Breast Cytology

 

Breast Anatomy / Histology

 

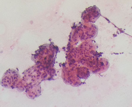
Ductal cells - Cohesive sheets and honeycomb formations with variable crowding

Cells are relatively uniform

- no nucleoli

 

Myoepithelial cells - Hallmark of benign breast aspirate

Contractile function

Free lying or attached to ductal cells

- Naked bipolar nuclei (American football shaped)

Oval to elongated

About the size of an RBC

Dark bland chromatin

Smooth nuclear contours

 

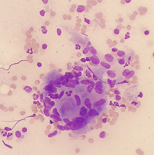
Foam cells - Origin is controversial

Duct cells vs. Histiocytes

Occur singly or in loose clusters

- Multinucleated giant cells can occur

Usually associated with benign lesions and cysts , though can occur in cancer

Nuclei are round to oval

Chromatin is bland to reactive appearing

Cytoplasm is abundant and foamy with relatively distinct cell borders

Nuclei are round to oval

Chromatin is bland to reactive appearing

Cytoplasm is abundant and foamy with relatively distinct cell borders

 

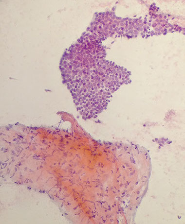
Apocrine cells - Metaplasia of lobular epithelium Common in benign breast aspirates (FCC, FA, Cysts)

- Breast duct showing the transition between regular ductal epithelial lining and lining with apocrine change.

Occur in sheets, papillae and singly

- Relatively uniform round nuclei, though may vary in size and shape

Chromatin is finely granular with prominent nucleoli

Cytoplasm is abundant and granular (due to abundant mitochondria) with distinct cell borders

Cytoplasm stains blue to bright orange in Pap stain and blue gray to purplish in Romanovsky stain

Can be highly atypical!

 

Miscellaneous

Fibroadipose tissue - (surrounds lobes of breast) composed of both:

 Fibroblasts- Spindle cells with elongated nuclei , fine chromatin, inconspicuous nucleoli, and delicate bi-polar cytoplasm

 

Adipose tissue - Large cells with cleared out cytoplasm and nucleus pushed to the side, “chickenwire” appearance.

 

Squamous cells- May be contaminant form overlying skin or orifices of the nipple.

- may be seen in SMOLD (Squamous Metaplasia of Lactiferous Ducts)

 

 

 

 

 

 

 

 

 

 

 

 

 

 

 

 

 

 

 

 

 

 

 

 

 

 

 

 

 

 

 

 

 

 

 

Ductal cells -

(no nucleoli)

Ductal cells

Myoepithelial cells

Foam cells

Apocrine cells

Fibroadipose tissue

Acute Mastitis

Associated with lactation. Cracked nipple can be a portal of entry for bacteria.

- may be 2/2 local dz process or systemic dz

Acute inflammation

Macrophages

Granulation tissue (blood vessel surrounded by macrophages)

May include MNGCs

Reactive atypia of epithelial cells

- Uncommon for breast carcinoma to have acute inflammation

 

Subareolar Abscess

Not associated with lactation and can effect men.

- May be associated with cigarette smoking.

- Begins with keratin plugging of the lactiferous duct, causing inflammation and squamous metaplasia, eventually leading to rupture of the duct. Escape of squamous material into the stroma elicits an exuberent foreign body reaction, with abscess and fistulous tract formation.

Predominantly anucleated squames but can include nucleated squames

 Multinucleated giant cells “munching” on squames

Marked acute inflammation

May also see metaplastic cells, and parakaratotic cells

 variable lymphocytes, macrophages, granulation tissue and epithelioid histiocytes

Reactive atypia of both ductal and squamous epithelium can occur

Can mimic breast cancer clinically (mass, peau d’ orange and nipple inversion)

 

Granulomatous mastitis

 

Aggregates of epithelioid histiocytes (granulomas)

Multinucleated giant cells

Causative agent may not always be known, but can include tuberculosis, and infections such  as bacteria, fungus or parasites. Other agents include sutures, silicone injections or implants, duct ectasia or rheumatoid nodule. Acute or chronic inflammation.

Pics show tightly packed epithelioid cells and Giant cells of Langhan’s type

 

 

Fat Necrosis

Usually associated with a history of trauma, though common following surgery or radiation for breast cancer.

Large foamy macrophages (lipophages)

Multinucleated giant cells

Dead lipocytes (no nuclei)

Mesenchymal repair (reactive myofibroblasts)

Inflammation

 

Fibrocystic Changes

 

“Lumpy bumpy breast”

Fibrocystic changes effects most women and is a triad of cysts (fluid), fibrosis (rubbery with few cells) and epithelial proliferation (increased cells). Can mimic breast cancer clinically, radiologically and sometimes pathologically. Some forms can be premalignant.

Bilaterality, multiple nodules (“lumpy bumpy breast”), and premestrual pain favor a benign diagnosis.

Heterogenous population of:

 Cohesive ductal cells with naked bipolar nuclei

 Apocrine metaplasia

 Foam cells

Amorphous proteinaceous debris

 

Simple cysts

 

 usually clear yellow fluid, may also be green, brown, bloody, turbid, milky or opaque

 Contains few foam cells

 +/- hyaline globules and cystic debris

 

Complex cysts

 

- can be turbid fluid.

Containing more cells in sheets, clusters or papillae, often with apocrine features.

Background of foam cells, hyaline globules and cystic debris

 

Proliferative breast lesions

 

Proliferative breast lesion without atypia (usual ductal hyperplasia):

- Includes moderate to florid hyperplasia, sclerosing adenosis and papilloma, fibroadenoma, normal cyclic change and neoplasia

 

Proliferative breast lesion with atypia (atypical ductal hyperplasia)

- 4-5x increased risk to developing cancer. Similar to dysplasia of the cervix

Has some, but not all morphologic features of cancer

 

 

Pregnancy changes

 

Lactational hyperplasia is a physiologic process that results in diffuse, symmetric enlargement of the breasts.

 

Occasionally, a rapidly enlarging breast mass (focal hyperplasia) is detected clinically (lactational nodule/ lactating adenoma).

 

Lactating adenoma

(Lactational nodule) Presents as a rounded somewhat mobile mass (similar to fibroadenoma).

The nuclei are round and enlarged with smooth nuclear membranes

The chromatin is usually fine and pale, but can sometimes be granular and hyperchromatic

The nucleoli are single and prominent

The cytoplasm is foamy to wispy due to milk fat vacuolization

 

Galactocele

 

aka milk retention cyst Caused by occlusion of lactiferous ducts. FNA biopsy obtains milky fluid.

Cytology shows few cells, many of which are foam cells

 

The backround is foamy and contains lipid and protein precipitate

 

Occasional small sheets or clusters of ductal cells with lactational changes (active nuclei, prominent nucleoli and vacuolated cytoplasm)

 

Galactorrhea-  Spontaneous milky nipple discharge not related to breast feeding. Can occur in both men, women and infants. Caused by certain medications, hormone levels or excess breast stimulation.

Increased levels of prolactin.

 

Fibroadenoma

Common benign fibroepithelial tumor. Usually occurs in young women (late teens to early 30s), though can persist after menopause. Composed of epithelial cells, naked oval nuclei and metachromatic stromal fragments.

 

Presents as a rounded, freely mobile mass (like a marble)

 

Epithelial cells-

Ductal cells are arranged in cohesive sheets and papillary fronds (“antlers or “staghorn”) without fibrovascular cores. Mild to moderate crowding can occur.

 

Nuclei are round to oval with moderate nuclear enlargement (usually <2 RBC diameters). The chromatin is fine and evenly distributed with inconspicuous to small nucleoli and the nuclear contours are usually smooth. Cytoplasm is scant and delicate with indistinct cell borders. Apocrine metaplasia can also occur.

 

Naked  oval nuclei-

Present in over 90% of fibroadenomas

Usually abundant and free lying in backround smear

Composed of myoepithelial cells (smaller, naked, bipolar nuclei with dark homgenous chromatin) and naked stromal cells (larger, with more open chromatin and conspicuous nucleoli)

 

Stromal fragments-

Sharply demarcated bits of fibromyxoid material that contain spindle cells, but not adipocytes or leukocytes

In the Romanovsky stain, the stroma is metachromatic, staining magenta. In the Pap stain, the stroma is more transparent staining blue-green to light pink or occasionally orange

 

High cell yield

Epithelial cells (sheets and antlers)

Stromal component

Abundant naked nuclei

 

Papilloma

Average age of presentation is 40, though this can vary. Nipple discharge can be serous or bloody.

 

FNA will show mild to moderately cellular 3-dimensional, papillary clusters with fibrovascular cores and may show myoepithelial cells.

Groups are more cohesive and orderly than papillary carcinoma and show few single cells

 

The nuclei are usually round to oval with smooth nuclear contours. They may exhibit mild pleomorphism, but will have relatively bland chromatin.

Cyst content, hemosiderin and naked bi-polar nuclei can be seen in the background

 

Papillary Carcinoma

Usually presents on average between 50-60 years of age. There is usually a bloody nipple discharge.

 

The groups are less cohesive and disordered with more single cells than in a benign papilloma.

The cells have tall columnar cell morphology with elongated irregular nuclear membranes. The nuclei can be pleomorphic and hyperchromatic.

 

The FNA biopsy will show marked cellularity with 3-dimensional papillary clusters containing fibrovascular cores.

Cytology cannot distinguish between in situ and infiltrating papillary carcinoma.

 

The backround may be cystic, necrotic and contain hemosiderin.

There is no apocrine metaplasia, though squamous metaplasia can be seen.

 

Breast Carcinoma

 

Carcinoma in situ- non-infiltrating breast carcinoma that remains confined within the duct system

Ductal (DCIS) histologic types: Comedo (central necrosis), Non-comedo, Micropapillary, Cribriform and Cystic hypersecretory

Lobular (LCIS)

 

Infiltrating Breast Carcinoma:

Ductal Carcinoma, NST (no special type)

Lobular Carcinoma

Medullary Carcinoma

Mucinous (colloid) Carcinoma

Metaplastic Carcinoma

Apocrine Carcinoma

 

Features worrisome for malignancy:

Nuclei >2x RBC

Irregular nuclear contours

Intracytoplasmic lumens

Intact single cells *

 

Ductal carcinoma

 

FNA biopsy yields disordered sheets, clusters and intact single cells

Nuclei are enlarged (2x RBC) and pleomorphic with hyperchromasia and fine to coarse chromatin

The cytoplasm is delicate and basophilic and may contain intracytplasmic lumens (sharply punched out cytoplasmic vacuole with thickened cytoplasmic rim, containing a dot of inspissated mucin)

The majority of breast cancers are ductal carcinoma.

The backround may contain cytoplasmic debri, ghost cells, necrosis or mucus

 

 

-Hypercellularity of smear

-Isolated and poorly cohesive clusters of cells

-Eccentric nucleus (“comet cells”)

-Pleomorphic nuclei, variable chromatin patterns

- lack of basal cell layer

 

Lobular Carcinoma

Usually presents between 45-50 years of age and is often bilateral.

The FNA biopsy yields a mild to moderately cellular specimen composed of monomorphic small cells, present singly, in small loose clusters or single file chains (cytoplasmic molding)

The nuclei are small, round to irregular and eccentrically located

 

They can also be very bland and relatively uniform with minimal hyperchromasia, fine to granular chromatin and small nucleoli

The cytoplasm is scant and delicate.

 

Cytoplasmic vacuolization and intracytoplasmic lumens (ICLs) are common. Mucin secretion is exclusively intracellular in lobular carcinoma

Occasional signet ring forms can occur

 

Medullary Carcinoma

Seen more often in younger women (10% younger than 35 years of age).
- Presents as a soft round mobile mass that can be mistaken clinically for fibroadenoma.


FNA shows a cellular specimen composed of large pleomorphic malignant cells arranged singly and in loose syncytial aggregates

Lymphocytes and plasma cells are numerous in the background

 

The nuclei are enlarged and pleomorphic with irregular nuclear contours, abnormal chromatin distribution and prominent to macro nucleoli

The cytoplasm is fragile, delicate and lacy with indistinct cell borders.

Occasional naked nuclei can be seen in the background (not to be confused with myoepithelial nuclei)

 

Mucinous (colloid) Carcinoma

“Islands of tumor cells floating in a sea of mucus”

The smear is relatively cellular with tumor cells arranged in cohesive sheets, balls, acini, strips of cells or singly dispersed

The nuclei show minimal atypia and are fairly uniform with fine chromatin and inconspicuous nucleoli

 

The backround mucus is pale blue to pink in Pap stain and metachromatic in Romanovsky stain.

The FNA biopsy obtains grossly recognizable mucus. The cytoplasm is delicate and may show red neurosecretory granules (best seen in Romanovsky stain)

Branching capillaries and psammoma bodies may be seen

Necrosis does not occur in pure mucinous carcinoma

 

Metaplastic Carcinomas

These are a relatively rare heterogenous group of malignancies and account for less than 1% of breast cancers. They generally have a poor prognosis.

 

Adenosquamous carcinoma (adenocarcinoma with squamous differentiation)

Most common type

Carcinosarcoma (mixed epithelial and mesenchymal elements)

Spindle cell carcinoma (epithelial cells with spindle shapes)

 

Pure Squamous Cell Carcinoma is also grouped with metaplastic carcinomas

 

Apocrine Carcinoma

Is a rare tumor that usually occurs in older women and accounts for 1-4% of all breast cancers. There is controversy whether the tumor is a pure tumor vs. focal change.

Variability in size. 3-4x difference in cell size and nuclear size

 

Acute Mastitis

Fat necrosis

Granulomatous mastitis

Granulomatous mastitis

Simple cysts

Lactational changes

Fibroadenoma

Grade 1 Ductal ca

Grade 2 ductal ca

Grade 3 ductal ca

Mucinous ca

Medullary ca

Galactocele

Fibrocystic change

Subareolar abscess

Subareolar abscess

Lobular Carcinoma

Ductal ca

Phyllodes Tumor (“leaf-like”)

Stromal neoplasms with a non-neoplastic epithelial component They can be benign, borderline, or malignant.

 

Average age of presentation is 40-50, although they can rarely occur in young (teenage) women.

Tumors are usually large, lobulated, and rapidly growing.

 

Ductal cells (non-neoplastic)- Occur in uniform sheets and occasional papillary fronds similar to fibroadenoma. Though, unlike fibroadenoma, squamous metaplasia can occur.

Stromal fragments (neoplastic)- Highly cellular stromal fragments are a key diagnostic feature. Single stromal cells can also occur.

 

Stromal atypia may show nuclear enlargement, irregular nuclear membranes, hyperchromasia, irregular chromatin and multiple nucleoli

 

Paget’s Disease

Carcinoma arising in or involving the large duct system (lactiferous duct) near the nipple. It causes a persistent eczematoid rash (crusting, scaling, sometimes itching) lesion of the nipple.

The majority of women without palpable masses have only DCIS. Most women with palpable masses have underlying invasive carcinoma, usually ductal type.

 

Tumor cells present singly or in clusters and have the usual features of malignancy, similar to a high grade ductal carcinoma.

The tumor cells are usually associated with squamous cells, inflammation and necrosis.

 

Inflammatory Carcinoma

Is a clinical diagnosis of breast cancer presenting with breast swelling and thickening due to dermal lymphatic involvement. The prognosis is poor.

 

The breast may exhibit peau d’ orange  (orange peel)

The skin surface is red, swollen and pitted due to underlying carcinoma where there is both stromal infiltration and lymphatic obstruction with edema

 

May be confused with acute mastitis clinically

There may not always be a palpable mass to aspirate.

The cytologic findings depend on type of breast cancer, though ductal is the most common. The sample is usually scant and cells are more cohesive with few single cells. Despite being called “inflammatory carcinoma,” inflammatory cells are inconspicuous.

 

Gynecomastia

 

Presents as a firm, rubbery, disc-like subareolar mass that is resistant to the needle

 

The FNA specimen is cellular and composed of cohesive sheets of ductal cells with moderate crowding, occasional papillary clusters and few intact ductal cells

Stromal fragments and naked bipolar nuclei can be seen in the backround

 

Male Breast Cancer

Cancer of the male breast is similar to that seen in women. Subtypes of invasive cancer are present, though ductal carcinomas are the most common (both invasive and in situ). Lobular carcinoma is relatively rare and papillary carcinoma is more common.

Phyllodes tumor

Adenoid Cystic Carcinoma

 

Micro: hypocellular, made of nests of cohesive small cells c uniform round or oval nucleus c coarsely granular chromatin and small nucleolus, and scant cytoplasm

- proliferating glands form adenoid component and stromal or basement membrane elements

- cylindromatous component seen as round globules (bright red or purple c Romanowsky stain, pale green c Pap on FNA)

 

IHC: (+) Collagen IV in basement membrane material, ~9/10 (+) for p63, (+) CD117

- neg: ER, PR, HER2

 

Px: In the breast (unlike in the salivary gland) has an excellent px

- one of the least aggressive mammary carcinomas, rarely mets, but can recur

Adenoid cystic ca

Tubular Carcinoma

looks like an arrow head