

Head and Neck, appendages, buttocks

M>F

>65 years

>90% occur in Caucasians

Firm, painless, flesh colored to red-violet nodule

Risk factors

Sun exposure,chronic immunosuppression, Merkel cell polyoma virus

 

Monomorphic small round blue cells

Isolated, in small clusters and syncytial arrangements

Powdery to salt and pepper chromatin with minimal nuclear membrane irregularities

Inconspicuous nucleoli

Scant cytoplasm

 

IHC Positive: Low molecular weight keratin, CK20 (perinuclear dot like staining), EMA, neurofilament, neuron-specific enolase, CD56, Variable chromogranin, synaptophysin and CD117

IHC Negative: TTF1, CD45/LCA

 

 

Melanoma

 

Arises in melanocytes

Average age of diagnosis is 62, but it is not uncommon in individuals under 30

20% more common in Caucasians than African Americans

 

Risk factors

Exposure to UV light

Fair skin, freckling, light hair

Moles

Family history of melanoma

Xeroderma pigmentosum

 

Cellular smears

Dispersed single cells and loose clusters, prominent nuclear inclusions that can be confused with herpest

Commonly epithelioid and spindle shaped

Abundant cytoplasm, eccentric nuclei

Variable anisokaryosis and pleomorphism, binucleate and multinucleate cells

“DMIN”- Dual mirror image nuclei

Uniformly hyperchromatic, INCIs, prominent nucleoli

Melanin pigment

Tumor cells - intracytoplasmic

Macrophages

In background

Amelanotic pigment may not be seen

 

Main altered pathways include RAS-RAF-MEK-ERK, p16(INK4A)-CDK4-RB and ARF-p53 (APMIS 2007;115:1161)

20% of melanoma prone families have point mutation in CDKN2A locus at 9p21 which encodes p16(INK4a) and p14(ARF) (Br J Cancer 2008;99:364)

10% of cases may be familial due to CMM1 gene at 1p36

Microsatellite instability seen in pediatric melanoma (43%), adult melanoma (30%), nevi (9%, Am J Dermatopathol 2005;27:279)

 

 

Melanoma

Basal Cell Carcinoma

 

Most common form of skin cancer

Slow growing, rarely metastasizes

Occurs in sun exposed areas of the elderly, commonly in the head and neck area

If left untreated, it can grow into nearby areas and invade the bone or other tissues beneath the skin.

Presence as a nodule or ulcer (“rodent ulcer”)

DDX: Merkel cell, SCC

 

If not removed completely, basal cell carcinoma can recur (come back) in the same place on the skin. People who have had basal cell skin cancers are also more likely to get new ones in other places.


Small cells with scanty cyanophilic cytoplasm; indistinct cell borders

Small, hyperchromatic, oval, overlapping nuclei

Tight cell aggregates with sharp outlines

Peripheral palisading of nuclei

+/- stromal material

 



Kaposi's Sarcoma

 

This neoplasm is caused by human herpesvirus-8 and is derived from infected endothelial cells

It is an AIDS-defining illness and one of the commonest neoplasms seen in homosexual AIDS patients

Multiple blue/violet dermal nodules/plaques on the face, genitalia and lower extremities feet and legs

 May be polypoid

 

Low cell yield; irregular tissue fragments of haphazardly arranged spindle cells

 

Elongated, blunt-ended, mildly irregular hyperchromatic nuclei with inconspicuous nucleoli

 

Poorly defined cytoplasm, which in some cases in the Giemsa stain is delineated by metachromatic stroma between the cells

 

Single spindle cells with bipolar or long and wispy cytoplasm

 

Hemosiderin-laden macrophages

 

+/- WBCs

 

Bloody background

 

IHC Positive:

CD31, CD34, Factor VIII related antigen, podoplanin (D2-40), thrombomodulin, latent nuclear antigen-1 of HHV-8

Molecular:

Diploid and clonal

HHV8 present in almost 100% of lesions (classic, HIV, or other types)

 

 

 

Embryonal Rhabdomyosarcoma

 

Most common primary Head and Neck tumor in children

Average age 6.5 years

Favorable prognosis as compared to Alveolar and Pleomorphic (adults) subtypes

 

Cytology

Triad of “small blue cells”, rhabdomyoblasts (spindle and strap cells), and myxoid matrix

Small blue cells are round with fine hyperchromatic chromatin, rare INCIs, and scant cytolplasm

Rhabdomyoblasts are spindle to strap shaped cells with similar nuclear features as SBCs with more abundant cytoplasm. Cross-striations are rarley seen

Myxoid stromal fragments appear metachromatic in Diff-Quik type stains

 

IHC stains

Vimentin+,Desmin+, Myogenin/MyoD1+

Molecular/Cytogenetics

No diagnostic translocation found to date

DDX:  Other small blue cell tumors (ie. neuroblastoma,  retinoblastoma)

 

 

Embryonal Rhabdomyosarcoma

Sialadenosis

 

-Refers to nonneoplastic noninflammatory swelling in association with acinar hypertrophy and ductal atrophy. Usually bilateral parotid gland involvement

 

-Aspirates appear normal except acinar cells are significantly larger than normal and inflammatory cells tend to be absent.

 

 

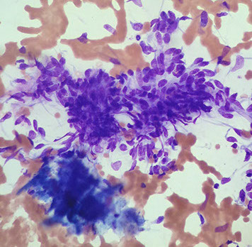
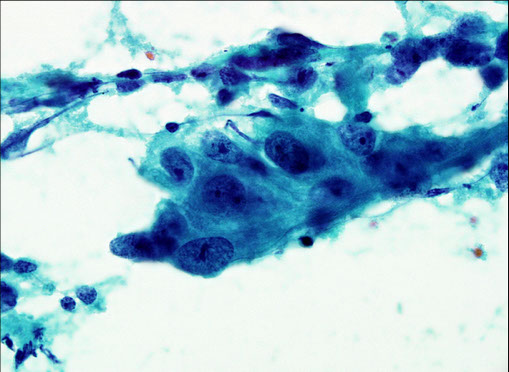
Adenoid Cystic Carcinoma (ACC)

 

Variably sized, often large , 3-D, acellular hyaline matrix globules and linear branching structures

Matrix is acellular with sharp borders (“cookie-cutter” like)

Basaloid cells

 

(Arrows show transparent hyaline globules on figure to left)

Metastatic breast carcinoma to the neck

 

FNA of neck node in older female with history of breast cancer

or currently has a breast mass, and no other lesions

Smear shows adenocarcinoma – Likely breast origin

 

 

MFH

RCC Mets

RCC mets

met prostate