Amyloidosis

Misfolded cross-β-pleated sheets

Form insoluble extracellular protein deposits

 organ damage and malfunction

Pressure atrophy of adjacent cells

 

Originally misclassified by Robert Virchow as a starch (amylum L.), was debated to be a fat or a carbohydrate for a while, until found out (~1859) that it is made of albuminoid material

 

May be normal or mutant proteins that misfold

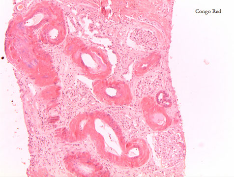
Congo red MC stain used; can be confirmed with EM; may distinguish between different types of amyloid c IHC

May be able to distinguish type of amyloid by pretreating tissue with potassium permanganate; but dx may be missed if serum amyloid not at critical level

 

Bind proteoglycans and glycosaminoglycas, including heparinsulfate and dermatan sulfate, and serum proteins (notably serum amyloid P component (SAP)

 

As accumulates, encroaches on and causes pressure atrophy of adjacent cells

- Not able to be degraded intracellularly by proteosomes or extracellularly by macrophages

 

Kidney

In advanced cases kidney appears shrunken due to ischemia caused by vascular narrowing induced by amyloid deposition

Amyloid deposition usually first appears as subtle thickening of mesangial matrix, then the BM of the glomerular capillaries gradually get wider

Over time this distorts the glomeruli and obliterates the capillary lumens, and the dead glumerulus gets inundated with amyloid ribbons

 

Liver

May be grossly normal or with Hmegaly

First see amyloid in perisinusoidal space (aka space of Disse), which gradually goes into adjacent hepatic parenchymal

Then causes distortion and pressure atrophy and can totally displace large areas of liver; hepatocytes may completely disappear

- Vascular deposits and involvement of Kupffer cells are frequent

Liver function usually ok despite extensive dz involvement

 

 

More than 20 (23-26+) different amyloid proteins that can aggregate and cause disease depending on where produced and where accumulates; thus is really a group of diseases

 

AL amyloid – made of complete Ig Light (L for “Light”) chains, the amino terminal of light chains (Bence-Jones proteins: so small they are secreted in the urine), or both; usually lambda light chains, but kappa can occur too; sometimes IHC may not work bc requires complete Ig to bind

Produced by a monoclonal population of plasma cells (as in plasma cell myeloma) , producing M (Myeloma) protein spike on SPEP

Usually systemic; MC form of amyloidosis;

-- not all pts c free light chains in serum and urine get amyloidosis; although occurs in 5-15% of those c MM, most pts c AL amyloid do not have underlying myeloma or B-cell neoplasm (hence primary), though they may have inc plasma cells in marrow which may be secreting the AL amyloid

 

AA amyloid- derived from non-Ig protein made by liver; derived from the breakdown of SAA (serum amyloid-associated) [which is normally increased as an acute phase response protein] – thus this type of amyloidosis is assoc c chronic inflam

- Classically the inflam was by TB, bronchiectasis and osteomyelitis, now assoc c rheumatic dz (MCC- 3% of those c RA), ankylosing spondylitis and inflam bowel dz’s (Crohn + UC)

Prion disease has prion proteins which misfold and aggregate in the extracellular spaces; heroin (any injectable drug) users also have inc risk

RCC and Hodgkin lymphoma are MC neoplasms assoc c AA

 

B2 microglobulin is a component of MHC I molecules – retained in circulation bc not able to be filtered by dialysis membranes

Has decreased substantially c production of new dialysis filters

MC complaint is of shoulder pain related to scapulohumeral OA and rotator cuff inflam; also get sx of carpal tunnel

 

B-amyloid constitutes the cerebral plaques found in Alzheimers, and is also deposited in vessels; derived from proteolysis of amyloid precursor protein

Localized masses of amyloid can show up in different places in body (lung, skin, tongue, bladder); commonly have infiltrates of lymphs and plasma cells around periphery

 

Heredofamilial amyloidosis are rare and limited in geographic areas

- MC and most studied is familial Mediterranean fever (excessive IL-1 produced by inflam stimuli)- pts get attacks of fever and inflam of serosal surfaces (peritoneum, pleura, synovium), protein pyrin is produced

Familial amyloid polyneuropathies have mutant forms of Transthyretin (TTR), a transport protein in the liver and choroid plexus;

4% of black population in US have mutant form of TTR, expressed in both hetero- and homozygous pts, which can cause cardiomyopathy

 

Normal TTR deposits in the hearts of the elderly in senile systemic amyloidosis

Usually in 70-80s

Deposits in the ventrices of >25% of those over 90 years old

 

Electron Microscopy

Interstitium showing characteristic randomly arrayed straight fibrils measuring roughly 7-10 nm in diameter

- Looks a little like pick up sticks

 

~20% of patients with amyloidosis have underlying plasma cell myeloma

Remainder mostly MGUS

10% of myeloma patients have or will develop amyloidosis